Find Your Style
Women
Men
Accessories
Search for clothing, brands, styles...
×
Women
Men
Accessories
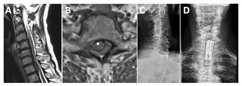
Corpectomy Strut
Search
Loading...
No suggestions found
INR Full Form: What is full form of INR?
bankersadda.com
Facts about Indian businessman who is buying Lavasa city for INR 1814 ...
timesofindia.indiatimes.com
RBI Allows Overseas Banks to Open INR Accounts
currentaffairs.adda247.com
Anand Kamalnayan Pandit — INR 8,660 Cr (Sri Lotus Developers & Realty ...
economictimes.indiatimes.com
Explore the smoothest whiskey collection: Best Scotch under INR 2000
lifestyleasia.com
Anand Kamalnayan Pandit — INR 8,660 Cr (Sri Lotus Developers & Realty ...
economictimes.indiatimes.com
Anand Kamalnayan Pandit — INR 8,660 Cr (Sri Lotus Developers & Realty ...
economictimes.indiatimes.com
Bitcoin price today, BTC to INR live price, marketcap and chart | Suncrypto
suncrypto.in
CA Fresher bags INR 49.20 Lakhs Package in 58th ICAI Campus Placement Event
taxscan.in
Philips Remote Inr Order Form - Fill Online, Printable, Fillable, Blank ...
pdffiller.com
BNB Price to Indian Rupee | Convert BNB to INR
binance.com
KWD to INR conversionDownload it from KWD to INR conversion for free 7.99
durslt.du.ac.in
WazirX to Partially Lift INR Withdrawal Suspension Starting August 26 ...
topnews.in
Understanding the Saudi Riyal Currency | INR to SAR
orientexchange.in
Tom Cruise's anti-ageing 'poop' facial costs INR 14,000 per sitting ...
timesofindia.indiatimes.com
Value 360 announces it closed Q1 2024-25 with INR 10… | PRmoment.in
prmoment.in
ValueQuest Enters PE Segment With INR 1,000 Cr Fund
businessoutreach.in
Anterior Access to the Cervicothoracic Junction via Partial Sternotomy ...
mdpi.com
Acute Metastatic Spinal Cord Compression: Urgent Surgery versus ...
mdpi.com
JaypeeDigital | Cervical Corpectomy
jaypeedigital.com
Distractable Anterior Spacer - Cervical DAS GESCO – Medilab India
medilabindia.com
Thoracolumbar Vertebral Corpectomy Prosthesis Market 2020 Research ...
teletype.in
Distractable Anterior Spacer - Dorso Lumbar DAS – Medilab India
medilabindia.com
Strut Assembly - Manufacturer & Supplier - Global Automotive
globalautomotive.in
Strut Systems for Structural Support in Industrial Applications – Easyflex
easyflex.in
Usi ed effetti collaterali del warfarin: cosa devi sapere
medicoverhospitals.in
Coagulation Analyzer - Micropoint Q3 Pro Electrometer PT-INR Trader ...
r2healthcare.in
Unistrut Sizes Unistrut Buffalo Supports, 55% OFF
elevate.in
Struts and frame structures
twinkl.co.in
PIPE HANGERS & SUPPORTS
pipehangers.in
USマートPM Auto Pair Rear 左-右 Quick Complete ストラット - コイル スプリング For 2004 ...
indiantelevision.com
India shining: Rupee inches closer to becoming international currency ...
timesnownews.com
Premium Shocks, Struts, Suspension - Order Online at Ubuy India
ubuy.co.in
Lift Up Top Coffee Table Mechanism 1 Pair Folding Lifting | Desertcart ...
desertcart.in
ARANA 15-Inch Universal Lift Supports Struts/Gas Spring Prop Force 300N ...
amazon.in
Premium Shocks, Struts, Suspension - Order Online at Ubuy India
ubuy.co.in
Premium Shocks, Struts, Suspension - Order Online at Ubuy India
ubuy.co.in
Buy 2 Pcs Gas Struts 28 Inch 200 lbs Prop Shock Lift Springs Rod Struts ...
ubuy.co.in
Premium Shocks, Struts, Suspension - Order Online at Ubuy India
ubuy.co.in
1 million dong in indian rupees - Brainly.in
brainly.in
2 Pcs Gas Struts 17 Inch 120 Lbs Prop Shock | Desertcart INDIA
desertcart.in
Buy 2 Pcs Gas Struts 28 Inch 200 lbs Prop Shock Lift Springs Rod Struts ...
ubuy.co.in
usd-inr: Why US dollar has consistently risen against rupee for 15 ...
economictimes.indiatimes.com
USD/INR Cracks Big: Falls 2% in 4 Days! | Investing.com India
in.investing.com
Next tranche of Bharat Bond ETF opens tomorrow: 10 things on NFO | Mint
livemint.com
Gold Necklace Set for Women | Buy Gold Necklace Set Online India ...
manubhai.in
Gold Necklace Set for Women | Buy Gold Necklace Set Online India ...
manubhai.in
Buy Diamond Necklace Online | Diamond Set Online Manubhai Jewellers
manubhai.in
Sri Lanka and Russia in talks to use the rupee in foreign trade
currentaffairs.adda247.com
Premium Shocks, Struts, Suspension - Order Online at Ubuy India
ubuy.co.in
10 Strappy Sandals to Strut in Style - Features
cosmopolitan.in
logo_1200_x_628_px.jpg?v=1720118200
artrise.in
About- Dr. Himanshu Tyagi in Noida, Gurgaon, Delhi, India
drhimanshutyagi.in
Indonesian Rupiah - Buy IDR Currency Online in India
makemytrip.com
USD/INR Breaking Imp. Trendline; Is Nifty 50 Topping Out? | Investing ...
in.investing.com
Diamond Necklace Designs | Buy Diamond Necklace Set Online at Best ...
manubhai.in
Best Warfarin Embryopathy Specialists in India
medicoverhospitals.in
Buy AML-CR/Hood Struts for Bestune B70 2020-2023 / Front Bonnet Hood ...
desertcart.in
Gold Necklace Set with Price | Buy Gold Necklace Set Online
manubhai.in
8 Obat Stroke yang Efektif dan Tersedia di Apotik - Alodokter
alodokter.com
Diamond Necklace Designs | Buy Diamond Necklace Set Online at Best ...
manubhai.in
MacPherson Strut, Double Wishbone And Solid Axle: Dependent And ...
carblogindia.com
How Indian Rupee Stands Against Other Major Currencies
indiatimes.com
Anticoagulation in Acute Pulmonary Embolism: Which Drug? How Long ...
universimed.com
Diamond Necklace Designs | Buy Diamond Necklace Set Online at Best ...
manubhai.in
Diamond Necklace Designs | Buy Diamond Necklace Set Online at Best ...
manubhai.in
Struts & Accessories at Lowes.com
lowes.com
Features of Struts 2 - Struts
sitesbay.com
Rupee likely to go to 81 82 to the US dollar, or even higher. Here’s ...
businesstoday.in
Struts & Accessories at Lowes.com
lowes.com
Buy Yanmis Strut,Heavy Duty Spring Hydraulic Rod Mechanical Spring ...
desertcart.in
ENDEE PEB FRAME TYPES - PURLINS, GRITS & EAVE STRUTS
endeeinfra.in
Top Picks - 8 Shorts to Strut This Summer | Grazia India
grazia.co.in
International Trade Settlement in Indian Rupee (INR)
taxguru.in
Aiwo Breath Easy – Aiwo Limited
aiwo.com
Buy Absolute Anticoagulant Journal: A Comprehensive logbook for ...
desertcart.in
USD/INR at Record High! Why RBI is Failing to Curb the Rupee’s Fall ...
in.investing.com
Nomenclature - Glossary of Terms | Zamil Steel Buildings India
zamilsteel.co.in
Buy Vepagoo Lift Support Clamp for Hood Strut, Shock Prop Strut Stopper ...
desertcart.in
Buy Tuningsworld Performance Front Strut Bar for Dodge Charger SRT-8 ...
desertcart.in
Unistrut Sizes Unistrut Buffalo Supports, 43% OFF
iiitl.ac.in
EPR Registration and Compliance
taxguru.in
Spine Surgery in India - Low Cost Spine Surgery in India. Spinal Fusion ...
paradigmhealthcare.in
How Many Meters of material is Needed for Blouse stitching? (With Size ...
tailorkadai.in
Plus Size Black Floral Borders SnugWeave™ Winter Top
amydus.com
Warfarin Impurity 6 | CAS No- NA | NA
chemicea.com
Buy Gold Set Online | Gold Set by Manubhai.
manubhai.in
10-Hydroxy Warfarin | CAS No- 83219-99-2 | Simson Pharma Limited
simsonpharma.com
TheConcertPoster - die besten Konzertplakate aller Zeiten!
theconcertposter.com
Diamond Earrings Designs | Buy Diamond Earrings Online India - Manubhai ...
manubhai.in
The Sabarmati Report movie ending explained: What occurred in Godhra?
lifestyleasia.com
Buy 2 Pcs Gas Struts 28 Inch 200 lbs Prop Shock Lift Springs Rod Struts ...
ubuy.co.in
FAQ
keydroid.in
Warfarin Impurity 1 | CAS No- 2514748-07-1 | Simson Pharma Limited
simsonpharma.com
Collections
svbventures.in
Warfarin Dose Adjustment Chart - Fill Online, Printable, Fillable ...
pdffiller.com
Aiwo Breath Easy – Aiwo Limited
aiwo.com
Buy Eshare 84176631 580-1108 23312167 Pair Front Struts Shock Absorber ...
ubuy.co.in
Buy UNISTRUT Genuine P2072ASQ-EG 1-5/8" Square Post Base Strut for All ...
desertcart.in
Back To Black: | Grazia India
grazia.co.in
Franchise
tamilpaal.in
Buy Antique Set Online | Antique Set by Manubhai.
manubhai.in
Gold Necklace Set for Women | Buy Gold Necklace Set Online India ...
manubhai.in
Warfarin EP Impurity C | CAS No- 122-57-6 | Simson Pharma Limited
simsonpharma.com
Learning Mandala and Doing Business in It Are Two Different Learnings ...
nehascreations.com
Thyrocare Founder Partners With YEA and Magnifiq Capital Trust to ...
businessoutreach.in
Ram Charan and Upasana Konidela net worth: Inside the lavish life
lifestyleasia.com
Buy Tailgate Struts,1 Pair Left & Right Black Rear Tailgate Hood Struts ...
desertcart.in
Buy Gold Earrings Online | Gold Earrings by Manubhai.
manubhai.in
Buy PAMAGOO 20 inch Gas Strut 200 lbs 890 N Per Prop, Gas Shock with L ...
ubuy.co.in
Frame Structures and Shell Structures (teacher made)
twinkl.co.in
Permanent Magnets Ltd
pmlindia.com
Good Times Stickers - Bestseller
oddgiraffe.com
Embracing Your Pear Shaped Body: Style Tips from Bollywood Actresses
amydus.com
Buy Antique Set Online | Antique Set by Manubhai.
manubhai.in
Manubhai Jewellers | Gold & Diamond Jewellers in Borivali, Mumbai
manubhai.in
Budget 2023: Tax saving under new tax regime vs old tax regime for Rs 7 ...
businesstoday.in
Local beers that capture the spirit of Goa | Lifestyle Asia India
lifestyleasia.com
Migration Guide
struts.staged.apache.org
Stable and Unstable Structures Activity
twinkl.co.in
Related Searches
Cervical Corpectomy
Anterior Corpectomy
C4 Corpectomy
Thoracic Corpectomy
Corpectomy Cage
Lumbar Corpectomy
C5 Corpectomy
Corpectomy Spine
Corpectomy vs Discectomy
Corpectomy vs Laminectomy
Lateral Corpectomy
Corpectomy Hardware
Corpectomy Surgery
Corpectomy and Fusion
Hemicorporectomy
Laminoplasty
Transpedicular Corpectomy
Corpectomy Device
Cervical Myelopathy Surgery
Corpectomy Procedure
Corpectomy Dog
Strut Graft Spine
Corpectomy MRI
Corpectomy Radiology
Multilevel Lumbar Spondylosis
Foraminotomy
Corpectomy Implant
Corpectomy Neck
Corpectomy Spacer
L1 Corpectomy
T1 Corpectomy
Corpectomy Steps
Vertebrectomy
2 Level Corpectomy
Corpectomy Trial
Thoracic Corpectomy Thoracotomy
Corpectomy Technique
Corpectomy Spinal Surgery
T5 Corpectomy
Opll Cervical Myelopathy
Corpectomy X-ray
Cervical Corpectomy Expandable Cage
Corpectomy Hip
Fibular Strut Graft
Facetectomy Procedure
Proximal Row Carpectomy
Corpectomy Prep Tools
Acdf Spine Surgery
Partial Corpectomy Cervical
Corpectomy Prostesis
Search
×
Search
Loading...
No suggestions found