Find Your Style
Women
Men
Accessories
Search for clothing, brands, styles...
×
Women
Men
Accessories
Duodenum Endoscopy
Search
Loading...
No suggestions found
INSPECTION ENDOSCOPE–BORESCOPE Products at price INR 14750 in ...
gabyinstruments.in
INR Full Form: What is full form of INR?
bankersadda.com
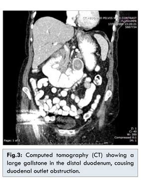
Management Options of Bouveret’s Syndrome
casereports.in
Diagnostic Principles for Chronic Gastritis Associated with ...
mdpi.com
ERCP | HG Endoscopy and Day Surgery
hgendoscopythane.com
Endoscopic Ultrasound - Layers of Esophageal Wall
openmed.co.in
Endoscopy - Endoscopy - MSD Manual Consumer Version
msdmanuals.com
Balloon Endoscopy- Procedure, Risks and Results | Best Gastro Surgeon ...
obesitydoctor.in
Spleen Pancreas and Duodenum Model | DESCO
descomedicalindia.com
Endoscopy Test Cost In India 2024 - Doctors Finder
doctorsfinder.in
Small Intestine- Anatomy, Functions and Conditions | Best Gastro ...
obesitydoctor.in
Endoscopic Ultrasound (EUS)- Purpose, Procedure and Results | Best ...
obesitydoctor.in
Liver Pancreas and Duodenum Model | DESCO
descomedicalindia.com
Advanced ERCP Treatment at an Affordable Price
medicoverhospitals.in
A Rare Case of Strongyloides stercoralis Hyperinfection in a Diabetic ...
mdpi.com
A Comprehensive Clinical Outcome Analysis of Endoscopic Vessel ...
mdpi.com
Endoscopic Mucosal Resection for Cancer Treatment
arogyajivan.com
FEES procedure in ENT | Fiberoptic endoscopy for swallowing ...
aarishclinics.in
Applications for Flexible Imaging Bundles | SCHOTT
schott.com
Buy CPY-EX Human Anatomy Pancreatic Duodenum And Gallbladder Pathology ...
desertcart.in
Outcomes and Loop Pattern Analysis of a Road-Map Technique for ERCP ...
mdpi.com
The Complex and Well-Developed Morphological and Histological ...
mdpi.com
Buy DBSCD Human Digestive System Model-Life-size anatomical model of ...
desertcart.in
Molecular Endoscopic Ultrasound for Diagnosis of Pancreatic Cancer
mdpi.com
PCOS : Symptoms, Fertility Challenges & Effective Treatments
emchospital.co.in
General anaesthesia safe for ERCP in average-risk patients, finds study
medicaldialogues.in
Radiology of the Stomach and Duodenum: Buy Radiology of the Stomach and ...
flipkart.com
Pancreatic Arteriovenous Malformation: A Case Report and Review of ...
jmsh.ac.in
Endoscopic Spine Surgery - Dr. Nikhil Malewar
spinesurgeonnagpur.in
Peptic Ulcer Disease: Symptoms, Causes, Diagnosis & Treatment
medicoverhospitals.in
Endoscopy.in
endoscopy.in
Digestive System Coding Guidelines - Digestive System Coding Guidelines ...
studocu.com
Understanding Endoscopic Endonasal Skull Base Surgery - Apollo Proton
apollohospitals.com
Medimall
malappuram.medimall.in
مرض كرون: الأعراض، الأسباب، التشخيص، والعلاج
medicoverhospitals.in
Full-Endoscopic Lumbar Foraminotomy for Foraminal Stenosis in ...
mdpi.com
Buy Human Digestive System Stomach Anatomy Intestine Cecum Rectum ...
desertcart.in
Buy FGA Educational Model Digestive System Anatomical Model Pancreatic ...
desertcart.in
Association of Polygenic Variants Involved in Immunity and Inflammation ...
mdpi.com
Difference Between Small Intestine and Large Intestine
careerpower.in
Small Intestine: Parts, Functions, and Diagram
careerpower.in
Endoscopy Camera, Rigid Endoscope , LED Cold light India | Ubuy
ubuy.co.in
Daxiongmao Borescope, Endoscope Camera with Light, IP67 Waterproof ...
amazon.in
New Flexible Endoscopy Device Thinner Than A Needle Developed That Also ...
indiatimes.com
Buy Educational Model Model Division Duodenal Hepatopancreatic ...
desertcart.in
Glue Injection in Gastric Varices in Mumbai | Globus Hospital
globushospital.in
Congenital Hypertrophic Pyloric Stenosis
a2zmedicalnote.in
Anatomical differences between Jejunum and Ileum.
openmed.co.in
Buy Quata Human Liver Pancreas Duodenum Anatomical Anatomy Model Model ...
desertcart.in
ESC Medicams Portable USB Endoscope Camera Hd Rigid Endoscopy Medical ...
amazon.in
Western Surgical
westernsurgical.in
Capsule Endoscopy Cost in India - Get Price Estimate
medicoverhospitals.in
Dr. Abhijit Bhavsar - Gastroenterology, Hepatology & Endoscopy, Book ...
maxhealthcare.in
Buy BEAGHTY Pathological Model of Pancreas, Duodenum and Gallbladder ...
desertcart.in
Buy Endoscopic Gastric Surgery Book Online at Low Prices in India ...
amazon.in
Severe Gastritis Due to Nivolumab Treatment of a Metastatic Melanoma ...
mdpi.com
Buy Educational Model Liver Spleen And Pancreas Anatomy Model - Human ...
desertcart.in
Duodenum Inversum in a Pediatric Patient: A Rare Anatomical Variant ...
medtalks.in
Fbite Anatomical Model 2 Part Stomach Model Pancreas Duodenum Spleen ...
desertcart.in
Stomach: Structure, Layers & digestive System | AESL
aakash.ac.in
Endoscopy.in
endoscopy.in
Buy Human Digestive System Model, Nasal Cavity Oral Cavity Throat ...
desertcart.in
Buy Endoscopic Ultrasonography Book Online at Low Prices in India ...
amazon.in
Buy Pancreas Duodenum Gallblasse Hydrops Model, Vessels Nerves, Liver ...
desertcart.in
Task-Based Image Quality Assessment Comparing Classical and Iterative ...
mdpi.com
3 Best Gastroenterologists in Siliguri, WB - Expert Recommendations
threebestrated.in
Duodenal Switch - 2024 Prices
healthtourismclinics.com
Study Model Large Intestine Model Human Organ Anatomy Model Anatomical ...
desertcart.in
Stomach: Structure, Layers & digestive System | AESL
aakash.ac.in
Barrett's esophagus: Symptoms, Causes, Risk and Treatment
medicoverhospitals.in
5 Myths About Minimally Invasive Spine Surgery Debunked
actionhospital.in
Buy VEVOR Articulating Borescope Camera with Light, Two-Way Articulated ...
amazon.in
Download and Run Otg Endoscope Camera View on PC for Free
ldplayer.net
Daxiongmao Borescope, Endoscope Camera with Light, IP67 Waterproof ...
amazon.in
Buy Two-Way Articulating Borescope, DXZtoz Steering Industrial ...
ubuy.co.in
Dr. Mayank Gupta - Gastroenterology, Hepatology & Endoscopy, Book ...
maxhealthcare.in
Sri Lanka and Russia in talks to use the rupee in foreign trade
currentaffairs.adda247.com
Buy IVQAPP Liver Duodenum and Pancreas Model - Human Organ Anatomy ...
desertcart.in
Endoscopic Drainage and Ablative Options for Pancreatobiliary Tumors
medtalks.in
علاج قرحة المعدة - خفف آلام معدتك اليوم
medicoverhospitals.in
Buy FACAIA Biliary and Pancreatic Duodenal Model - Duodenal Model ...
desertcart.in
Direct Oral Anticoagulants for Stroke and Systemic Embolism Prevention ...
mdpi.com
Peptic Ulcer Disease Part1 full-time - GASTRIC AND DUODENAL PEPTIC ...
studocu.com
HANTSKOP Dual Lens Borescope, 5 Inches Ips Screen 1080P Hd Inspection ...
amazon.in
3 Best Gastroenterologists in Siliguri, WB - Expert Recommendations
threebestrated.in
Dr. Puneet Gupta - General Surgery, Book Online Appointment, Video ...
maxhealthcare.in
Human Digestive System Model Human Large Intestine Pathology Model Gut ...
desertcart.in
Endoscopic Instruments buy in Jalandhar
in.all.biz
Endoscope Hanger- 1 NOS : Amazon.in: Industrial & Scientific
amazon.in
3 Best Gastroenterologists in Siliguri, WB - Expert Recommendations
threebestrated.in
3 Best Gastroenterologists in Siliguri, WB - Expert Recommendations
threebestrated.in
Duodenal Switch - 2024 Prices
healthtourismclinics.com
Dr. Vikas Singla - Gastroenterology, Hepatology & Endoscopy, Book ...
maxhealthcare.in
Two-Way Articulating Endoscope, DXZtoz Borescope Inspection Camera with ...
amazon.in
Career Institute of Medical Sciences & Hospital
careermedical.in
Buy Human Digestive System model - Human Intestine Gut Anatomy ...
desertcart.in
Buy Small Animal Endoscopy Book Online at Low Prices in India | Small ...
amazon.in
Dr. Guru Prasad Painuly - General Surgery, Book Online Appointment ...
maxhealthcare.in
Salary: Endoscopy Technician in Cincinnati, OH 2025 | Glassdoor
glassdoor.co.in
Stomach Cancer Treatment & Surgery | Dr. Nikhil Agrawal | Best in Delhi ...
drnikhilagrawal.com
Buy Powered Endoscopic Sinus Surgery Book Online at Low Prices in India ...
amazon.in
Buy Practical Handbook of Endoscopic Ultrasonography Book Online at Low ...
amazon.in
Teslong Inspection Camera 8MM, Industrial Endoscope-Borescope, 16.4 ft ...
amazon.in
Endoscopy Pendant Manufacturer, Supplier in Mumbai, Maharashtra, Latest ...
shalya.co.in
Buy DEPSTECH USB Endoscope Camera 720P IP67 Waterproof Borescope, 5.5mm ...
ubuy.co.in
ASP AEROFLEX™ Automatic Endoscope Reprocessor | ASP
asp.com
Warfarin Dose Adjustment Chart - Fill Online, Printable, Fillable ...
pdffiller.com
50FT Industrial Endoscope, Oiiwak Borescope Camera for Pipe Sewer Drain ...
amazon.in
Gaby Instruments - +91-8220496222 in Coimbatore
gabyinstruments.in
Company Overview - Shenzhen Tuyou Medical Imaging Co., Ltd.
tuyoumdical.en.alibaba.com
Buy Jarrow Formulas Mastic Gum 1000 mg - for tric - 60 Veggie Caps ...
desertcart.in
What to eat after endoscopy - What is endoscopy test? -Sundartha
sundarta.in
DEPSTECH Dual Lens Borescope Inspection Camera, Ergonomic Grip Shape ...
amazon.in
3 Best Gastroenterologists in Siliguri - Expert Recommendations
threebestrated.in
3 Best Gastroenterologists in Siliguri, WB - Expert Recommendations
threebestrated.in
Dr. Prashant M - Endoscopy Specialist In Kochi | Aster Medcity
asterhospitals.in
Duodenal Switch - 2024 Prices
healthtourismclinics.com
Duodenal Switch - 2024 Prices
healthtourismclinics.com
Buy Respiratory Endoscopy Book Online at Low Prices in India ...
amazon.in
Endoscopic Vessel Sealing Device Manufacturer, Supplier in Mumbai ...
shalya.co.in
Related Searches
Abnormal Duodenum Endoscopy
Upper Intestine Endoscopy
Normal Upper GI Endoscopy
Lower GI Endoscopy
Normal Colon Endoscopy
Endoscopy Test
Stomach Endoscopy Procedure
Celiac Disease Endoscopy
Endoscopy Anesthesia
Small Intestine Endoscopy
Peptic Ulcer Endoscopy
Duodenal Ulcer Endoscopy
Duodenal Bulb Endoscopy
Esophageal Endoscopy
Upper Endoscopy Findings
Capsule Endoscopy Celiac Disease
Duodenoscopy
Gastrointestinal Endoscopy
Retroflexion Endoscopy
Upper Endoscopy Esophageal Cancer
Endoscopy Procedure Steps
Normal Esophagus Endoscopy
Gastric Ulcer Endoscopy
Endoscopy Anatomy
Upper GI Endoscopy with Biopsy
Liver Endoscopy
Duodenum Scope
Endoscopy Orientation Duodenum
Duodenum Endoscopy Record
Gerd Endoscopy
Upper Endoscopy Tract
Duodenal Sweep Endoscopy
Leukoplakia Duodenum Endoscopy
Posterior Wall Duodenum On Endoscopy
Inflammation in Duodenum Endoscopy
Duodenum Mucosa
Ampulla Duodenum Endoscopy
Cholesterol in Duodenum Endoscopy
Posterior-Anterior Duodenum Endoscopy
Duodenum EGD
Endoscopy Bowel
Lesion in the Duodenum Endoscopy
Endoscopic View
Duodenum Inversum
Tattoo Duodenum Endoscopy
Esophagogastroduodenoscopy Procedure
Villous Atrophy Duodenum Endoscopy
Benign Duodenum Tumors Endoscopy
Endoscopy for Intestine
Lacteals Duodenum Endoscopy
Search
×
Search
Loading...
No suggestions found