Find Your Style
Women
Men
Accessories
Search for clothing, brands, styles...
×
Women
Men
Accessories
Fibrosarcoma Cells
Search
Loading...
No suggestions found
DMEGC 2600mAh INR 18650 26E 3.7V Li-Ion Battery – Indian Hobby Center
indianhobbycenter.com
21700 40t 50s Cylindrical Lithium Li-IonBattery Inr 21700 3.7V 4800Mah
batteriesshop.in
XCell SureLock Mini-Cell Electrophoresis System Products at price INR ...
niravbiosolutions.co.in
HDPE GRASS PAVERS Products at price INR 360 in Noida | RETAS ENVIRO ...
resplindia.in
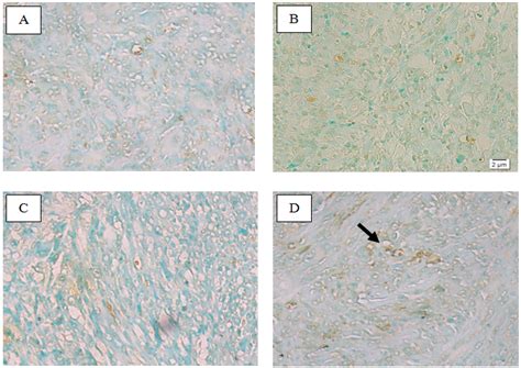
The result of apoptosis examination showed positive apoptotic cells ...
innovareacademics.in
Table 2: It shows scores mean of VEGF protein expression of mice ...
innovareacademics.in
Macrovipera lebetinus obtusa Venom and Its Fractions Affect Human ...
mdpi.com
MCA205 Mouse Fibrosarcoma Cell Line | SCC173
merckmillipore.com
Mouse Fibrosarcoma Cell Line Millipore
sigmaaldrich.com
Cells | Special Issue : Macrophages in Tissue Repair, Regeneration, and ...
mdpi.com
Protocol Guide: XTT Assay for Cell Viability and Proliferation
merckmillipore.com
JMSR
jmsronline.in
Recent Tissue Engineering Approaches to Mimicking the Extracellular ...
mdpi.com
Denovotec
denovotec.com
Adipose-Derived Stem Cells | Encyclopedia MDPI
encyclopedia.pub
Importance of the Microenvironment and Mechanosensing in Adipose Tissue ...
mdpi.com
Recent Advances to Augment NK Cell Cancer Immunotherapy Using Nanoparticles
mdpi.com
Involvement of Intestinal Enteroendocrine Cells in Neurological and ...
mdpi.com
Hormones for Oral Bone and Periodontal Tissue Engineering ...
encyclopedia.pub
Novel Iron Oxide Nanoparticles Induce Ferroptosis in a Panel of Cancer ...
mdpi.com
Fig. 2: It shows scores mean of apoptotic index of mice fibrosarcoma ...
innovareacademics.in
Novel Iron Oxide Nanoparticles Induce Ferroptosis in a Panel of Cancer ...
mdpi.com
Role of Biomaterials Used for Periodontal Tissue Regeneration—A Concise ...
mdpi.com
Epithelial Tissue: Types, Characteristics & Classification | AESL
aakash.ac.in
Non-Invasive In Vivo Imaging Using Fluorescent Microscopy
edmundoptics.in
AIIMS doctors report rare case of cervical congenital infantile ...
speciality.medicaldialogues.in
Epithelial Tissue: Types, Characteristics & Classification | AESL
aakash.ac.in
Connective Tissue Blood: Types, Vascular tissue & Blood | AESL
aakash.ac.in
The Impact of 70Hz Electromagnetic Fields on Cancer Cells and Brain ...
quantadose.com
JMSR
jmsronline.in
Spontaneous Tumors and Non-Neoplastic Proliferative Lesions in Pet ...
mdpi.com
18650 Rechargeable Cells & Li-ion Rechargeable Battery Online
makerbazar.in
Estrogens in Adipose Tissue Physiology and Obesity-Related Dysfunction
mdpi.com
Gender Differences in Soft Tissue and Bone Sarcoma: A Narrative Review
mdpi.com
Epithelial Tissue: Types, Characteristics & Classification | AESL
aakash.ac.in
Connective Tissue Blood: Types, Vascular tissue & Blood | AESL
aakash.ac.in
Digestive Glands: Function, Salivary glands, Liver & Pancreas | AESL
aakash.ac.in
Deletion of Col15a1 Modulates the Tumour Extracellular Matrix and Leads ...
mdpi.com
18650 DMEGC 3.7V 3200mAh Lithium Ion Cell
flyrobo.in
Study of expression of p15PAF and interaction with miR-429 in ...
ethesis.nitrkl.ac.in
Shear Beam Load Cell Sensor Manufacturer Gujarat, India |Rudrra sensor ...
rudrrasensor.com
Molicel INR-21700-P45B 3.6V 4500mAh 10C Li-ion Battery – Hi Tech xyz
hitechxyz.in
Management of venous thromboembolism, DVT and pulmonary embolism: ASH ...
medicaldialogues.in
Best Online Shopping Store in Delhi for Top Global Brands | Ubuy
ubuy.co.in
Warfarin Toxicity and Individual Variability—Clinical Case
mdpi.com
Dendritic Cells: Behind the Scenes of T-Cell Infiltration into the ...
mdpi.com
Cell Type-Specific Promoters of Volvox carteri for Molecular Cell ...
mdpi.com
Study of Microrna-Mediated Regulation of Metastasis in Fibrosarcoma ...
ethesis.nitrkl.ac.in
Differentiation, Dedifferentiation & Redifferentiation Definition ...
aakash.ac.in
Adipose Tissue Macrophages in Obesity and Insulin Resistance ...
encyclopedia.pub
Buy WHO classification of tumours of soft tissue and bone tumours: 3 ...
amazon.in
The Evolving Role of CD8+CD28− Immunosenescent T Cells in Cancer Immunology
mdpi.com
What Are Mycosis Fungoides and Sézary Syndrome? Symptoms, Causes ...
everydayhealth.com
Reticular connective tissue - Brainly.in
brainly.in
New blood thinner antidote to help doctors move past warfarin
medicaldialogues.in
Flow Cytometry And Cell Sorting Using Hematopoietic, 52% OFF
elevate.in
Buy 4 INR18650-25R 18650 Samsung Cells 2500mAh 3.7v Rechargeable Flat ...
ubuy.co.in
Shorter radiation regimen safe, effective in soft tissue sarcoma
medicaldialogues.in
Connective Tissue Blood: Types, Vascular tissue & Blood | AESL
aakash.ac.in
Adapter for cell-culture™ unit | BRAND
shop.brand.co.in
Plant Cell Diagram, Structure, Types and Functions
careerpower.in
Rechargeable Li-ion Battery - Icr 18650 2200mah Youxi 3.7v 8.14wh Li ...
rextork.in
Regeneration of Pancreatic β-Cells for Diabetes Therapeutics by Natural ...
mdpi.com
DMEGC INR21700 Li-ion 3.7V 4500mAh Rechargable Battery - Original ...
quartzcomponents.com
Characteristics of Epithelial Tissue - Anatomy & Physiology ...
studocu.com
14500 3.7v 600mah (1c) li-ion Battery - Battery Source
batterysource.in
p53-related Assays (DNA damage / Apoptosis) | Proteintech
ptglab.com
iPhone 16 128 GB: 5G Mobile Phone with Camera Control, A18 Chip and a ...
amazon.in
The Role of Adipokines in Inflammatory Mechanisms of Obesity
mdpi.com
Role of Patient-Derived Models of Cancer in Translational Oncology
mdpi.com
Simple Permanent Tissue, Types & sclerenchyma cells | AESL
aakash.ac.in
DMEGC INR21700 Li-ion 3.7V 4500mAh Rechargable Battery - Original ...
quartzcomponents.com
GR-related Assays (Glucocorticoid) | Proteintech
ptglab.com
Advancing CAR T-Cell Therapy for Solid Tumors: Lessons Learned from ...
mdpi.com
BRANDplates® microtitration plate, 96-well, pureGrade™ S, PS, BIO-CERT ...
shop.brand.co.in
CAR T-Cell Therapy
studyiq.com
2-4% RBC Antibody Screening Cells | Panoscreen | Immucor
transfusionandtransplant.werfen.com
Best mobile phones under 25,000 in January 2025
digit.in
how will you differentiate between epidermal cells and guard cells on ...
brainly.in
Cell Counting Using a Hemocytometer
sigmaaldrich.com
Brown Adipose Tissue: New Challenges for Prevention of Childhood ...
mdpi.com
Plant Cell Diagram, Structure, Types and Functions
careerpower.in
Cell Envelope, Glycocalyx, Cell membrane Invagination & Mesosomes | AESL
aakash.ac.in
Shivay Sensor in Ahmedabad
shivaysensor.in
Antibiotics
sigmaaldrich.com
Intestinal Permeability, Inflammation and the Role of Nutrients
mdpi.com
Nucleic Acid-Based Approaches for Tumor Therapy
mdpi.com
Toxins | Special Issue : Advances in Research for the Potential Use of ...
mdpi.com
Deletion of Col15a1 Modulates the Tumour Extracellular Matrix and Leads ...
mdpi.com
In the following diagram, identify the cells through which massive ...
brainly.in
Animal Tissues - Nervous Tissue | Shaalaa.com
shaalaa.com
Mind Map: Cell Cycle & Cell Division Notes | EduRev
edurev.in
Buy Human Model, 10 Study Model Model of Cell Membrane - Cell Membrane ...
desertcart.in
Best Online Shopping Store in Delhi for Top Global Brands | Ubuy
ubuy.co.in
Buy Truckules Truck Phone Mount for Truck, Heavy Duty Cell Phone Holder ...
ubuy.co.in
Evaluation of Differentially Expressed Genes in Leaves vs. Roots ...
mdpi.com
The Role of Glial Cells in Different Phases of Migraine: Lessons from ...
mdpi.com
Buy Freshney's Culture of Animal Cells: A Manual of Basic Technique and ...
amazon.in
Shivay Sensor in Ahmedabad
shivaysensor.in
Buy Best Quality Laptop Battery Replacements | Wistar
wistar.in
TOTAL HOME Wall-Mounted Bathroom Tissue Dispenser Tissue Box Holder for ...
amazon.in
LRS Cash Receipt Book - 50 Sheets (Pack of 3) : Amazon.in: Office Products
amazon.in
Kimberly-Clark Aquarius Professional® Multifold Paper Towel Dispenser ...
amazon.in
Mind Map: Cell: The Unit of Life Notes | EduRev
edurev.in
Stem Cell 100 Multi Pathway Anti Aging And Rejuvenation Supplement ...
desertcart.in
Cambridge IGCSE Biology 0610 ATP Practical Guide: Key Concepts & Tips ...
studocu.com
Premier Box Face Tissue Papers 100 Pulls 2Ply (Pack of 4-400 Pulls, 800 ...
amazon.in
Anti-Maf-B Antibody | ABE55
merckmillipore.com
Eukaryotic Cells Structure, Classification & Functions - Biology ...
aakash.ac.in
Buy an imported collection of US Cell Phones and Accessories online at ...
ubuy.co.in
Buy The Song of the Cell: An Exploration of Medicine and the New Human ...
amazon.in
Vitamin K: The Nutrient Which Helps In Blood Clotting | Femina.in
femina.in
Buy 5g Unlocked Rugged Smartphone, OUKITEL WP15 15600mAh Large Capacity ...
ubuy.co.in
Cell Lysis and Protein Extraction Products | Biomall.in, India
biomall.in
what are the parts of a animal cell - Brainly.in
brainly.in
If three cell are connected in parallel then equivalent emf……. and ...
allen.in
Buy Doppler Tissue Imaging Book Online at Low Prices in India | Doppler ...
amazon.in
Monocrystalline Solar Panels
rhinesolar.in
Shivay Sensor in Ahmedabad
shivaysensor.in
Shivay Sensor in Ahmedabad
shivaysensor.in
Related Searches
Fibrosarcoma Cytology
Fibrosarcoma Oral Cavity
Fibrosarcoma of Bone
Fibrosarcoma Cancer
Fibrosarcoma Histopathology
Sclerosing Epithelioid Fibrosarcoma
Adult Fibrosarcoma Pictures
Fibrosarcoma Pathology
Canine Fibrosarcoma
Herringbone Fibrosarcoma
Fibrosarcoma in Humans
Herringbone Pattern Fibrosarcoma
Fibrosarcoma Neck
Fibrosarcoma Feline
Sarcoma
Fibrosarcoma Foot
Fibrosarcoma Tumor
Human Cancer Cells Under Microscope
Soft Tissue Sarcoma
Neurofibroma CD34
Fibrosarcoma Animal
Spindle Cell Fibrosarcoma
Solitary Fibrous Tumor
Fibrosarcoma Stage 4
Large Fibrosarcoma
Fiborosarcoma
Fibrosarcoma in Calf
Fibrosarcoma Que ES
IHC for Fibrosarcoma
Fibrosarcoma Pathophysiology
HT1080 Cells
Fibrosarcoma with Label
Human Fibroscarcoma
Fibrosarcoma Thigh
Fibrosarchoma
Fibroblastic Sarcoid
Feline Fibrosarcoma Staging
Fibroblastic Reticular Cell Sarcoma
Microscope Over Cancer Cells
Fibrosarcoma Kidney
Keloid Fibrosarcoma
Fibrossarcoma
Odontogenic Fibrosarcoma Histocyte Spindle
Fibrosarcoma Microscopic in an Animal
Fibrosarcoma That Has Broken through the Skin
Herringbone Pattern Arrangement Seen in Fibrosarcoma
What Does Fibrosarcoma Look Like
Spindle-Shaped Fibroblasts
Sclerosing Epithelioid Fibrosarcoma Brain
What Is a Fibrosarcoma in the Calf
Search
×
Search
Loading...
No suggestions found