Find Your Style
Women
Men
Accessories
Search for clothing, brands, styles...
×
Women
Men
Accessories
Histopathological Score
Search
Loading...
No suggestions found
INR Full Form: What is full form of INR?
bankersadda.com
vet to inr | Score a ₹600 Slot Bonus Instantly! Android IOS V- 8.48
tax.lsgkerala.gov.in
Anand Kamalnayan Pandit — INR 8,660 Cr (Sri Lotus Developers & Realty ...
economictimes.indiatimes.com
INR vs AFP Live Score: Scorecard, Ball by Ball Commentary - Match 8 ...
myfinal11.in
India vs Iran, CAFA Nations Cup 2025, Live Updates: INR vs IRN live ...
bhaskarenglish.in
Best whiskey under INR 1500 for a pocket-friendly drinking experience
lifestyleasia.com
Has anyone heard about Techwave Solutions? They are asking 649 INR for ...
glassdoor.co.in
Jungle Camps India Limited aims for INR 100 cr revenue by 2028 ...
hospitality.economictimes.indiatimes.com
Score Some Original Modern Art From This Place For As Low As INR 75
lbb.in
CA Fresher bags INR 49.20 Lakhs Package in 58th ICAI Campus Placement Event
taxscan.in
Gensol Engineering Secures INR 186 Crore Contract for 23 MWp
psuconnect.in
Score 8 Drinks For INR 499 On A Boozy Bar Crawl Through Sector 29 ...
lbb.in
Score Super Stylish Boots From These Places For Under INR 2,000 | LBB
lbb.in
Pi Coin Price Today, Pi Coin to INR live price, marketcap and chart
suncrypto.in
ValueQuest Enters PE Segment With INR 1,000 Cr Fund
businessoutreach.in
Decision to Withdraw 2,000 INR Note Won't Have Any Impact: Economist
sputniknews.in
Shubman Gill fined INR 12 lakhs for maintaining slow over-rate in GT vs ...
hindustantimes.com
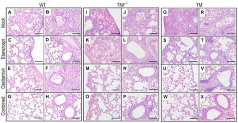
Therapeutic Targeting of Inflammation and Virus Simultaneously ...
mdpi.com
Bifidobacterium adolescentis Is Effective in Relieving Type 2 Diabetes ...
mdpi.com
Growth Characteristics of Sheep-Derived Bacteroides fragilis and ...
mdpi.com
Naringin Exhibited Therapeutic Effects against DSS-Induced Mice ...
mdpi.com
Bifidobacterium adolescentis Is Effective in Relieving Type 2 Diabetes ...
mdpi.com
A Chitosan-Based Biomaterial Combined with Mesenchymal Stem Cell ...
mdpi.com
Regulation of Colonic Inflammation and Macrophage Homeostasis of IFN-γ ...
mdpi.com
Therapeutic Versus Preventative Use of Ginkgo biloba Extract (EGb 761 ...
mdpi.com
Wie ich eine disseminierte intravasale Gerinnung diagnostiziere und be ...
universimed.com
Buy Clinical Vs Histopathological study of Inferior Turbinate ...
amazon.in
Naringin Exhibited Therapeutic Effects against DSS-Induced Mice ...
mdpi.com
Exame hemograma | BabyCenter
brasil.babycenter.com
Immunization with a Prefusion SARS-CoV-2 Spike Protein Vaccine (RBMRNA ...
mdpi.com
Protective Effects of Cirsilineol against Lipopolysaccharide-Induced ...
mdpi.com
Hepatoprotective activity of Pentatropis nivalis against Carbon ...
ajpp.in
AIMS65 Score for Upper GI Bleeding Mortality
openmed.co.in
Anti-Inflammatory Effects of Rosmarinic Acid-Loaded Nanovesicles in ...
mdpi.com
Coagulation Analyzer - Micropoint Q3 Pro Electrometer PT-INR Trader ...
r2healthcare.in
Placental Histopathology | Key Clinical Correlates & Insights for Diagnosis
medtalks.in
Hepatoprotective activity of Pentatropis nivalis against Carbon ...
ajpp.in
Growth Characteristics of Sheep-Derived Bacteroides fragilis and ...
mdpi.com
Executive MBA: Full Form, Admission 2024, IIM, Eligibility, Fees, Jobs
collegesearch.in
The Rib Injury Guidelines (RIG) Score
openmed.co.in
Buy Absolute Anticoagulant Journal: A Comprehensive logbook for ...
desertcart.in
Mega-Dose Vitamin C Ameliorates Nonalcoholic Fatty Liver Disease in a ...
mdpi.com
qSOFA SCORE - Quick Sequential Organ Failure Assessment score
openmed.co.in
Ciiizaoo 50-Piece Histology Microscope Prepared Slides Set India | Ubuy
ubuy.co.in
Buy Benign Salivary Gland Tumors: Histopathological guide for benign ...
desertcart.in
PTE Exam Fee: Payment Mode, Score Review, Rescheduling and Cancellation ...
zollege.in
BHU Courses & Fee Structure 2026
zollege.in
How to change name in Land Registry
magicbricks.com
BGMI: K9 Esports Team Wins Season 4 of Battlegrounds Mobile India ...
in.ign.com
100% Free Invoice Generator - Refrens Online Invoice Bill Maker
refrens.com
See all of the Week 2 high school football scores - al.com
al.com
The Surgical, Histopathological Characteristics, and Survival Outcome ...
preprints.org
India vs South Africa 2nd Test, Day 1 Live score updates: IND vs SA ...
bhaskarenglish.in
MGM Dental College & Hospital | Oral Pathology & Microbiology
mgmdchnavimumbai.edu.in
International Trade Settlement in Indian Rupee (INR)
taxguru.in
Successful Treatment of Acute Uric Acid Nephropathy with Rasburicase in ...
mdpi.com
Bullous Pemphigoid - Bullous Pemphigoid - MSD Manual Professional Edition
msdmanuals.com
vivo T5x 5G with 7200mAh Battery & Dimensity 7400 Turbo
vivonewsroom.in
Fed’s 75 bps Hike: Rupee Falls to Record Low, Sets Eye for ‘82 ...
in.investing.com
Billy Mitchell's Donkey Kong Historical Records Reinstated After Multi ...
in.ign.com
Buy Qatar World Tournament 2022 Wallchart - Soccer Wallchart Schedule ...
ubuy.co.in
IIM Lucknow Courses & Fees 2025
zollege.in
ABOUT HER – TBFO
tbfo.in
BGMI: K9 Esports Team Wins Season 4 of Battlegrounds Mobile India ...
in.ign.com
z score table in maths: Definition, Types and Importance | AESL
aakash.ac.in
PA WellSpan Health Pro-TimeINR Flow Sheet Form - Fill Online, Printable ...
pdffiller.com
Histopathologic Oral Cancer Prediction Using Oral Squamous Cell ...
mdpi.com
Smart Cities Investment Score Card (SCISC) - An Interesting Cocktail ...
sustainabilityoutlook.in
Jagadguru Sri Shivarathreeshwara University
jssuni.edu.in
Head To This Bar In Banjara Hills To Score Booze & Epic Appetisers At ...
lbb.in
Buy 5 Crowns Score Sheet Printable 5 Crowns Score Card A4 Size Digital ...
etsy.com
BGMI: K9 Esports Team Wins Season 4 of Battlegrounds Mobile India ...
in.ign.com
Buy Qatar World Tournament 2022 Wallchart - Soccer Wallchart Schedule ...
ubuy.co.in
PF Withdrawal Form - Know EPF Withdrawal Procedure
bankbazaar.com
Anti-Aging Effect of Momordica charantia L. on d-Galactose-Induced ...
mdpi.com
ZEITGEIST ADA 2026
zeitgeistconference.in
Lakshya Sen wins the Australian Open title in 38 minutes: Indian ...
bhaskarenglish.in
Gold Spot Indian Rupee (XAU INR) Converter - Investing.com India
in.investing.com
Express your love with tech: Explore irresistible Valentine's day deals ...
tech.hindustantimes.com
Diamond Necklace Designs | Buy Diamond Necklace Set Online at Best ...
manubhai.in
Gold Necklace Set for Women | Buy Gold Necklace Set Online India ...
manubhai.in
PTE Exam Dates: City Wise PTE Test Dates 2026
ibtenglish.in
Study in Australia – Future West | Study Abroad
futurewest.in
www star cricket live score — Free Android Card Game
irma.ac.in
Study in Australia – Future West | Study Abroad
futurewest.in
Telangana TS SSC Results 2025: Check BSE Class 10 Results on bse ...
jagranjosh.com
XAT 2023 Results: XAT Score Card and Percentile - MBA Rendezvous
mbarendezvous.com
Mega-Dose Vitamin C Ameliorates Nonalcoholic Fatty Liver Disease in a ...
mdpi.com
Know more about the zodiac's air signs — Gemini, Libra and Aquarius
lifestyleasia.com
Contact – valientecaps
valientecaps.com
Study in Australia – Future West | Study Abroad
futurewest.in
Did You Know About India's Rs 10,000 Rupee Note
indiatimes.com
Ultimate Aari Work Pricing & Styles Guide — What Affects the Cost ...
tailorkadai.in
Indian Financial System, 5e by H R Machiraju
vikaspublishing.com
BTC Primed for Major Run, Biggest DOGE Fan Elon Musk Scores New Record ...
cryptopanic.com
USD/INR Cracks Big: Falls 2% in 4 Days! | Investing.com India
in.investing.com
Full Scorecard of India vs New Zealand, ICC Men's T20 World Cup 2026 ...
espn.in
Study in Australia – Future West | Study Abroad
futurewest.in
Score Big with Our Best bet victor price promise Tips
ipindiaonline.gov.in
flowchart for the calculate the average from 25 exam score - Brainly.in
brainly.in
KKR intra-squad practice match live score: Purple Knights 147/4 (15 ovs ...
insidesport.in
Buy Gold Ring Online | Gold Ring by Manubhai.
manubhai.in
Wedding Gold & Diamond Jewellery set with Price | Buy Bridal Gold ...
manubhai.in
Study in Australia – Future West | Study Abroad
futurewest.in
Plus Size Floral Weave Cotton Denim Top Online in India | Amydus
amydus.com
UPSC IAS Mains Sociology optional Syllabus - GS Score - IAS SCORE
iasscore.in
Vedam School of Technology Admission 2025-2026: Eligibility, Admission ...
collegesearch.in
Study in Australia – Future West | Study Abroad
futurewest.in
Watch Khelna Bari TV Serial 27th October 2022 Full Episode 163 Online ...
zee5.com
Ram Charan and Upasana Konidela net worth: Inside the lavish life
lifestyleasia.com
IELTS Listening, Reading, Writing, Speaking Band Score Calculator ...
ibtenglish.in
International Trade Settlement in Indian Rupee (INR)
taxguru.in
Progressives Score Big as Indian Art Auction Beats the Pandemic Blues
thewire.in
News | Rupee Drops 2% in 7 Days: Will USD/INR Rise Further on Fed Pause ...
kalkine.co.in
Women's Premier League: This Is The Prize Money The Winner Gets
augustman.com
Thomas Cook Mastercard | ISIC.co.in
isic.co.in
Gold Necklace Set for Women | Buy Gold Necklace Set Online India ...
manubhai.in
How much did Rohit Sharma score today in India vs Pakistan Champions ...
sportingnews.com
Currency Today: Euro Finds Footing, Dollar Whipsaws, Rupee Tanks | India
btcc.com
Manubhai Jewellers | Gold & Diamond Jewellers in Borivali, Mumbai
manubhai.in
Related Searches
Histopathological
Histopathology Score
IHC H Score
Histopathological Scoring
Gvhd Score
Histopathological Score Liver
Histopathological Evaluation
Histopathological Score IBD
Histopathological Grading
H&E Staining Liver Histopathological Score
Histopathology Scoring System
H Score Immunohistochemistry
Asa Liver Score
NIH Score Gvhd
Score Histopathological Kollagen Skins in Mouse Journals
Histopathologic Scoring
Histopathological Scores Acute Pancreatitis
Kleiner Score Liver
Histopathological Scoring of Brain Injury
Histopathological Scoring of Brain Damage
Level of Histopathological Examination
Wound Score
Glomeruloesclerosis Score
Histopathological Characteristics of Wart
Microbialization Score
Histopatholyical
Histopathological Stages of Myocardial Infarction
H Score IHC
Histopathology Test
Myocardial Histopathological Scores
Histopathological Test
Histopathological Scoring System
Histopathology Results
Renal Score
Caeum of Histopathological Studies
Histopathologic
Histopathological Leison Score for Striatum LPS-induced PD in Rats
Ieyld Score
Histopathological Scoring System for Spring Coil
Histopathological Grading of Gastric Carcinoma
Glandular Differentiation Score 3
Criteria for Histopathlogical Score in Colitis Mouse
Histopathological Report
Histopathological Biomarkers
Histopathological Result
Infiltration Score
Edema Score
Histology Scores
Viral Antigen
Kidney Biopsy
Search
×
Search
Loading...
No suggestions found