Find Your Style
Women
Men
Accessories
Search for clothing, brands, styles...
×
Women
Men
Accessories
Hps40 Cod A
Search
Loading...
No suggestions found
Top 10 Countries Where INR Has the Highest Value in 2025
currentaffairs.adda247.com
Anand Kamalnayan Pandit — INR 8,660 Cr (Sri Lotus Developers & Realty ...
economictimes.indiatimes.com
Anand Kamalnayan Pandit — INR 8,660 Cr (Sri Lotus Developers & Realty ...
economictimes.indiatimes.com
Best whiskey under INR 1500 for a pocket-friendly drinking experience
lifestyleasia.com
Anand Kamalnayan Pandit — INR 8,660 Cr (Sri Lotus Developers & Realty ...
economictimes.indiatimes.com
Anand Kamalnayan Pandit — INR 8,660 Cr (Sri Lotus Developers & Realty ...
economictimes.indiatimes.com
Convert KWD TO INR | Kuwait Dinar to Indian Rupee
unimoni.in
Indian Rupee (₹) - Buy INR Currency Online at Best Rates
makemytrip.com
CA Fresher bags INR 49.20 Lakhs Package in 58th ICAI Campus Placement Event
taxscan.in
Decision to Withdraw 2,000 INR Note Won't Have Any Impact: Economist
sputniknews.in
INR RUMMY Game Download
yonogameindia.com
Pi Coin Price Today, Pi Coin to INR live price, marketcap and chart
suncrypto.in
INR Full Form: What is full form of INR?
bankersadda.com
Facts about Indian businessman who is buying Lavasa city for INR 1814 ...
timesofindia.indiatimes.com
Ugro Capital Crosses Inr 10000 crore aum milestone launches 10k ...
psuconnect.in
Anand Kamalnayan Pandit — INR 8,660 Cr (Sri Lotus Developers & Realty ...
economictimes.indiatimes.com
Value 360 announces it closed Q1 2024-25 with INR 10… | PRmoment.in
prmoment.in
ValueQuest Enters PE Segment With INR 1,000 Cr Fund
businessoutreach.in
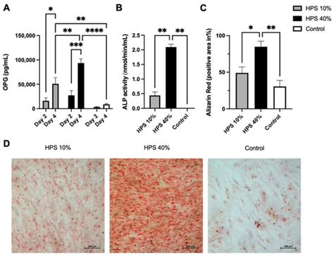
Hypoxia Preconditioned Serum (HPS) Promotes Osteoblast Proliferation ...
mdpi.com
Usi ed effetti collaterali del warfarin: cosa devi sapere
medicoverhospitals.in
Shop Now Loopback Lounge Chair | Stylish Lounge Chair Online Store ...
nestroots.com
KOKO Feeds Bengaluru's Taste For Asian Fare With Fine Dining Finesse
travelandleisureasia.com
Modern Wool Canvas Wool & Silk Carpet – Nestroots
nestroots.com
Spice Box for Kitchen | Masala Container | Allure Teak Wood Masala Box ...
nestroots.com
How Warfarin Is Synthesized and Key Insights
medicoverhospitals.in
Collections
svbventures.in
Handheld Oscilloscope 50MSa/s Samplings Rate 12MHz Bandwidth 6000 Count ...
amazon.in
Noho Is A Fine Example Of The City’s Evolving Gastronomy Scene
travelandleisureasia.com
Coagulation Analyzer - Micropoint Q3 Pro Electrometer PT-INR Trader ...
r2healthcare.in
Anticoagulation in Acute Pulmonary Embolism: Which Drug? How Long ...
universimed.com
Diwan-e-Khas Mayura Stitched Kashmiri Wall Textile – Nestroots
nestroots.com
Shop Now Loopback Lounge Chair | Stylish Lounge Chair Online Store ...
nestroots.com
Dilemmas in the Choice of Adequate Therapeutic Treatment in Patients ...
mdpi.com
Antifungals: From Pharmacokinetics to Clinical Practice
mdpi.com
Warfarin S-Isomer
kmpharma.in
Shop Now Loopback Lounge Chair | Stylish Lounge Chair Online Store ...
nestroots.com
Buy Gold Color Aluminium Leaf Side Table Online at Best Price in India ...
nestroots.com
Administration of Warfarin Inhibits the Development of Cerulein-Induced ...
mdpi.com
Shop Now Loopback Lounge Chair | Stylish Lounge Chair Online Store ...
nestroots.com
**Page Title:** "Top 10 Saree Trends Every Woman Must Know in 2024 ...
sanjarcreation.com
Buy Gold Color Aluminium Leaf Side Table Online at Best Price in India ...
nestroots.com
Buy Barrel Side Table Online at Best Prices | Nestroots
nestroots.com
USD/INR Cracks Big: Falls 2% in 4 Days! | Investing.com India
in.investing.com
Shop Now Loopback Lounge Chair | Stylish Lounge Chair Online Store ...
nestroots.com
Buy Classic Black Metallic Stool Online at Best Prices | Nestroots
nestroots.com
Buy Diamond Necklace Online | Diamond Set Online Manubhai Jewellers
manubhai.in
Buy Abstract Wool Carpet | Buy Round Living Room Carpet at Best Price ...
nestroots.com
Sri Lanka and Russia in talks to use the rupee in foreign trade
currentaffairs.adda247.com
How Indian Rupee Stands Against Other Major Currencies
indiatimes.com
MGT-6 Form Filing Process and Key Requirements
taxguru.in
Call of Duty®: Black Ops 6 - Vault Edition
store.playstation.com
Buy Gold Color Aluminium Leaf Side Table Online at Best Price in India ...
nestroots.com
Casio Cartridge Tape 9 mm -Classic Enterprises, Pune
classicenterprisespune.in
Tranquil Turquoise Beauty Hand Tufted Wool Carpet – Nestroots
nestroots.com
Gold Necklace Set with Price | Buy Gold Necklace Set Online
manubhai.in
1 million dong in indian rupees - Brainly.in
brainly.in
Shop Now Loopback Lounge Chair | Stylish Lounge Chair Online Store ...
nestroots.com
7 in 1 EC/CF/TDS/PHORP/Humidity Meter WITH RS485 SUPPORT Products at ...
gabyinstruments.in
Buy Copper Classic Acacia Wood Masala Box Online at Best Price in India ...
nestroots.com
Contemporary Color Blend Wool Carpet: Carpets & Rug at Best Price ...
nestroots.com
Buy Gold Color Aluminium Leaf Side Table Online at Best Price in India ...
nestroots.com
Contact – valientecaps
valientecaps.com
Polaroids: A Photo Album for Your Best Moments
oddgiraffe.com
Buy Diamond Necklace Online | Diamond Set Online Manubhai Jewellers
manubhai.in
Noho Is A Fine Example Of The City’s Evolving Gastronomy Scene
travelandleisureasia.com
Wedding Gold & Diamond Jewellery set with Price | Buy Bridal Gold ...
manubhai.in
Fed’s 75 bps Hike: Rupee Falls to Record Low, Sets Eye for ‘82 ...
in.investing.com
Shop Now Loopback Lounge Chair | Stylish Lounge Chair Online Store ...
nestroots.com
Light Weight & Daily Wear Gold Necklace Set Designs (2025) | Buy Gold ...
manubhai.in
Modern Wool Canvas Wool & Silk Carpet – Nestroots
nestroots.com
Buy Blue Wool Carpet | Best Floor Rugs for Living Room at Best Price ...
nestroots.com
Buy Barrel Side Table Online at Best Prices | Nestroots
nestroots.com
Всё о рейтинговом режиме в MWII — Teletype
teletype.in
Pink Partywear Woven Printed Rayon Anarkali Suit With Dupatta
peachmode.com
ABOUT HER – TBFO
tbfo.in
Buy Rustic Blue Blend Hand-Tufted Wool Carpet Best Price for Living ...
nestroots.com
Portable Mini Inkjet Printer Dc11 -Shri Ram Packaging System, Sukhliya
packagingmachinerys.in
Buy Gold Color Aluminium Leaf Side Table Online at Best Price in India ...
nestroots.com
Buy Belfair Blue Hand- Wool Carpet | Best Carpet for Living Loom ...
nestroots.com
COD Mobile India Challenge returns with its largest ever prize pool of ...
insidesport.in
Buy Gold Color Aluminium Leaf Side Table Online at Best Price in India ...
nestroots.com
Buy Copper Acacia Wood Roti Box with Tong Online in India - Nestroots
nestroots.com
Chlorine Gas Detector -Applied Techno Engineers Private Limited, Vasai
appliedtechnosystem.in
Buy Online Beige Storage Bench | Comfort & Stylish Bench at Best Price ...
nestroots.com
ILT20 auction: Complete list of players sold and their prices | Cricket ...
crickettimes.com
Buy Heirloom Signature Wedge Sneakers for Your Wedding | Anaar
shopanaar.com
Buy Heirloom Signature Wedge Sneakers for Your Wedding | Anaar
shopanaar.com
Hypoxia Preconditioned Serum (HPS) Promotes Osteoblast Proliferation ...
mdpi.com
Captivating Pink Flowers Purple Background – Nestroots
nestroots.com
Diwan-e-Khas Kashmiri Prayer Rug – Nestroots
nestroots.com
Buy Gold 3 Tier Buffet Organizer Online at Best Price in India - Nestroots
nestroots.com
Serving Fork – XAKA Cutlery
xakacutlery.com
Description
gabyinstruments.in
Buy Brown & Beige Floral Wool Carpet - Best Price for Carpet Online ...
nestroots.com
Light Weight & Daily Wear Gold Necklace Set Designs (2025) | Buy Gold ...
manubhai.in
Buy Grey Allure Masala Box Online at Best Price in India – Nestroots
nestroots.com
White Chikankari Work Rayon Salwar Suit
peachmode.com
11 Best Guns in CoD Mobile Season 2 Heavy Metal October 2023 | Cashify Blog
cashify.in
Diwan-e-Khas Kashmiri Quatrefoil Chain Wall Art – Nestroots
nestroots.com
Buy Maroon Cross Leg Metallic Stool Online in India | Nestroots
nestroots.com
Buy Absolute Anticoagulant Journal: A Comprehensive logbook for ...
desertcart.in
Buy Silver Inscribe Acacia Wood Masala Box Online at Best Price in ...
nestroots.com
How to Choose Wall Art for Your Living Room - featuring Claude Monet ...
artrise.in
Buy Daydream Lounge Chair | Elegant Lounge Chair Online Shop Now ...
nestroots.com
Adam Zampa picks his best all-time T20 XI; no place for MS Dhoni ...
crickettimes.com
Light Weight & Daily Wear Gold Necklace Set Designs (2025) | Buy Gold ...
manubhai.in
Shop Now Loopback Lounge Chair | Stylish Lounge Chair Online Store ...
nestroots.com
Buy Daydream Lounge Chair | Elegant Lounge Chair Online Shop Now ...
nestroots.com
Buy Gold Laser Wood Roti Box with Tong Online in India - Nestroots
nestroots.com
Buy Copper Acacia Wood Roti Box with Tong Online in India - Nestroots
nestroots.com
Wedding Gold & Diamond Jewellery set with Price | Buy Bridal Gold ...
manubhai.in
Stand out navy blue corset top – Kostume County
kostumecounty.com
Yin & Yang Circle Wool Carpet – Nestroots
nestroots.com
Buy Silver Inscribe Acacia Wood Masala Box Online at Best Price in ...
nestroots.com
Buy Silver Inscribe Acacia Wood Masala Box Online at Best Price in ...
nestroots.com
Diwan-e-Khas Classic Polka Kashmiri Rug – Nestroots
nestroots.com
Warfarin: View Uses, Side Effects and Medicines
truemeds.in
Buy Black Medium Storage Metal Basket Online at Best Price in India ...
nestroots.com
Buy Black Medium Storage Metal Basket Online at Best Price in India ...
nestroots.com
Buy Belfair Blue Hand- Wool Carpet | Best Carpet for Living Loom ...
nestroots.com
Related Searches
Hps40
Hirschmann BRS40
Hirschmann Rs40
Search
×
Search
Loading...
No suggestions found