Find Your Style
Women
Men
Accessories
Search for clothing, brands, styles...
×
Women
Men
Accessories
Hyperhomocysteinemia And Caa Pathway
Search
Loading...
No suggestions found
Acko 1-year Total Damage Protection Plan for Phones between INR 20,001 ...
amazon.in
NAGANO KEIKI PRESSURE GAUGES Products at price INR 0 in Gurugram ...
needsinternational.in
SJMSOM Placements 2023: Average Package: INR 28.88 LPA & Highest ...
stage.zollege.in
Trail Mix - Seeds and Lentils - INR 120 | LBB
lbb.in
RC Travels - Get INR 50 off on Bus Tickets Online | redBus, India
redbus.in
MAN - Front Hanger Products at price INR 0 in Madurai | N.Kannalagan ...
kannalagan.co.in
MS in Applied Data Science in USA, Clarkson University | Save INR 21 Lakhs
upgrad.com
MBA in General Management in Germany, ISM | Save INR 7 Lakhs
upgrad.com
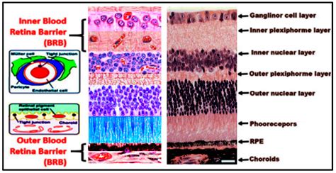
Implication of Hyperhomocysteinemia in Blood Retinal Barrier (BRB ...
mdpi.com
Implication of Hyperhomocysteinemia in Blood Retinal Barrier (BRB ...
mdpi.com
Is There a Connection between Hyperhomocysteinemia and the ...
mdpi.com
Factor XI/XIa Inhibition in Cardio- and Cerebrovascular Disease ...
encyclopedia.pub
Macrophages and Wnts in Tissue Injury and Repair
mdpi.com
Homocysteine: Its Possible Emerging Role in At-Risk Population Groups
mdpi.com
Is There a Connection between Hyperhomocysteinemia and the ...
mdpi.com
Molecular Mechanisms of Aging and Immune System Regulation in Drosophila
mdpi.com
Implication of Hyperhomocysteinemia in Blood Retinal Barrier (BRB ...
mdpi.com
Is There a Connection between Hyperhomocysteinemia and the ...
mdpi.com
Indian Institute of Science
iisc.ac.in
Metabolic Pathways in Breast Cancer Reprograming: An Insight to Non ...
mdpi.com
Anticoagulation in Acute Pulmonary Embolism: Which Drug? How Long ...
universimed.com
Role of Phosphoinositide 3-Kinase in Regulation of NOX-Derived Reactive ...
mdpi.com
Inflammation: Roles in Skeletal Muscle Atrophy
mdpi.com
The Ferroptosis | Encyclopedia MDPI
encyclopedia.pub
Amylin Receptors | Encyclopedia MDPI
encyclopedia.pub
Implication of Hyperhomocysteinemia in Blood Retinal Barrier (BRB ...
mdpi.com
An Overview of PDE4 Inhibitors in Clinical Trials | Encyclopedia MDPI
encyclopedia.pub
Soluble Guanylyl Cyclase Activators | Encyclopedia MDPI
encyclopedia.pub
The Potential Role of Hedgehog Signaling in the Luminal/Basal Phenotype ...
mdpi.com
TGF-β Superfamily Signaling in the Eye: Implications for Ocular Pathologies
mdpi.com
Nutraceuticals - Eurofins Scientific
eurofins.in
PI3K/Akt/mTOR Signaling Pathway as a Target for Colorectal Cancer Treatment
mdpi.com
Breaking: Central Government notifies Citizenship Amendment Act (CAA)
studycafe.in
NRC and CAA In A Nutshell
bankersadda.com
Hyperhomocysteinemia and Pregnancy - ECAB eBook : Arora, Mala: Amazon ...
amazon.in
The Biosimilar Landscape: An Overview of Regulatory Approvals by the ...
mdpi.com
SATHEE CUET: Chapter 07 Introducing Ayurveda the Science of Health and ...
cuet.iitk.ac.in
CAA Vs NRC: What Is The Difference, Are They Linked? Here's Everything ...
freepressjournal.in
Cartoon Pathway Canvas – Myindianthings
myindianthings.com
Buy Indian Embroidered saree Laces and Trims , Saree Border online ...
akrithi.com
Shop From Indian Tesoro: Handicraft Items, Indian Handicrafts, and ...
indiantesoro.com
EB-5 visa programme: A pathway for Indian students to study and work in ...
indiatoday.in
Kasavu Dhavani (Stitched & Unstitched) – Southloom.com - Kerala ...
southloom.com
Diwali Craft Ideas & Activities for Kids and Students
twinkl.co.in
Recent Advances in CXCL12/CXCR4 Antagonists and Nano-Based Drug ...
mdpi.com
The Role of NF-κB in Physiological Bone Development and Inflammatory ...
mdpi.com
Amazon.in: Buy Acer Wireless Keyboard & Mouse Combo with Attractive ...
amazon.in
Rupee-Ruble Trade is Way Out of Western Blockade: Russian Industry ...
sputniknews.in
Genetic Mechanisms of Cold Signaling in Wheat | Encyclopedia MDPI
encyclopedia.pub
Dual Roles of the Activin Signaling Pathway in Pancreatic Cancer
mdpi.com
0001 Korean Food Market Voucher 1,000 Rupee – Koreanfood.co.in
koreanfood.co.in
CD47-SIRPα Innate Immune Checkpoint on Neutrophils | Encyclopedia MDPI
encyclopedia.pub
Initiation of Transcription by RNA Polymerase - Understanding Gene ...
pressbooks.justwrite.in
EB-5 visa programme: A pathway for Indian students to study and work in ...
indiatoday.in
TISSUE SILK SAREE – Southloom.com - Kerala Handloom and Indian Ethnic Wear
southloom.com
A Closer Look at the Perivascular Unit in the Development of Enlarged ...
mdpi.com
Buy Indian Festival Outfits for Women Online 2024 – The Sass Project
sassproject.in
Buy Banana Chips Online | Nagercoil Banana Chips | Authentic Nagercoil ...
indiansnackhouse.com
Buy Maniams Toys Maniams Paheli Ramayana Indian Culture Family Board ...
amazon.in
Press Release:Press Information Bureau
pib.gov.in
CAA - Coastal Aquaculture Authority | Ministry Of Agriculture And ...
caa.gov.in
The Moxie Curly Routine – Moxie Beauty - Clean, high performing ...
moxiebeauty.in
Indian Design Wallpapers | Life n Colors – Page 3
lifencolors.in
CAA - Coastal Aquaculture Authority | Ministry Of Agriculture And ...
caa.gov.in
Volume 8 Issue 2
medpulse.in
Indian diaspora protests against Delhi violence, CAA in London, demands ...
indiatoday.in
Jaipur Printed Shirts by Southloom.com – Southloom.com - Kerala ...
southloom.com
14K Real Gold Indian Women Green CZ floral designer Nose stud nose rin ...
karizmajewels.in
Major financial turbulence ahead: The rupee may weaken further
freepressjournal.in
Kerala Mundu / Dhoti Online – Page 3 – Southloom.com - Kerala Handloom ...
southloom.com
INDIAN ETHNIC WOMEN'S Aarvi Dabu Cotton Dress – THE INDIAN ETHNIC CO.
theindianethnicco.com
Protests erupt against CAA implementation, opposition leaders hit out ...
indiatoday.in
Aahed V-design bedside table with two drawer – Indian Nest
indiannest.in
CAA - Coastal Aquaculture Authority | Ministry Of Agriculture And ...
caa.gov.in
Offshore US campuses in India: New pathways for Indian students in US ...
bestcolleges.indiatoday.in
CAA - Coastal Aquaculture Authority | Ministry Of Agriculture And ...
caa.gov.in
Targeting the PI3K/AKT/mTOR Signaling Pathway in Lung Cancer: An Update ...
mdpi.com
Environmental Impact Assessment of the National Large Solar Telescope ...
wgbis.ces.iisc.ac.in
INDIAN POLITICAL SCIENCE ASSOCIATION India
ijps.net.in
7 gripping South Indian thriller movies on YouTube you shouldn’t miss ...
gqindia.com
Draw neat labelled diagram of simple reflex arc - Brainly.in
brainly.in
Trío de fármacos dirigidos para cáncer colorrectal con mutaciones en el ...
cancer.gov
Hyperhomocysteinemia: A4 Flip Wipe – Science For Doctors
sciencefordoctors.com
Is There a Connection between Hyperhomocysteinemia and the ...
mdpi.com
An Introduction to the Regulation of Primary Metabolic Pathways ...
ibpbooks.in
Environmental Impact Assessment of the National Large Solar Telescope ...
wgbis.ces.iisc.ac.in
Kerala Saree Online – Page 4 – Southloom.com - Kerala Handloom and ...
southloom.com
CAA ‘discriminatory’: Muslim body goes to Supreme Court day after it’s ...
indiatoday.in
Students across 25 universities in India protest against CAA
newsmeter.in
Glycogenolysis - Steps, Enzymes, Regulation And Functions
pw.live
Is There a Connection between Hyperhomocysteinemia and the ...
mdpi.com
Is There a Connection between Hyperhomocysteinemia and the ...
mdpi.com
Physiological and Pathological Roles of Aldose Reductase
mdpi.com
Despite being unread the act, Sadhguru blames students for not reading ...
thenewstuff.in
CAA-NRC-NPR: Everything We Need to Know | NewsClick
newsclick.in
Rajarajeshwari Lalita Tripura Sundari With Sri Yantra - Mahashakti ...
tallengestore.com
CAA news: How to apply for Indian citizenship online - India Today
indiatoday.in
CAA - Coastal Aquaculture Authority | Ministry Of Agriculture And ...
caa.gov.in
Ministry of Home Affairs grants citizenship to 14 People under CAA THE ...
newindian.in
CAA implemented: Rules eased for seeking Indian citizenship THE NEW ...
newindian.in
Citizenship Amendment Act -CAA-Supreme Court Hearing- LIVE UPDATES
livelaw.in
Shantanu Thakur এসআইআর-এ নাম বাদ গেলে কী করতে হবে? 'উপায়' বাতলে দিলেন ...
bengali.news18.com
How Is Homocysteine Linked To Brain Health - Life Extension
lifeextension.com
H.H The Rajah’s College (Autonomous Accredited B+)
hhrc.ac.in
Twinkl Symbols: Mi fin de semana - Tapiz de CAA - Twinkl
twinkl.co.in
Outstanding internship and career pathways for Indian students with ov
content.techgig.com
CAA - Coastal Aquaculture Authority | Ministry Of Agriculture And ...
caa.gov.in
CAA - Coastal Aquaculture Authority | Ministry Of Agriculture And ...
caa.gov.in
CAA - Coastal Aquaculture Authority | Ministry Of Agriculture And ...
caa.gov.in
CAA - Coastal Aquaculture Authority | Ministry Of Agriculture And ...
caa.gov.in
CAA - Coastal Aquaculture Authority | Ministry Of Agriculture And ...
caa.gov.in
SRNSAEB Sloping Driveway/Pathway Gravel Grid, 2 Inch | Ubuy India
ubuy.co.in
CAA - Coastal Aquaculture Authority | Ministry Of Agriculture And ...
caa.gov.in
The CAA and NRC together will open up scars of Partition and turn India ...
scroll.in
Instability In India’s Neighbourhood | Current Affairs | Vision IAS
visionias.in
Economic Infrastructure of India Development and Sectors
adda247.com
CAA - Coastal Aquaculture Authority | Ministry Of Agriculture And ...
caa.gov.in
CAA - Coastal Aquaculture Authority | Ministry Of Agriculture And ...
caa.gov.in
CAA - Coastal Aquaculture Authority | Ministry Of Agriculture And ...
caa.gov.in
CAA - Coastal Aquaculture Authority | Ministry Of Agriculture And ...
caa.gov.in
Related Searches
Parathyroid Hormone Function
Action of Parathyroid Hormone
Parathyroid Hormone Chart
Parathyroid Hormone Diagram
Parathyroid Pathway
Parathyroid Hormone Pathway Bone
Parathyroid Hormone Signaling Pathway
Parathyroid Hormone Physiology
Parathyroid Hormone Regulation
Parathyroid Target Organ
Elevated Parathyroid Hormone
Parathyroid Gland Function
Parathyroid Hormone Calcium
Parathyroid Hormone Signaling Pathway Simple
Calcitonin vs Parathyroid Hormone
Chemistry of Parathyroid Hormone
Parathyroid Axis
Parathyroid Hormone Release
Parathyroid Hormone Formula
Structure of Parathyroid Hormone
Parathyroid Hormone Flow Chart
Parathyroid Hormone Feedback Loop
Parathyroid Hormone Secretion
High Parathyroid Hormone Levels
Parathyroid Hormone Released
Parathyroid Effect On Bone
Parathyroid Metabolism
What Type of Hormone Is Parathyroid Hormone
Thyroid Hormone Pathway
Parathyroid Hormone Production
Parathyroid System
Parathyroid Hormone Synthesis
Parathyroid Hormone Effects
Parathyroid Hormone Camp Pathway
Parathyroid Hormone Phosphate
Mechanism of Parathyroid Hormone
Parathyroid and Kidney Disease
Increase Parathyroid Hormone
Parathyroid Hormone-Related Protein
Endocrine Parathyroid
Parathyroid Hormone Calcium Homeostasis
Low Parathyroid Hormone
Pathophysiology of Parathyroid Hormone
Parathyroid Releasing Hormone Pathway
Parathyroid Hormone Receptor
Location of Parathyroid Gland
Parathyroid Hormone and Anemia
Hormone Cascade Pathway of Parathyroid Hormone
Parathyroid Hormone and Phosphorus
Number Parathyroid
Search
×
Search
Loading...
No suggestions found