Find Your Style
Women
Men
Accessories
Search for clothing, brands, styles...
×
Women
Men
Accessories
Ild Ct Patterns
Search
Loading...
No suggestions found
We Found 5 Foundations Under INR 600 For Every Skin Type | LBB
lbb.in
Philips Remote Inr Order Form - Fill Online, Printable, Fillable, Blank ...
pdffiller.com
Buy Fabrics For INR 100+ Here | LBB, Kolkata
lbb.in
10 MustHave Items Under INR 1999 That Will Transform You Into A Style Icon
mensxp.com
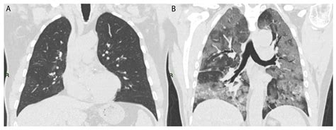
Ultra-high resolution CT imaging of interstitial lung disease: impact ...
siemens-healthineers.com
Interstitial Lung Disease as Presenting Feature of SLE
casereports.in
Can CT effectively diagnose interstitial lung disease? Study sheds light
medicaldialogues.in
High-resolution CT and histopathology combination enhances accuracy of ...
medicaldialogues.in
How to draw Influence Line Diagram (ILD) using Müller-Breslau's principle
apsed.in
Cryptogenic Organizing Pneumonia: Evolution of Morphological Patterns ...
mdpi.com
Orange Cotton Handwoven Saree With Texture Pattern – Charukriti
charukriti.co.in
Orange Cotton Handwoven Saree With Texture Pattern – Charukriti
charukriti.co.in
Orange Cotton Handwoven Saree With Texture Pattern – Charukriti
charukriti.co.in
Cryptogenic Organizing Pneumonia: Evolution of Morphological Patterns ...
mdpi.com
Interstitial Lung Disease in Children: “Specific Conditions of ...
mdpi.com
Fundamentals of High-Resolution Lung CT: Common Findings, Common ...
flipkart.com
Gram's Stain Report Format | MS Word & Pdf
labsmartlis.com
Cryptogenic Organizing Pneumonia: Evolution of Morphological Patterns ...
mdpi.com
COVID-19 in Italy: Comparison of CT Findings from Time Zero to the ...
mdpi.com
Was müssen Pneumologen bei der HRCT beachten? - Pneumologie ...
universimed.com
Cryptogenic Organizing Pneumonia: Evolution of Morphological Patterns ...
mdpi.com
Volume 6 Issue 2
medpulse.in
Grade R Coding And Robotics Pattern Recognition Shapes
twinkl.co.in
Bullish Pennant Pattern: Stock Depicts ‘20% Upside’! | Investing.com India
in.investing.com
COVID-19 in Italy: Comparison of CT Findings from Time Zero to the ...
mdpi.com
COVID-19 in Italy: Comparison of CT Findings from Time Zero to the ...
mdpi.com
COVID-19 in Italy: Comparison of CT Findings from Time Zero to the ...
mdpi.com
Cricut Rainbow Watercolor Infusible Ink Transfer India | Ubuy
ubuy.co.in
COVID-19 in Italy: Comparison of CT Findings from Time Zero to the ...
mdpi.com
COVID-19 in Italy: Comparison of CT Findings from Time Zero to the ...
mdpi.com
Grade R Movement Patterns
twinkl.co.in
ILD Connect – Connecting Expertise. Elevating Diagnosis.
ildconnect.in
Black handblock printed floral combined pattern mul cotton saree ...
goswadeshi.in
Interstitial lung disease (ILD)
medicaldialogues.in
Buy Color by Number Patterns: An Adult Coloring Book with Fun, Easy ...
ubuy.co.in
Buy Bird Stamped Cross Stitch Kits, Embroidery Kits for Beginners ...
desertcart.in
Casio CT-S100 Casiotone 61-Key Portable Keyboard (Black) : Amazon.in ...
amazon.in
Spinal cord injury
ottobock.com
Seven - Homework - Th e Pr ot e ct ion of Ch ild r e n f r om Se x u a ...
studocu.com
SUJATRA Tunics – Sujatra
sujatra.com
Casio CT-S100 Casiotone 61-Key Portable Keyboard (Black) : Amazon.in ...
amazon.in
Structural Performance Of Single Layer / Double Layer Steel Roofs: A ...
portfolio.cept.ac.in
Liver Parenchymal Disease: Causes, Symptoms, & Treatment
medicoverhospitals.in
Daily Current Affairs 11th June 2025, Important News Headlines (Daily ...
bankersadda.com
ツイストカットソー【PATTERN CT-02】 | mishinstudioROE
roeshopinfo.thebase.in
Orange Cotton Handwoven Saree With Texture Pattern – Charukriti
charukriti.co.in
Pramesh Trading Secret Charts [ 6 Classic Chart Patterns & 6 ...
flipkart.com
Orange Cotton Handwoven Saree With Texture Pattern – Charukriti
charukriti.co.in
Casio CT-S100 Casiotone 61-Key Portable Keyboard (Black) : Amazon.in ...
amazon.in
サークルカットソー【PATTERN CT-01】準備中 | mishinstudioROE
roeshopinfo.thebase.in
Buy Pattern Recognition (ELE-III) (B.E. VIII Sem. CS, CT, IT) Book ...
amazon.in
Grade R Coding and Robotics - Patterns with Shape and Colour
twinkl.co.in
Buy Welly Bandages - Bravery Badges, Flexible Fabric, Adhesive ...
desertcart.in
Chandipur Sea Beach | Chandipur Beach is famous for its unique tidal ...
chandipur.in
Grade R - Coding - Pattern Recognition: Threes
twinkl.co.in
Café Coffee Day - Ild Trade Center, Gurugram - Restaurant reviews
restaurant-guru.in
Den hellige ild : Amazon.in: Books
amazon.in
PIXELPAGE PUBLICATIONS Trading Candlesticks Chart Pattern for Beginners ...
flipkart.com
Casio CT-X9000IN 61-Key Portable Keyboard (Black) : Amazon.in: Musical ...
amazon.in
Heritage Check Luxe Shirt – Premium Microfiber Edition – CANOE TRENDS
canoetrends.com
Daak Vaak Shop
shop.daakvaak.com
Odisha CT Exam Syllabus 2023 Download D.El.Ed Exam Pattern
adda247.com
Company | Bosch Rexroth India
boschrexroth.com
Heritage Check Luxe Shirt – Premium Microfiber Edition – CANOE TRENDS
canoetrends.com
Grade R Objects in Nature Patterns
twinkl.co.in
Men Random Split Leaf Pattern Shirt – Evalaxy
evalaxy.com
Grade R Pattern Activities | Maths Pack | South Africa
twinkl.co.in
Heritage Check Luxe Shirt – Premium Microfiber Edition – CANOE TRENDS
canoetrends.com
Copy the Pattern: Shapes (teacher made) - Twinkl
twinkl.co.in
Trading Chart Candlestick Patterns Stock Market Posters For Learn Stock ...
flipkart.com
Get Geometric Patterned Woven Cushion at ₹ 750 | LBB Shop
lbb.in
Grade R Coding - Pattern Recognition Worksheet: Numbers
twinkl.co.in
Encyclopedia of Chart Patterns: Buy Encyclopedia of Chart Patterns by ...
flipkart.com
Buy Milano Barq - Recessed Walk in Wet Room Shower Enclosure with Grid ...
ubuy.co.in
English CAPS Planning and Record Sheet - Grade R
twinkl.co.in
Buy BAASC Stock Market Trading Chart Pattern ( Set Of 12 ) [6 Classic ...
desertcart.in
ILD
ildindia.org
Buy Numberblocks Coloring Book: Lots Of Beautiful Illustrations And ...
ubuy.co.in
ツイストカットソー【PATTERN CT-02】 | mishinstudioROE
roeshopinfo.thebase.in
Audi Models | Audi Latest 2025 Models
audi-kuwait.com
Bottoms And More | LBB
lbb.in
White Chikankari Work Rayon Salwar Suit
peachmode.com
Fillable Online connecticut department of motor vehicles - CT.gov Fax ...
pdffiller.com
ILD
ildindia.org
Casio CT-S100 Casiotone 61-Key Portable Keyboard (Black) : Amazon.in ...
amazon.in
Casio CT-S200 Casiotone 61-Key Portable Keyboard with Piano tones, Red ...
amazon.in
A9A27006 Schneider Electric | Schneider Electric Acti 9 Rotary Handle ...
in.rsdelivers.com
Buy LawnStar Blue Spray Pattern Indicator - Premium, Professional Ultra ...
desertcart.in
Buy Paper Perforator Tracing Wheel Two Type, Sewing tracing Wheel for ...
ubuy.co.in
腹部CT検査|消化器系の検査 | 看護roo![カンゴルー]
kango-roo.com
ILD Trade Centre, Sohna Road, Gurgaon
abcbuildcon.in
Easy Gnomes Stained Glass Patterns - Etsy India
etsy.com
ILD
ildindia.org
D'source Products | Ahir Embroidery - Kutch, Gujarat | D'Source Digital ...
dsource.in
इंटरस्टीशियल लंग डिजीज (ILD): मध्य फेफड़ों के रोग, लक्षण और उपचार ...
medtalks.in
Buy Nursery Pattern Writing Book for Kids Ages 2-5 – Engaging Early ...
amazon.in
Narayan Jewellers | LBB
lbb.in
Buy Jell-O Orange Sugar Free Ready-to-Eat Jello Cups Gelatin Snack, 4 ...
ubuy.co.in
Chart Patterns | MON FX TRADING
in.pinterest.com
Chalk Studio | LBB
lbb.in
Get Moroccan Ogee Pattern Multicolour Table Runner. (12" X 84" ; 30 Cms ...
lbb.in
ild logo
ildindia.org
Casio CT-X9000IN 61-Key Portable Keyboard (Black) : Amazon.in: Musical ...
amazon.in
Drs Form R 657 - Fill Online, Printable, Fillable, Blank | pdfFiller
pdffiller.com
All type of HT/LT Panels - Balaji Engineers - Distributors of HT Panels ...
balajiengineers.in
Buy Patterns for College Writing: A Rhetorical Reader and Guide: High ...
amazon.in
Buy Clamp Current Transformer, CT Technology Testing Tool Sensing ...
desertcart.in
Buy Cricut Patterns, Rainbow Watercolor Splash (4 ct) Infusible Ink ...
desertcart.in
Fluid Painting Workshop
lbb.in
Learn Calligraphy At This Workshop In Lower Parel | LBB, Mumbai
lbb.in
LovetheFamily Butterflies Over Flowers 21 X 25cm Cross Stitch Stamped ...
amazon.in
Bajaj CT 125X first ride review - Overdrive
overdrive.in
Head To This Nursery For Quirky Matkas | LBB Mumbai
lbb.in
Jai Hind Collection | LBB
lbb.in
Get Black And Yellow Plaid Woven Throw at ₹ 1499 | LBB Shop
lbb.in
Buy Clorox Disinfecting Wipes, 105 ct, Bleach Free Cleaning Wipes ...
ubuy.co.in
Get Dalmation Pattern Cup at ₹ 899 | LBB Shop
lbb.in
Diagnosis Perdarahan Subaraknoid Spontan - Alomedika
alomedika.com
MYSTIC REVEALED (2026) All You Need to Know BEFORE You Go (with Photos ...
tripadvisor.in
Unnati Silks | LBB
lbb.in
Related Searches
UIP Pattern Ild
Idiopathic Pulmonary Fibrosis CT Scan
Lip Ild
Interstitial Lung Pattern
UIP Pattern CT Chest
Ild Patterns CT Chest
Different Patterns of Ild
Ild CT Patterns Honeycombing
RB-ILD CT Chest
Interstitial Lung Disease On CT
Ild CT Finding Patterns
Pttern Ild CT
Pulmonary Edema CT Scan
Ild CT Patterns Types
Amio Ild Pattern
Bronchiectasis CT
Ground Glass Lung CT Scan
HP Pattern Ild
Ilid Patterns
Ild Paterns
Interstitial Lung Pattern Cat
Ild Pattern Table
Ild Radiological Patterns
Emphysema Patterns
Newham Et Al Ild Patterns
CT Features of Ild Pattern
Reticular Ild Pattern CT
Pneumonia Chest CT Scan
Honeycombing in the Lungs
Radiologic Patterns of Ild On CT
Pattern of Ild in Byssinosis
Interstitial Lung Markings
SLE Ild CT Pattern
Acute Interstitial Pneumonia
Rheumatoid Arthritis Ild
Ra Ild CT Scan
Ild Patterns Radiopaedia
Ild Protocol CT Chest
CT Thorax Ild
Interstitial Lung Disease Categories
Mosaic Attenuation CT
Radiographic Pattern for Ild
Ild Imaging Patterns
Ild Radiologi
Ild Drawing
Identifications Ild Patterns
CTD Ild Radiographic Patterns
IPF Lung Patterns On CT
Ild CT Comparison Chart
CT of Ild Labelled
Search
×
Search
Loading...
No suggestions found