Find Your Style
Women
Men
Accessories
Search for clothing, brands, styles...
×
Women
Men
Accessories
Inomax Dsir
Search
Loading...
No suggestions found
INR Full Form: What is full form of INR?
bankersadda.com
Top 10 Countries Where INR Has the Highest Value in 2025
currentaffairs.adda247.com
Anand Kamalnayan Pandit — INR 8,660 Cr (Sri Lotus Developers & Realty ...
economictimes.indiatimes.com
Best whiskey under INR 1500 for a pocket-friendly drinking experience
lifestyleasia.com
Anand Kamalnayan Pandit — INR 8,660 Cr (Sri Lotus Developers & Realty ...
economictimes.indiatimes.com
Decision to Withdraw 2,000 INR Note Won't Have Any Impact: Economist
sputniknews.in
Anand Kamalnayan Pandit — INR 8,660 Cr (Sri Lotus Developers & Realty ...
economictimes.indiatimes.com
Anand Kamalnayan Pandit — INR 8,660 Cr (Sri Lotus Developers & Realty ...
economictimes.indiatimes.com
Gensol Engineering Secures INR 186 Crore Contract for 23 MWp
psuconnect.in
Facts about Indian businessman who is buying Lavasa city for INR 1814 ...
timesofindia.indiatimes.com
KWD to INR conversionDownload it from KWD to INR conversion for free 7.99
durslt.du.ac.in
CA Fresher bags INR 49.20 Lakhs Package in 58th ICAI Campus Placement Event
taxscan.in
Indian Rupee (₹) - Buy INR Currency Online at Best Rates
makemytrip.com
Ugro Capital Crosses Inr 10000 crore aum milestone launches 10k ...
psuconnect.in
Anand Kamalnayan Pandit — INR 8,660 Cr (Sri Lotus Developers & Realty ...
economictimes.indiatimes.com
DSIR recognition application : Documents required
dsirrecognition.in
Antifungals: From Pharmacokinetics to Clinical Practice
mdpi.com
DSIR Recognition : An overview
dsirrecognition.in
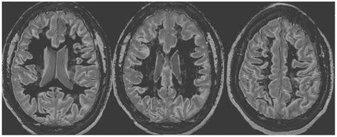
Diagnosis of Delayed Post-Hypoxic Leukoencephalopathy (Grinker’s ...
mdpi.com
Diagnosis of Delayed Post-Hypoxic Leukoencephalopathy (Grinker’s ...
mdpi.com
All about Registration on Income Tax e-Filing portal as DSIR
taxguru.in
Vigour Group of Industries
vigourseeds.in
Aravind Medical Research Foundation
amrf.org.in
Diagnosis of Delayed Post-Hypoxic Leukoencephalopathy (Grinker’s ...
mdpi.com
Current Status of our Smart Infrastructure at Dholera SIR
shyamgroups.co.in
Diagnosis of Delayed Post-Hypoxic Leukoencephalopathy (Grinker’s ...
mdpi.com
IMMT-DSIR CRTDH - The Common Research and Technology Development Hub
crtdh.immt.res.in
Diagnosis of Delayed Post-Hypoxic Leukoencephalopathy (Grinker’s ...
mdpi.com
Administration of Warfarin Inhibits the Development of Cerulein-Induced ...
mdpi.com
Press Release:Press Information Bureau
pib.gov.in
WHAT IS R&D as per DSIR guidelines?
dsirrecognition.in
About University | International Relations Centre
irc.dpu.edu.in
Understanding DSIR Recognition: A Comprehensive Guide for Indian Companies
dsirrecognition.in
DSIR is rapidly emerging as a next-gen industries destination
rscgroupco.in
Cabinet approves DSIR Scheme “Capacity Building and Human Resource ...
narendramodi.in
DSIR
dsir.in
DSIR Recognition | Blog
dsirrecognition.in
Certificates – RHN Satvam Nutrition
satvamnutrition.com
MIT Pune Rankings: NIRF, QS, Times Higher Education, India Today and ...
mitwpu.edu.in
Alliance University | Top Universities in India
alliance.edu.in
myGov
master-dsir.digifootprint.gov.in
How Warfarin Is Synthesized and Key Insights
medicoverhospitals.in
RECOGNITIONS & APPROVALS - BWU
brainwareuniversity.ac.in
ITT 2002 at New Delhi | DSIR : Department of Scientific and Industrial ...
dsir.gov.in
Govt Clears DSIR Scheme With ₹2,277 Crore Outlay To Boost Innovation, R&D
freepressjournal.in
Cabinet approves DSIR Scheme "Capacity Building and Human Resource ...
aninews.in
Volume 20 - Issue 2, June, 2001 - Information Processing Tools CDROM ...
dsir.gov.in
Cabinet Greenlights DSIR/CSIR "Capacity Building & Human Resource ...
currentaffairs.adda247.com
Tata Power-DDL's in-house R&D unit gets 3-year DSIR extension
constructionworld.in
Alliance Online
allianceonline.edu.in
Pune: DSIR Senior Scientist Applauds India's Technological Strides And ...
freepressjournal.in
Understanding DSIR Recognition: A Comprehensive Guide for Indian Companies
dsirrecognition.in
Parijat Industries receives DSIR Recognition
aninews.in
Dr. (Mrs.) N. Kalaiselvi, Secretary, DSIR & DG, CSIR, inaugurated the ...
csir.res.in
VFSTR-Indian Knowledge System (IKS)
vignan.ac.in
Dr N Kalaiselvi, DG-CSIR & Secretary-DSIR visited the CSIR pavilion at ...
csir.res.in
Press Release:Press Information Bureau
pib.gov.in
Viksit Bharat
dsir.gov.in
ಸುತ್ತೋಲೆಗಳು - University of Agricultural Sciences, Bangalore
uasbangalore.edu.in
Sell USDC for USD | USDC to USD Calculator
binance.com
Online Application Form | SRM University Delhi-NCR, Sonepat
srmuniversity.ac.in
INSA-NCGG LEADS 5.0 began with an inspiring lecture by Dr. N ...
csir.res.in
IMMT-DSIR CRTDH - The Common Research and Technology Development Hub
crtdh.immt.res.in
CERTIFICATIONS | Zelle Biotechnology
zellebiotech.com
ITAT allows Weighted Deduction under Section 35(2AB), Classifying DSIR ...
taxscan.in
ICMR Releases Antimicrobial Guidelines 2022: Here are Updates on Use of ...
medicaldialogues.in
News | CSIR - NAL
nal.res.in
Lohum receives DSIR certification for excellence in in-house R&D ...
autocarpro.in
Weighted Deduction allowable u/s 35(2AB) of Income Tax Act when DSIR ...
taxscan.in
USD/INR Cracks Big: Falls 2% in 4 Days! | Investing.com India
in.investing.com
Coagulation Analyzer - Micropoint Q3 Pro Electrometer PT-INR Trader ...
r2healthcare.in
Aravind Medical Research Foundation
amrf.org.in
CSIR-CDRI Lucknow
cdri.res.in
Speciality Organic Pvt Ltd.
kirantechnologies.co.in
Home | CSIR-CEERI Guesthouse
guesthouse.ceeri.res.in
Special Campaign 3.0 | DSIR : Department of Scientific and Industrial ...
dsir.gov.in
INDIA VILLAGES BOUNDARIES GIS MAP DATA 2024
gismaps.in
India and Malaysia can now trade in Indian rupee
currentaffairs.adda247.com
Dr. (Mrs.) N. Kalaiselvi, Secretary of DSIR and DG of CSIR, visited ...
niist.res.in
NIT-Andhra Pradesh : HOME
nitandhra.ac.in
Section | CSIR-Central Mechanical Engineering Research Institute
cmeri.res.in
MIT-WPU
mitwpu.edu.in
Appointment on Compassionate ground in DST for the year 2024 ...
dst.gov.in
Home | DSIR : Department of Scientific and Industrial Research ...
dsir.gov.in
NDBI
ndbiindia.org
Dr. (Mrs) N. Kalaiselvi (Secretary, DSIR and Director General, CSIR ...
niist.res.in
shop
indexim.in
Press Release:Press Information Bureau
pib.gov.in
SUGAR PRODUCTION | DSIR : Department of Scientific and Industrial ...
dsir.gov.in
CSIR-AMS Portal
ams.csir.res.in
Govt clears DSIR scheme with Rs 2,277 crore outlay to boost innovation, R&D
ianslive.in
IESS 2024 | IESS XII | Chennai Trade Centre | Chennai
iesshow.in
Buy Gold Bangles Online India with Latest Designs - Manubhai Jewellers
manubhai.in
IITR Lucknow Concludes 'CRTDH Empowering MSMEs' Chintan Shivir
smestreet.in
How Indian Rupee Stands Against Other Major Currencies
indiatimes.com
USD/INR Breaking Imp. Trendline; Is Nifty 50 Topping Out? | Investing ...
in.investing.com
Fed’s 75 bps Hike: Rupee Falls to Record Low, Sets Eye for ‘82 ...
in.investing.com
Dr Shekhar C Mande, DG, CSIR & Secretary, DSIR visiting CSIR-CSMCRI and ...
csir.res.in
Dr. (Mrs) N. Kalaiselvi (Secretary, DSIR and Director General, CSIR ...
niist.res.in
Form 3CM and Form 3CL issued by DSIR is not mandatory for allowing ...
taxscan.in
IMMT-DSIR CRTDH - The Common Research and Technology Development Hub
tools.immt.res.in
IRPS | Indian Railways
irps.in
Matrix labs
matrixlabs.co.in
Buy Diamond Necklace Online | Diamond Set Online Manubhai Jewellers
manubhai.in
Buy Diamond Necklace Online | Diamond Set Online Manubhai Jewellers
manubhai.in
Rupee Depreciation: Will India's Exports Stand To Gain? | Investing.com ...
in.investing.com
8 Obat Stroke yang Efektif dan Tersedia di Apotik - Alodokter
alodokter.com
Dr. Shekhar C. Mande, Secretary, DSIR and Director General CSIR ...
csir.res.in
BIRAC 3i Portal
birac.nic.in
Buy Gold Pendant Set with Earrings Online India | Latest Gold Pendant ...
manubhai.in
Gold Necklace Set for Women | Buy Gold Necklace Set Online India ...
manubhai.in
Dr. (Mrs) N. Kalaiselvi (Secretary, DSIR and Director General, CSIR ...
niist.res.in
Warfarin R-Isomer | CAS No- 5543-58-8 | NA
chemicea.com
Buy Absolute Anticoagulant Journal: A Comprehensive logbook for ...
desertcart.in
Un Dsir de vengeance : Dorie, John: Amazon.in: Books
amazon.in
Buy Gold Pendant Set with Earrings Online India | Latest Gold Pendant ...
manubhai.in
Diamond Necklace Designs | Buy Diamond Necklace Set Online at Best ...
manubhai.in
DG CSIR & Secretary DSIR , Dr (Mrs) N. Kalaiselvi summarized the key ...
csir.res.in
logo_1200_x_628_px.jpg?v=1720118200
artrise.in
Related Searches
INOmax Evolve
INOmax Inocal
INOmax Dsir Unit
INOmax Dsir Injector Module
INOmax Logo
INOmax Dsir Delivery Module
INOmax Evolve DS
INOmax Baby
INOmax Transport
INOmax Therapy
INOmax ICU
INOmax Sensor
INOmax DS System
INOmax Ventilation
INOmax Diagram
INOmax Cylinders
INOmax Inocal Cylinder
INOmax Manual Water Trap
INOmax Gas
INOmax Supplies
INOmax Consumables
INOmax DS and Airvo
INOmax Evolve Dilution
Nitric Oxide Machine Dsir
INOmax MAX500 Manual
INOmax Devices
INOmax with Ventilator
INOmax Dsir Plus
INOmax Dsir Optiflow
INOmax Cart
INOmax Dsir Trolley
INOmax Nitric Oxide
INOmax Dsir Accessories
Mallinckrodt INOmax
INOmax Dsir Flowchart
Inovio INOmax
10023 INOmax
INOmax Drives
INOmax VFD
Dsir Symbol
Mallinckrodt INOmax Dsir
INOmax 10L
INOmax Dsir Plus 10007
INOmax Icon
INOmax Inservice
INOmax Dsir Plus 中文说明书
INOmax Dsir through BiPAP
INOmax Xrives
INOmax Dsir Connected to V60
INOmax Injector
Search
×
Search
Loading...
No suggestions found