Find Your Style
Women
Men
Accessories
Search for clothing, brands, styles...
×
Women
Men
Accessories
Interdigitating Gyri
Search
Loading...
No suggestions found
INR Full Form: What is full form of INR?
bankersadda.com
Understanding the Saudi Riyal Currency | INR to SAR
orientexchange.in
Top 10 Countries Where INR Has the Highest Value in 2025
currentaffairs.adda247.com
INR extends winning streak
msn.com
BTC to INR Converter, Convert Bitcoin to INR Exchange 2022 - Exchanger24
exchanger24.org
Indian Rupee (₹) - Buy INR Currency Online at Best Rates
makemytrip.com
Explore the smoothest whiskey collection: Best Scotch under INR 2000
lifestyleasia.com
usd to inr sbi rate: Latest News & Videos, Photos about usd to inr sbi ...
economictimes.indiatimes.com
Bitcoin price today, BTC to INR live price, marketcap and chart | Suncrypto
suncrypto.in
1 LTC to INR Converter, 1 Litecoin to INR in 2022 - Сryptocurrency-exchange
cryptocurrency-exchange.us.com
BTC to INR Converter, Convert Bitcoin to INR Exchange 2022 - Exchanger24
exchanger24.org
Can realization of export proceeds be in INR in India?
howtoexportimport.com
Sundar Pichai: Google unveils 4-step plan for 75,000 Cr INR digital ...
economictimes.indiatimes.com
Tom Cruise's anti-ageing 'poop' facial costs INR 14,000 per sitting ...
timesofindia.indiatimes.com
Mast Masala Oats | TATA Soulfull | INR 209/- only
soulfull.co.in
Get Alia Bhatt's Stunning Wedding Dress Under INR 20,000 | LBB
lbb.in
Value 360 announces it closed Q1 2024-25 with INR 10… | PRmoment.in
prmoment.in
Airtel 499 INR Special Prepaid Plan Price in India - Buy Airtel 499 INR ...
flipkart.com
Uses and SideEffects of Warfarin: What You Need to Know
medicoverhospitals.in
Deciphering the Effect of Different Genetic Variants on Hippocampal ...
mdpi.com
What is gyri and Sulci?where is it present? - Brainly.in
brainly.in
Buy Chronobiology and Chronomedicine: From Molecular and Cellular ...
amazon.in
Coagulation Analyzer - Micropoint Q3 Pro Electrometer PT-INR Trader ...
r2healthcare.in
India shining: Rupee inches closer to becoming international currency ...
timesnownews.com
International Trade Settlement in Indian Rupee (INR)
taxguru.in
1 million dong in indian rupees - Brainly.in
brainly.in
Secondary organ: Lymph Nodes :: Immune System
ourimmunesystem.webnode.in
USD/INR Cracks Big: Falls 2% in 4 Days! | Investing.com India
in.investing.com
USD/INR Breaking Imp. Trendline; Is Nifty 50 Topping Out? | Investing ...
in.investing.com
International Trade Settlement in Indian Rupee (INR)
taxguru.in
Next tranche of Bharat Bond ETF opens tomorrow: 10 things on NFO | Mint
livemint.com
USDINR – Is It A Price Action Pullback Or Shakeout ? | Investing.com India
in.investing.com
Rupee likely to go to 81 82 to the US dollar, or even higher. Here’s ...
businesstoday.in
Gold Necklace Set for Women | Buy Gold Necklace Set Online India ...
manubhai.in
Accounting for Management: Text and Cases, 3e by S.K. Bhattacharyya ...
vikaspublishing.com
21st December Daily Current Affairs 2022: Today GK Updates for Bank Exam
bankersadda.com
Gold Necklace Set for Women | Buy Gold Necklace Set Online India ...
manubhai.in
Mumbai Indians: 5 players MI can release ahead of IPL 2026 auction ...
crickettimes.com
Cameras under 10000: Buy top digital cameras online in India (2024)
lifestyleasia.com
MGT-6 Form Filing Process and Key Requirements
taxguru.in
Five Times The RBI Has Withdrawn Or Demonetised Indian Currency Notes
indiatimes.com
RBI’s short USD/INR forward book remains stable- analysis By Investing.com
in.investing.com
8 Obat Stroke yang Efektif dan Tersedia di Apotik - Alodokter
alodokter.com
Buy Diamond Necklace Online | Diamond Set Online Manubhai Jewellers
manubhai.in
Warfarin: View Uses, Side Effects and Medicines
truemeds.in
How to pronounce Gyri | Meaning, Synonyms, Nicknames
howtosay.co.in
logo_1200_x_628_px.jpg?v=1720118200
artrise.in
Online Forex Trading And Currency Trading In India
samco.in
Is your Rs 500 note real or fake? RBI suggests how to check - Real or ...
economictimes.indiatimes.com
Warfarin R-Isomer | CAS No- 5543-58-8 | NA
chemicea.com
Contact-us – Permanent Magnets Ltd
pmlindia.com
In charts: As the rupee sinks touches 80 against the dollar, what does ...
scroll.in
Buy Gold Set Online | Gold Set by Manubhai.
manubhai.in
Gold Necklace Set with Price | Buy Gold Necklace Set Online
manubhai.in
Buy Gold Bangles Online India with Latest Designs - Manubhai Jewellers
manubhai.in
Diamond Necklace Designs | Buy Diamond Necklace Set Online at Best ...
manubhai.in
Diamond Earrings Designs | Buy Diamond Earrings Online India - Manubhai ...
manubhai.in
Warfarin Dose Adjustment Chart - Fill Online, Printable, Fillable ...
pdffiller.com
MSN Money
msn.com
Buy Diamond Necklace Online | Diamond Set Online Manubhai Jewellers
manubhai.in
Aiwo Breath Easy – Aiwo Limited
aiwo.com
List Of Countries That Have Opened Special Rupee Vostro Accounts
indiatimes.com
Hurun India 2025: 10 billionaire Indians who entered the rich list this ...
economictimes.indiatimes.com
**Page Title:** "Top 10 Saree Trends Every Woman Must Know in 2024 ...
sanjarcreation.com
Toggle navigation
episteme10.hbcse.tifr.res.in
How to pronounce Gyri | Meaning, Synonyms, Nicknames
howtosay.co.in
Gold Necklace Set with Price | Buy Gold Necklace Set Online
manubhai.in
Warfarin Impurity 1 | CAS No- 2514748-07-1 | Simson Pharma Limited
simsonpharma.com
Fake notes worth over Rs 14 lakh in Rs 500 denominations seized in Odisha
odishatv.in
Sunil Gavaskar urged BCCI to restrict Salary for uncapped players to ...
bhaskarenglish.in
The Changing Skyline of Oragadam
magicbricks.com
How to pronounce Gyri | Meaning, Synonyms, Nicknames
howtosay.co.in
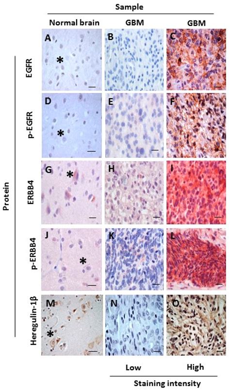
Activation of ERBB4 in Glioblastoma Can Contribute to Increased ...
mdpi.com
Aiwo Breath Easy – Aiwo Limited
aiwo.com
The Revival of Banarasi Weaving: How Gen Z is Embracing India's Rich T ...
rifab.co.in
Track Orders – Tailor Kadai
tailorkadai.in
Buy Antique Set Online | Antique Set by Manubhai.
manubhai.in
Buy The Role of the Left Fusiform Gyrus in Reading: An Examination of ...
amazon.in
Diamond Necklace Designs | Buy Diamond Necklace Set Online at Best ...
manubhai.in
Here are the best artisanal coffee brands in India you must sip
lifestyleasia.com
Buy Antique Set Online | Antique Set by Manubhai.
manubhai.in
Hurun India 2025: 10 billionaire Indians who entered the rich list this ...
economictimes.indiatimes.com
FAQ
keydroid.in
Hurun India 2025: 10 billionaire Indians who entered the rich list this ...
economictimes.indiatimes.com
India Tourism
traveltrendstoday.in
International Trade Settlement in Indian Rupee (INR)
taxguru.in
Lucky Baskhar ending explained: How Baskhar Kumar escapes to the US
lifestyleasia.com
India and Malaysia can now trade in Indian rupee
currentaffairs.adda247.com
KANNADA SONG KARAOKES - Song List
musiqkaraokes.in
Jeetendra net worth: Income from movies, properties, cars and more
lifestyleasia.com
Buy Gold Earrings Online | Gold Earrings by Manubhai.
manubhai.in
All about Bandarful coffee liqueur by Himmaleh spirits
lifestyleasia.com
Wedding Gold & Diamond Jewellery set with Price | Buy Bridal Gold ...
manubhai.in
The Ultimate Nose Piercing Troubleshooting Guide (2025) – Totapari
totapari.com
Failed Startups - Startups That Could Not Taste Success in their Journey
businessoutreach.in
Back To Black: | Grazia India
grazia.co.in
Thyrocare Founder Partners With YEA and Magnifiq Capital Trust to ...
businessoutreach.in
Warfarin sodium in India - Chemicalbook.in
chemicalbook.in
Certifications
pasteljade.com
ZEITGEIST ADA 2026
zeitgeistconference.in
Run Jump - Mocap.in
mocap.in
All you need to know about Mukesh Ambani's sister, Nina Kothari
lifestyleasia.com
Learning Mandala and Doing Business in It Are Two Different Learnings ...
nehascreations.com
Rate (INR)
erp.kohinoorpune.com
Warfarin-D6 | CAS No- 1261395-69-0 | Simson Pharma Limited
simsonpharma.com
Welingkar Institute of Management - NewsWire
newswire.nokomis.in
Rupee Depreciation: Will India's Exports Stand To Gain? | Investing.com ...
in.investing.com
Buy Antique Set Online | Antique Set by Manubhai.
manubhai.in
Partial Thromboplastin Time Wikipedia, 58% OFF
elevate.in
Hurun India 2025: 10 billionaire Indians who entered the rich list this ...
economictimes.indiatimes.com
Products | SURYANSH FAB in New Delhi, India
suryanshfab.in
Zen Publications
zenpublications.com
Warfarin Sodium | CAS No- 129-06-6 | Simson Pharma Limited
simsonpharma.com
Buy Gold Set Online | Gold Set by Manubhai.
manubhai.in
USD/INR at Record High! Why RBI is Failing to Curb the Rupee’s Fall ...
in.investing.com
100% Pure C8 MCT Keto Oil - 250ml | Aiwo – Aiwo Limited
aiwo.com
Gold Necklace Set for Women | Buy Gold Necklace Set Online India ...
manubhai.in
Diagnosis Atrial Fibrilasi - Alomedika
alomedika.com
Plus Size Deep Red SnugWeave™ V Neck Kurta
amydus.com
Gyrus Sulcus
gyrussulcus.akamai.net.in
Related Searches
The Gyri
Chiari MRI
Human Brain Gyri
Temporal Gyri
Tectal Beaking
Where Is the Gyri
Beaked Tectum
Gyri Sulci Fissures
Calcarine Gyrus
Sulcus
Effacement of Gyri
Postcentral Gyrus CT
Arnold Chiari Malformation MRI
Gyri Temporales Transversi
Angular Gyrus Anatomy
Gyri Drawing
Falx Cerebri
Gyrus Sulcus Fissure
Precentral Gyri
Mild Chiari Malformation
Tectal Beaking Radiology
Perisylvian Cortex
Interdigitating Dendritic Cells
Arnold Chiari Malformation Type 2
Corpus Callosum Hypoplasia
Gyra Brain
Brain Layers
Gyrification
Cingulate Gyrus Function
Superior Temporal Gyrus
Inferior Temporal Cortex
Human Brain Anatomy Diagram
Dentate Gyrus
Central Sulcus
Post Central Gyri
Perirolandic Gyrus
Cerebral Achromatopsia
Cytoarchitectonic Areas
Simplified Gyri
Long and Short Gyri
Chiari 2 Malformation Interdigitation of Gyri Radiology
Gyriform Cortical Calcification
Hypoplasia of the Brain Stem
Atretic Cephalocele
Torcula Low-Lying
Orbital Surface Brain
Gyrus Temporalis Inferior
Perisylvian Stroke
Chiari Plate
Left Inferior Temporal Gyrus
Search
×
Search
Loading...
No suggestions found