Find Your Style
Women
Men
Accessories
Search for clothing, brands, styles...
×
Women
Men
Accessories
Mabs 46
Search
Loading...
No suggestions found
IPL 2024 Auction: Full List of Players Available At INR 1.5 Crore Base ...
cricxtasy.news
OPPO Unveils A3 Pro, starting at just INR 17,999, Sets a New Benchmark ...
oppo.com
Rupee vs Dollar: INR at record low of 89.46 vs greenback amid multiple ...
msn.com
ENG vs IND 2025: Rohit Sharma spotted wearing INR 2.46-crore watch at ...
msn.com
Drop2Kart Cash Counter, Counts INR with UV/MG, FakeNote Alarm with ...
flipkart.com
28 EUR to INR - Convert 28 Euro to Rupee Today
makemytrip.com
98 USD to INR - Convert 98 US Dollar to Rupee Today
makemytrip.com
IPL: These 6 Indian cricket players have earned INR 75 Crore or more ...
nonnewz.com
SGD TO INR TODAY AND FORECAST
dollarrupee.in
Smoky whiskey: Best bottles under INR 2000
lifestyleasia.com
SGD TO INR TODAY AND FORECAST
dollarrupee.in
SGD TO INR TODAY AND FORECAST
dollarrupee.in
Best whiskey under INR 1500 for a pocket-friendly drinking experience
lifestyleasia.com
Odisha Government’s SLSWCA Approves 6 Industrial Projects Worth INR 493 ...
mmindia.co.in
SGD TO INR TODAY AND FORECAST
dollarrupee.in
33000 euro to inr - Claim a ₹300 Bonus Today! Android IOS V- 1.79
tax.lsgkerala.gov.in
USDT Price to Indian Rupee | USDT to INR Calculator
binance.com
India hands over INR 450 million to Sri Lanka to fund its digital ...
english.varthabharati.in
Innov8 Unitech Cyber Park at INR 399/day - Coworking Space for a Day ...
myhq.in
Nyan Heroes Price | NYN Price Index, Live Chart and INR Converter - Binance
binance.com
KAG ||ARCANE BLUE||48X24 Products at price INR 49 in Chennai | Hi Tech ...
hitechceramicsco.in
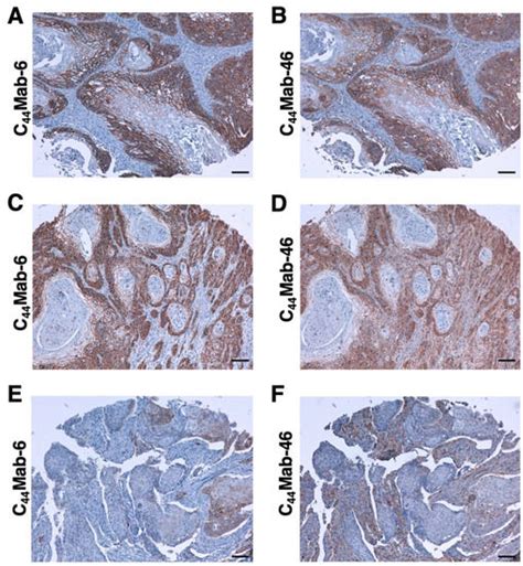
A Novel Anti-CD44 Variant 3 Monoclonal Antibody C44Mab-6 Was ...
mdpi.com
A Novel Anti-CD44 Variant 3 Monoclonal Antibody C44Mab-6 Was ...
mdpi.com
Recent Advances in Monoclonal Antibody-Based Approaches in the ...
mdpi.com
MAB-S retaining strap - System connectors and interfaces - Hilti India
hilti.in
Anticoagulation in Acute Pulmonary Embolism: Which Drug? How Long ...
universimed.com
Monoclonal antibodies (mAbs) production | Avantor
avantorsciences.com
DGP_2368.jpg?v=1711992991
subtract.in
DGP_2536.jpg?v=1718784874
subtract.in
DGP_2666.jpg?v=1711529796
subtract.in
Basic Materials – Harish Projects
harishprojects.com
Leveraging monoclonal antibodies as therapeutics to address ...
jabonline.in
MAB Beam clamp - System connectors and interfaces - Hilti India
hilti.in
3J1A5948-2.jpg?v=1733297345
subtract.in
Products | MEDOC HEALTHCARE in Baner, India
medochealthcare.in
DGP_2244.jpg?v=1711992699
subtract.in
SUBCS013-BEIGEBLACK-40_1.jpg?v=1727210387
subtract.in
DGP_2940.jpg?v=1718784938
subtract.in
2E4A1921.jpg?v=1712220669
subtract.in
DGP_2486.jpg?v=1718793457
subtract.in
1_88e3885f-ce55-4e10-b090-374ef4decc1a.jpg?v=1733296465
subtract.in
2E4A1603.jpg?v=1712220694
subtract.in
RUMBLE to INR: Convert Michael Buffer Official (RUMBLE) to Indian Rupee ...
coinbase.com
1_e7dbc96d-2b6e-40ed-a158-14ebae4cc090.jpg?v=1733296764
subtract.in
Place Value - MAB Maths (teacher made)
twinkl.co.in
-indonesia-1-inr-197-46-indonesian-rupiah
navbharattimes.indiatimes.com
MAB number line Activity Sheet 1 - 20
twinkl.co.in
Keeping Track: Veklury NDA Arrives At US FDA; Olinvyk Sees Approval ...
insights.citeline.com
What are Manipulatives? - Twinkl
twinkl.co.in
9 US dollars to Indian rupees Exchange Rate. Convert USD/INR - Wise
wise.com
Shop Premium Jadau Earrings Online
rudradhan.com
Bangles & Bracelets - Gold Plated Silver
rudradhan.com
Coagulation Analyzer - Micropoint Q3 Pro Electrometer PT-INR Trader ...
r2healthcare.in
MAB-S retaining strap - System connectors and interfaces - Hilti India
hilti.in
Shop Premium Jadau Earrings Online
rudradhan.com
Alfa Laval MAB Separator | Alfa Laval
alfalaval.in
MAB Bingo Numbers to 10 000
twinkl.co.in
2E4A1829.jpg?v=1712220682
subtract.in
Full form of GBP and INR: Explained and Compared
shallbd.com
Shop Premium Jadau Earrings Online
rudradhan.com
Shop Premium Jadau Earrings Online
rudradhan.com
Bosch 46 pcs Screwdriver Bit Set : Amazon.in: Home Improvement
amazon.in
Shop Premium Jadau Earrings Online
rudradhan.com
Personalized Cheque Book With Button in Delhi, Gurgaon, Noida, NCR ...
brandmybrand.in
10 Closest Hotels Near Chaldean Patriarchate-البطريركية الكلدانية ...
in.trip.com
Salary: Pharmacovigilance Specialist in New York City, NY, United ...
glassdoor.co.in
Home 2 Way Stretch Oxford Shirt in Sky Blue-Slim Fit
subtract.in
TON to INR: Convert Toncoin (TON) to Indian Rupee (INR) | Coinbase ...
coinbase.com
Shop Premium Jadau Earrings Online
rudradhan.com
Persian Bundi Set
jayeshandkaajalshah.com
International Trade Settlement in Indian Rupee (INR)
taxguru.in
Warfarin Sodium
kmpharma.in
BIM objects - Free download! AQUABOOST MAB SP2V-22HM | BIMobject
bimobject.com
Best Online Shopping Store in Hyderabad for Top Global Brands | Ubuy
ubuy.co.in
Gold Necklace Set for Women | Buy Gold Necklace Set Online India ...
manubhai.in
Cameras under 10000: Buy top digital cameras online in India (2024)
lifestyleasia.com
Detection of Nipah and Hendra Viruses Using Recombinant Human Ephrin B2 ...
mdpi.com
Warfarin Impurity 1 | CAS No- 2514748-07-1 | Simson Pharma Limited
simsonpharma.com
Bangles & Bracelets - Gold Plated Silver
rudradhan.com
Stand out navy blue corset top – Kostume County
kostumecounty.com
Shop Premium Jadau Earrings Online
rudradhan.com
DGP_2845.jpg?v=1712220389
subtract.in
How Indian Rupee Stands Against Other Major Currencies
indiatimes.com
Ethnic Threads: Designer Indian Handlooms and affordable Women's wear.
ethnict.com
Shop Premium Jadau Earrings Online
rudradhan.com
Certifications
pasteljade.com
Fatima Enterprise | Leading Exporter and Supplier of Reusable and New ...
fatimaenterprise.in
Products | MEDOC HEALTHCARE in Baner, India
medochealthcare.in
Light Weight & Daily Wear Gold Necklace Set Designs (2025) | Buy Gold ...
manubhai.in
Why is Acqua di Cristallo Tributo a Modigliani the most expensive water?
lifestyleasia.com
MEDOC HEALTHCARE in Baner, India
medochealthcare.in
MABS Vintage Car Set Pack Of 2 (Non Toxic) - Vintage Car Set Pack Of 2 ...
flipkart.com
Wedding Gold & Diamond Jewellery set with Price | Buy Bridal Gold ...
manubhai.in
Ethnic Threads: Designer Indian Handlooms and affordable Women's wear.
ethnict.com
Ayat Silver Nosepins
wizzowl.com
MAB FACILITY & SECURITY SERVIECS PVT. LTD.
mabfs.in
International Trade Settlement in Indian Rupee (INR)
taxguru.in
Plus Size Black Red SnugWeave™ Winter Kurta
amydus.com
Mabs Cross records another Palace House win | Racing News | Sky Sports
skysports.com
Solo Leveling: ReAwakening ending - Will Jinwoo survive the Red Gate?
lifestyleasia.com
Alfa Laval MAB Separator | Alfa Laval
alfalaval.in
Saudi riyal to Indian rupees Exchange Rate History | Currency Converter ...
wise.com
MABS 3 Wheel Skate Scooter Ride On Toy (PINK) Kids Scooter - Buy MABS 3 ...
flipkart.com
বাজারের সেরা গাড়ি Toyota Fortuner কিনতে চান? কত টাকা বেতন হলে হবে এই ...
autoscoop.in
Buy Barcel Corn Snacks, Chips, Popcorn, Candy & Syrups Online at Best ...
ubuy.co.in
Buy Antique Set Online | Antique Set by Manubhai.
manubhai.in
Contact – valientecaps
valientecaps.com
ASD to INR: Convert ASD (ASD) to Indian Rupee (INR) | Coinbase India
coinbase.com
Trending nail polish colours for 2023 weddings
lifestyleasia.com
MABS Quack Quack Duck Bath Toys for kids Pack Of 12 Bath Toy - Quack ...
flipkart.com
How Many Meters of material is Needed for Blouse stitching? (With Size ...
tailorkadai.in
Buy Antique Set Online | Antique Set by Manubhai.
manubhai.in
Flipkart Perfect Homes Solid Wood Side Table Price in India - Buy ...
flipkart.com
100% Pure C8 MCT Keto Oil - 250ml | Aiwo – Aiwo Limited
aiwo.com
Field attachables - Balluff
balluff.com
Shop Premium Jadau Earrings Online
rudradhan.com
Shop Premium Jadau Earrings Online
rudradhan.com
Related Searches
120 in mAbs
Y-Mabs
mAbs Visuals
mAbs and Wal
mAbs Log In
90004830 mAbs
A mAbs Moeny Advisor
mAbs Lender Awards
mAbs Journal
mAbs Teaching
mAbs Counters
MAB Ones
Luosie mAbs
mAbs Knäbandage
MAB BDO
What Is MAB in a Circle
mAbs Modifications
Ymabs Sada
mAbs DSC
mAbs Gg7
mAbs Carrier
mAbs Gym
mAbs 558A
MAB Cutouts
mAbs Transparent
How Are mAbs Obtained
Libs mAbs HSCS
How to Humanise mAbs
Mab4 Courtland
MAB 1000
Common mAbs
Cognate Chain Pairing mAbs
Ty mAbs
mAbs Name
1000 MAB
Mabu Gun
How Are mAbs Produced
mAbs Camposol
11 as mAbs
MAB SMG
Supahstudiomann mAbs
White mAbs
mAbs Material
What Modifications Happen to mAbs
Courtland Mab4
MAB Adme
10s MAB
Mox40l mAbs
Search
×
Search
Loading...
No suggestions found