Find Your Style
Women
Men
Accessories
Search for clothing, brands, styles...
×
Women
Men
Accessories
Microsatellite Instable
Search
Loading...
No suggestions found
Anand Kamalnayan Pandit — INR 8,660 Cr (Sri Lotus Developers & Realty ...
economictimes.indiatimes.com
INR RUMMY Game Download
yonogameindia.com
Philips Home Inr Monitoring - Fill and Sign Printable Template Online
uslegalforms.com
BTC to INR Converter, Convert Bitcoin to INR Exchange 2022 - Exchanger24
exchanger24.org
Facts about Indian businessman who is buying Lavasa city for INR 1814 ...
timesofindia.indiatimes.com
Best whiskey under INR 1500 for a pocket-friendly drinking experience
lifestyleasia.com
INR Homes
inrhomes.in
Anand Kamalnayan Pandit — INR 8,660 Cr (Sri Lotus Developers & Realty ...
economictimes.indiatimes.com
CA Fresher bags INR 49.20 Lakhs Package in 58th ICAI Campus Placement Event
taxscan.in
WazirX to Partially Lift INR Withdrawal Suspension Starting August 26 ...
topnews.in
Bitgert price today, BRISE to INR live price, marketcap and chart ...
suncrypto.in
India Saves INR 35,000 Crore By Buying Discounted Oil from Russia » Car ...
carblogindia.com
Best Women Watches Under INR 15K | LBB
lbb.in
microcap a Indian Rupee: Convertir MICROCAP a INR Hoy | CoinCodex
coincodex.com
Your Partner for Home INR Monitoring Services and Supplies | mdINR®
mdinr.com
Convert KWD TO INR | Kuwait Dinar to Indian Rupee
unimoni.in
0.1 ETH to INR Converter, How much Convert Ethereum to Indian Rupee ...
cryptocurrency-exchange.us.com
Lava Yuva Pro is a new sub-8000 INR phone with triple cameras and a ...
digit.in
Microsatellite Instability in Colorectal Cancer Liquid Biopsy—Current ...
mdpi.com
The Thomsen-Friedenreich Antigen: A Highly Sensitive and Specific ...
mdpi.com
Microsatellite Instability Testing | MSI Assay
promega.in
The Evolution of Microsatellite Instability (MSI) Detection
promega.in
Efficacy of Anti-VEGF and Anti-EGFRs in Microsatellite Instable (MSI-H ...
mdpi.com
DNA Fingerprinting — lesson. Science State Board, Class 10.
yaclass.in
MICAS: Microsatellite Analysis Server
mcr.org.in
Activation of cGAS-STING Pathway Is Associated with MSI-H Stage IV ...
mdpi.com
Activation of cGAS-STING Pathway Is Associated with MSI-H Stage IV ...
mdpi.com
Activation of cGAS-STING Pathway Is Associated with MSI-H Stage IV ...
mdpi.com
Genomic Instability and Cancer Risk Associated with Erroneous DNA Repair
mdpi.com
Delhi School: Delhi Cabinet Approves Rs.900 Crore to Build UP Smart ...
jagranjosh.com
Dilemmas in the Choice of Adequate Therapeutic Treatment in Patients ...
mdpi.com
How Warfarin Is Synthesized and Key Insights
medicoverhospitals.in
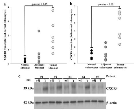
Enhanced CXCR4 Expression Associates with Increased Gene Body 5 ...
mdpi.com
International Trade Settlement in Indian Rupee (INR)
taxguru.in
Angina: Symptoms, Causes, Treatment, and Key Differences in Men & Women
hcghospitals.in
1 million dong in indian rupees - Brainly.in
brainly.in
Currency Today: Euro Finds Footing, Dollar Whipsaws, Rupee Tanks | India
btcc.com
Products | SURYANSH FAB in New Delhi, India
suryanshfab.in
USD/INR Breaking Imp. Trendline; Is Nifty 50 Topping Out? | Investing ...
in.investing.com
Next tranche of Bharat Bond ETF opens tomorrow: 10 things on NFO | Mint
livemint.com
ZEITGEIST ADA 2026
zeitgeistconference.in
Accounting for Management: Text and Cases, 3e by S.K. Bhattacharyya ...
vikaspublishing.com
Zen Publications
zenpublications.com
Hurun India 2025: 10 billionaire Indians who entered the rich list this ...
economictimes.indiatimes.com
**Page Title:** "Top 10 Saree Trends Every Woman Must Know in 2024 ...
sanjarcreation.com
Stand out navy blue corset top – Kostume County
kostumecounty.com
Custom Lab Coats & Doctor Aprons | High-Quality Uniforms | UniformTailor.in
uniformtailor.in
How Many Meters of material is Needed for Blouse stitching? (With Size ...
tailorkadai.in
All you need to know about Mukesh Ambani's sister, Nina Kothari
lifestyleasia.com
Ram Charan and Upasana Konidela net worth: Inside the lavish life
lifestyleasia.com
Plus Size Wine Cotton Linen Kurta Coord Set
amydus.com
Luthra And Luthra, Atozlearn Edutech Private Limited, Ixambee, Fundraise
livelaw.in
Angina inestable: causas, síntomas, diagnóstico y tratamiento
medicoverhospitals.in
Stability and Bifurcation
physics.iitm.ac.in
Anasay
anasay.com
Pratham | Student Satellite Program — IIT Bombay
aero.iitb.ac.in
Usi ed effetti collaterali del warfarin: cosa devi sapere
medicoverhospitals.in
Warfarin EP Impurity A | CAS No- 15156-56-6 | Simson Pharma Limited
simsonpharma.com
Ultra-Mutation in IDH Wild-Type Glioblastomas of Patients Younger than ...
mdpi.com
How to Price Your Painting in the Indian Market: A Guide for Artists ...
nehascreations.com
Cut-Out: The Risqué Trend That's Running Rampant On The Runways ...
grazia.co.in
Warfarin Impurity 1 | CAS No- 2514748-07-1 | NA
chemicea.com
Dehydro Warfarin | CAS No- NA | NA
chemicea.com
The Raja Saab cast salary: Who took home the biggest paycheck?
lifestyleasia.com
Soft Magnetic Alloys and Their Properties – Permanent Magnets Ltd
pmlindia.com
Genetic Diversity of Chinese Longsnout Catfish (Leiocassis longirostris ...
mdpi.com
Warfarin Alcohol Impurity | CAS No- 28392-96-3 | NA
chemicea.com
Jai Steel International Pvt Ltd
jaisteel.in
Run Jump - Mocap.in
mocap.in
About SSLV D2 | UPSC Current Affairs | IAS GYAN
iasgyan.in
**Page Title:** "Top 10 Saree Trends Every Woman Must Know in 2024 ...
sanjarcreation.com
AARTI - Tutorial
apexbtic.icgeb.res.in
Shirt Up: The Classic Button-Downs Get A 2022 Update | Grazia India
grazia.co.in
Comprendre les différences : angine stable et angine instable
medicoverhospitals.in
Bias Temperature Instability of MOSFETs | Encyclopedia MDPI
encyclopedia.pub
Clinical Profile of Acute Coronary Syndrome in Young Adults
jmsh.ac.in
Coagulation Analyzer - Micropoint Q3 Pro Electrometer PT-INR Trader ...
r2healthcare.in
Cut-Out: The Risqué Trend That's Running Rampant On The Runways ...
grazia.co.in
Cancers | February-1 2023 - Browse Articles
mdpi.com
2nd Opinion Radiology Report on Craniocervical Instability. CCI ...
accoladeradiology.com
Discover The Best Brands & Recommendations For Basics | LBB
lbb.in
Warfarin EP Impurity A | CAS No- 15156-56-6 | Warfarin USP Related ...
chemicea.com
Provisions of Section 194Q of Income Tax Act 1961
taxguru.in
Bias Temperature Instability of MOSFETs | Encyclopedia MDPI
encyclopedia.pub
Contact
labelkaleido.com
Bias Temperature Instability of MOSFETs | Encyclopedia MDPI
encyclopedia.pub
Bias Temperature Instability of MOSFETs | Encyclopedia MDPI
encyclopedia.pub
USDINR – Is It A Price Action Pullback Or Shakeout ? | Investing.com India
in.investing.com
Angina: tipi, sintomi, cause e fattori di rischio
medicoverhospitals.in
Forensic Science Salary 2025: Scope, Placements, and Government Jobs 2025
collegesearch.in
MSDB v3 - A database of microsatellites
data.ccmb.res.in
MSDB v3 - A database of microsatellites
data.ccmb.res.in
Acharaya Prashant Books Gifting Undertaking – Acharya Prashant Books
apbooks.acharyaprashant.org
Directives de l’ESC sur la prise en charge du syndrome coronarien aigu ...
universimed.com
Antifungals: From Pharmacokinetics to Clinical Practice
mdpi.com
Bias Temperature Instability of MOSFETs | Encyclopedia MDPI
encyclopedia.pub
IMEx:Imperfect Microsatellite Extractor - Glossary
mcr.org.in
Indonesian Rupiah - Buy IDR Currency Online in India
makemytrip.com
Godilo
masilo.in
International Trade Settlement in Indian Rupee (INR)
taxguru.in
Bias Temperature Instability of MOSFETs | Encyclopedia MDPI
encyclopedia.pub
ju-CET
cet.jainuniversity.ac.in
new
pilot.fpi.nsdl.co.in
Assessment of Acute Lesions of the Biceps Pulley in Patients with ...
mdpi.com
Blood thinning Diet: Foods to eat and foods to avoid | Sprint Medical
sprintmedical.in
Q3.Derive expression for Torque on a Dipole in electric field also ...
brainly.in
USD/INR Cracks Big: Falls 2% in 4 Days! | Investing.com India
in.investing.com
Size Chart – nachfashion
nachfashion.com
How Indian Rupee Stands Against Other Major Currencies
indiatimes.com
India and Malaysia can now trade in Indian rupee
currentaffairs.adda247.com
India hands over Rs 450 million to Sri Lanka to fund its digital ...
theweek.in
ODISHA POWER GENERATION CORPORATION
opgc.co.in
Diabetes India 2026
2026.diabetesindia.org.in
The Impact of Political Instability, Food Prices, and Crime Rate on ...
mdpi.com
Buy Absolute Anticoagulant Journal: A Comprehensive logbook for ...
desertcart.in
International Trade Settlement in Indian Rupee (INR)
taxguru.in
Fed’s 75 bps Hike: Rupee Falls to Record Low, Sets Eye for ‘82 ...
in.investing.com
Atlantoaxial Instability in Dogs | PetMD
petmd.com
MYTVNET IPTV
mytvnet.in
yatrinivas.com
yatrinivas.com
Related Searches
Microsatellite DNA
Microsatellite Genotyping
Minisatellite and Microsatellite
Microsatellite Markers
Microsatellite Polymorphism
Minisatellite vs Microsatellite
Microsatellite Kit
Microsatellite Example
Microsatellite DNA Sequencing
Microsatellite Typing
Microsatellite Sequence
Nanosatellite
What Is Microsatellite DNA
Microsatellite SSR
Microsatellite Repeats
Microsatellite PCR
DNA Marker
Microsatellite Platform
Microsatellite in the Genome
Microsatellite Design
Microsatellite Propulsion
Nucleic Acid
Microsatellite Gel
Microsatellite Structure
Microsatellite Instability Pathway
Microsatellite Mutation
Microsatellite Loci
Simple Sequence Repeats
Microsatellite in Molecular Biology
Microsatellite Regions
Malaysia First Microsatellite
LEGO Microsatellite
Container Microsatellite
Dpcr Microsatellite
Microsatellite Instability Colon Cancer
Picosat
Satellite DNA
Microsatellite Graphic
Microsatellite Evolution
Microsatellite Chromosome
Microsatellite Panel
Microsatellite Form Factors
Microsatellite Genetics Cancer
Transport Containers Microsatellite
Huntington's Microsatellite
Microsatellite UNAM
Thermal Actuator Microsatellite
Microsatellite Machine
Micro Sattelite
Optical Microsatellite
Search
×
Search
Loading...
No suggestions found