Find Your Style
Women
Men
Accessories
Search for clothing, brands, styles...
×
Women
Men
Accessories
Msc Cod Block
Search
Loading...
No suggestions found
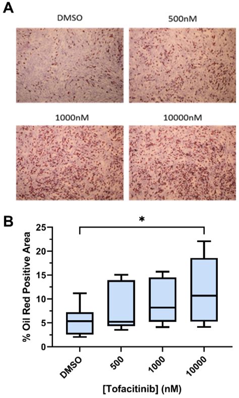
Tofacitinib Blocks Entheseal Lymphocyte Activation and Modulates MSC ...
mdpi.com
Tofacitinib Blocks Entheseal Lymphocyte Activation and Modulates MSC ...
mdpi.com
Tofacitinib Blocks Entheseal Lymphocyte Activation and Modulates MSC ...
mdpi.com
Tofacitinib Blocks Entheseal Lymphocyte Activation and Modulates MSC ...
mdpi.com
Green Pasture Fermented Cod Liver Oil -Non-Gelatin India | Ubuy
ubuy.co.in
Conditional Branching Statements - with Example C Programs
cse.poriyaan.in
MSC Terminal Blocks - TE | Mouser
mouser.in
Call of Duty: Black Ops 7 - PS5 & PS4 Games | PlayStation (India)
playstation.com
MSC GLORY R, Container Ship - Details and current position - IMO ...
vesselfinder.com
MSC KATYA R., Container Ship - Details and current position - IMO ...
vesselfinder.com
Methods for Inferring Cell Cycle Parameters Using Thymidine Analogues
mdpi.com
MSC GLORY R, Container Ship - Details and current position - IMO ...
vesselfinder.com
A.S Engineering - Manufacturer of Laboratory Instruments & High ...
asengineeringindia.in
An introduction to Call of Duty | PlayStation (India)
playstation.com
Mundra Port completes 25 years of operations
itln.in
Siemens 3RH2911-1HA22 Auxiliary Contact Block 2NO + 2NC : Amazon.in ...
amazon.in
Smart Container Monitoring - Hyperthings - Building a Connected world ...
hyperthings.in
Buy 365 by Whole Foods Market, Value Pack Cod Fillet Wild Frozen MSC ...
ubuy.co.in
Steel Gauge Block Sets Trader - Retailer from Pune
rampuratools.in
RTMNU Result 2025 Out, Check Nagpur University 1st, 2nd, 3rd, 4th, 5th ...
careerpower.in
Buy 365 by Whole Foods Market, Value Pack Cod Fillet Wild Frozen MSC ...
ubuy.co.in
MSR55E-SS-FO-H PMI Roller Guide Block -SKF FAG NSK NTN HIWIN SUPPLIER ...
paramountbearingco.in
Buy Mega Bloks Call of Duty Zombies TranZit Diner Building Set Online ...
ubuy.co.in
Call of Duty: Warzone - Top 10 Roofs of Verdansk
in.ign.com
MSC Species Sourcing Sessions: Sustainable Whitefish- Hake, Cod & Hoki ...
allevents.in
KADTECH GEOINFRA PVT LTD
kadtech.in
Erstes Black Ops 6-Update erschienen: Probleme des neuen Call of Dutys ...
de.ign.com
NOAH'S, Bristol - Restaurant Reviews, Phone Number & Photos - Tripadvisor
tripadvisor.in
Balanced Incomplete Block Design - Msc. Statistics - Studocu
studocu.com
CSIR NET Chemical Science - 2026 [Set of 9 Books] Complete Topic-Wise ...
flipkart.com
NFAT-UG Practice Sheet | BSc-MSc. Forensic Science Entrance | NFSU Entrance
buddingforensicexpert.in
Google Docs rolls out code blocks for easier format and display of cod
content.techgig.com
Vignan University
vignan.ac.in
Google Docs rolls out code blocks for easier format and display of cod
content.techgig.com
Google Docs rolls out code blocks for easier format and display of cod
content.techgig.com
MSC-021 Block-4- Master of Computer Application(MCA) - IGNOU - Studocu
studocu.com
Construction Project Management Courses | Construction Project ...
goireland.in
[Best Answer] draw a block diagram depicting organisation of a mobile ...
brainly.in
Kristu Jayanti College, Bengaluru
kristujayanti.edu.in
Bullet Curtain: World’s 1st Anti-Drone Barrage Weapon UPSC
iasgyan.in
Slideshow: Call of Duty: Black Ops 6 Multiplayer Tac-Maps
in.ign.com
COD Digestion System - Nitrogen Distillation Apparatus Manufacturer ...
nitrogenanalyzer.co.in
Bachmann Trains Cape Cod House - 2/Box - Cape Cod House - 2/Box . shop ...
flipkart.com
Printable Science Lettering Teaching Resource | Twinkl USA
twinkl.co.in
FTC blocks Microsoft’s $68.7 billion bid to acquire CoD publisher ...
techcircle.in
Building Blocks for Children - Extra 5% Off & COD Available – duckduckbaby
duckduckbaby.in
MSC Europa Itinerary, Current Position, Ship Review | CruiseMapper
cruisemapper.com
master setting rings
professionalengg.co.in
The Suzuki GSX-R 1000 is Back From the Dead, and Possibly Better Than Ever
msn.com
MSC CHIYO, Container Ship - Details and current position - IMO 9947110 ...
vesselfinder.com
Call of Duty®: Modern Warfare® 2 Campaign Remastered
playstation.com
Collections – DEADBEAR INDIA
deadbear.in
Call Of Duty®: Modern Warfare® II Launch Progression
7petals.in
Diy Building Block Music Box Developing Logical Thinking Suitable For ...
indiantelevision.com
Dr B. R. Ambedkar University Complaints & Reviews
consumercomplaints.in
What is Block Play? - Answered - Twinkl Teaching Wiki
twinkl.co.in
All Spawn Locations Of Call Of Duty: Warzone Helicopters And Tips To Use
gurugamer.com
Collections – DEADBEAR INDIA
deadbear.in
Printable Letter R Outline Print Bubble Letter R Bubble, 49% OFF
elevate.in
2023 Honda Civic Type R unveiled as the most powerful model in 30 years ...
overdrive.in
RDP - CredSSP Encryption Oracle Remediation Solution 2020 - Yeah Hub
yeahhub.com
GREATER KAILASH M BLOCK (2025) All You Need to Know BEFORE You Go (with ...
tripadvisor.in
TERMINAL PLATE FOR MOTOR – Machinery & Spareparts Centre
shop.msckolkata.com
Describe the oxidising action of potassium dichromate - CBSE Class 12 ...
ask.learncbse.in
Bapatla Engineering College
becbapatla.ac.in
Magnetic V Blocks - V Blocks (Ultra Hardened) Trader - Retailer from Mumbai
jaybeeenterprises.in
MSC Seashore Itinerary, Current Position, Ship Review | CruiseMapper
cruisemapper.com
Collections – DEADBEAR INDIA
deadbear.in
Modulator® Speaker Array MOD Series - FEDERAL SIGNAL - PDF Catalogs ...
pdf.directindustry.com
Collections – DEADBEAR INDIA
deadbear.in
Programmable Controlled COD Digester - COD Reactor / Digester ...
vihaantechno.co.in
How Much Does EPDM Roofing Cost? [2025 Data] | Angi
angi.com
MSC Ocean Cay (Bahamas private island) cruise port schedule | CruiseMapper
cruisemapper.com
Facilities At Permanent Campus | IISER Thiruvananthapuram, MoE, Govt ...
iisertvm.ac.in
What is the difference between Angiography and Angioplasty | Sprint Medical
sprintmedical.in
Collections – DEADBEAR INDIA
deadbear.in
Maruti dealers and showrooms in Ahmedabad | Kiran Maruti
kiranmotors.co.in
UNIVERSITY OF KENT - KEYNES COLLEGE (Canterbury) - Lodge Reviews ...
tripadvisor.in
Printable Letter R Outline - Print Bubble Letter R | Printable letters ...
za.pinterest.com
45 passengers test positive for COVID on MSC Grandiosa in Genoa (Italy ...
cruisemapper.com
Call of Duty: Warzone: 5 Most Famous Operators & Their Real Life ...
mensxp.com
Block Craft 3D:Building Game | Download and play on PC – Google Play Store
play.google.com
Collections – DEADBEAR INDIA
deadbear.in
Collections – DEADBEAR INDIA
deadbear.in
Narendra Modi Stadium, Ahmedabad Pitch Report | TheTopBookies
thetopbookies.com
This is an example title - edit by clicking here
gurugamer.com
Collections – DEADBEAR INDIA
deadbear.in
RDP - CredSSP Encryption Oracle Remediation Solution 2020 - Yeah Hub
yeahhub.com
Codul poștal al localității Sibiu, jud. Sibiu - Codurile poștale din ...
coduripostale.net
Collections – DEADBEAR INDIA
deadbear.in
6 Must Visit Islands in The US - lifeberrys.com
lifeberrys.com
Collections – DEADBEAR INDIA
deadbear.in
Report Card for Grade RR
twinkl.co.in
E-Cod Omega Capsule 30's Price, Uses, Side Effects, Composition ...
apollopharmacy.in
Fire on AIDA Ship at Shipyard | Cruise News | CruiseMapper
cruisemapper.com
Swaraj Rwa Khirki Extension Block R Malviya Nagar Rent - WITHOUT ...
nobroker.in
Collections – DEADBEAR INDIA
deadbear.in
Collections – DEADBEAR INDIA
deadbear.in
Collections – DEADBEAR INDIA
deadbear.in
Collections – DEADBEAR INDIA
deadbear.in
Collections – DEADBEAR INDIA
deadbear.in
Ahmedabad IPL Tickets Price, Narendra Modi Stadium IPL Ticket Price
ipltickets.in
Collections – DEADBEAR INDIA
deadbear.in
AK Clinics - Best Hair Transplant in Delhi - Hair Transplant & Skin ...
yappe.in
Rajiv Gandhi Centre for Biotechnology (RGCB)
rgcb.res.in
Block Puzzle Classic - Block Puzzle Game free:Amazon.in:Appstore for ...
amazon.in
MSC Embroidered NY BLACK HIP HOP CAP FOR MEN Cap - Buy MSC Embroidered ...
flipkart.com
Collections – DEADBEAR INDIA
deadbear.in
On R K Narayan's birth anniversary, let's thank him for these 4 things ...
indiatoday.intoday.in
Collections – DEADBEAR INDIA
deadbear.in
Alagappa Government Arts College Karaikudi
agacollege.in
Related Searches
Cod Block Icon MC
MSC Cod
Mlsc Block
MSC Shaped Cod
Cod Mince MSC
MSC Cod Skin
Minecraft Block of Cod
Black Cod Fillet
Block Cod 4
Cod Bloc
Pier7 MSC Cod Fillets
Cod Bloc Map
MSC Blocks
Cod MC Item
Pier7 MSC Mini Battered Cod
MSC Cod Dog and Chips
MSMC Cod
CodeBlocks IDE
MSC Cod Fish Skin
Airport Code MSC
Black Cod Hgt
MSC VMI Setup
Fresh MSC Veracruz Cod
AC Blocker Cod
MSC Certified Cod Fillet
Blocked Cod
MSC Code On Can
Pier7 MSC Small Battered Cod
Pier7 MSC Medium Breaded Cod
MSC Code On Retail Can
Ops Premium Block
MSC Natural Cod Lions 5Kg
Codm MSMC
MSC Figurine Din Cod Lidl
Army Code MSC
Cod AGR Toy
Cod Nape Blocks
Just for You MSMC Draw Codm
Tract vs Block
MSC Katsu Cod Fish Cocktail
MSC Diagram Flow
Codm MSMC Diamond
MSC Adams Controls Block Example
Booker Chefs Larder MSC Cod Fillets
MSC Action Diagram
MSC Whitefish Piece Block
Atlantic Cod Portions MSC
Offshore MCS Block Diagram
Minecraft Cod Block
Bloc Cod 4
Search
×
Search
Loading...
No suggestions found