Find Your Style
Women
Men
Accessories
Search for clothing, brands, styles...
×
Women
Men
Accessories
Myco Kansii
Search
Loading...
No suggestions found
Anand Kamalnayan Pandit — INR 8,660 Cr (Sri Lotus Developers & Realty ...
economictimes.indiatimes.com
Anand Kamalnayan Pandit — INR 8,660 Cr (Sri Lotus Developers & Realty ...
economictimes.indiatimes.com
Anand Kamalnayan Pandit — INR 8,660 Cr (Sri Lotus Developers & Realty ...
economictimes.indiatimes.com
INR Full Form: What is full form of INR?
bankersadda.com
Anand Kamalnayan Pandit — INR 8,660 Cr (Sri Lotus Developers & Realty ...
economictimes.indiatimes.com
RBI Allows Overseas Banks to Open INR Accounts
currentaffairs.adda247.com
Anand Kamalnayan Pandit — INR 8,660 Cr (Sri Lotus Developers & Realty ...
economictimes.indiatimes.com
Best whiskey under INR 1500 for a pocket-friendly drinking experience
lifestyleasia.com
Ugro Capital Crosses Inr 10000 crore aum milestone launches 10k ...
psuconnect.in
BTC to INR Converter, Convert Bitcoin to INR Exchange 2022 ...
cryptocurrency-exchange.us.com
Tom Cruise's anti-ageing 'poop' facial costs INR 14,000 per sitting ...
timesofindia.indiatimes.com
minr to inr conversion calculator: Latest News & Videos, Photos about ...
economictimes.indiatimes.com
Value 360 announces it closed Q1 2024-25 with INR 10… | PRmoment.in
prmoment.in
INR Coagulation Manager - Reviews, Revenue and Downloads - Apple App ...
apptail.io
BTC to INR Converter, Convert Bitcoin to INR Exchange 2022 ...
cryptocurrency-exchange.us.com
Best Women Watches Under INR 15K | LBB
lbb.in
Bitgert price today, BRISE to INR live price, marketcap and chart ...
suncrypto.in
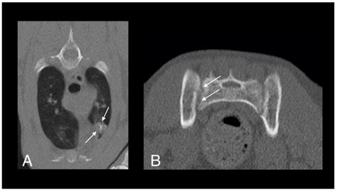
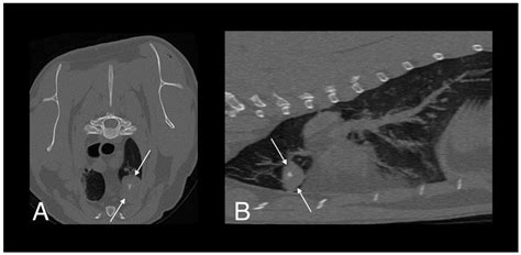
Systemic Mycobacterium kansasii Infection in Two Related Cats
mdpi.com
Systemic Mycobacterium kansasii Infection in Two Related Cats
mdpi.com
Systemic Mycobacterium kansasii Infection in Two Related Cats
mdpi.com
Systemic Mycobacterium kansasii Infection in Two Related Cats
mdpi.com
Systemic Mycobacterium kansasii Infection in Two Related Cats
mdpi.com
Systemic Mycobacterium kansasii Infection in Two Related Cats
mdpi.com
Molecular Characterisation of M. kansasii Isolates by Whole-Genome ...
mdpi.com
Systemic Mycobacterium kansasii Infection in Two Related Cats
mdpi.com
Anticoagulation in Acute Pulmonary Embolism: Which Drug? How Long ...
universimed.com
Online Invoice Generator | Create a Bill - Wise
wise.com
How Indian Rupee Stands Against Other Major Currencies
indiatimes.com
1 million dong in indian rupees - Brainly.in
brainly.in
India shining: Rupee inches closer to becoming international currency ...
timesnownews.com
Uses and SideEffects of Warfarin: What You Need to Know
medicoverhospitals.in
International Trade Settlement in Indian Rupee (INR)
taxguru.in
Mycobacterium Kansasii: Causes, Symptoms And Treatment
medicoverhospitals.in
Buy Myco Bliss - Mycorrhizal Inoculant for s - 5 Superior Strains ...
desertcart.in
Gold Necklace Set for Women | Buy Gold Necklace Set Online India ...
manubhai.in
Gold Necklace Set for Women | Buy Gold Necklace Set Online India ...
manubhai.in
India and Malaysia can now trade in Indian rupee
currentaffairs.adda247.com
Coagulation Analyzer - Micropoint Q3 Pro Electrometer PT-INR Trader ...
r2healthcare.in
How Warfarin Is Synthesized and Key Insights
medicoverhospitals.in
USD/INR Cracks Big: Falls 2% in 4 Days! | Investing.com India
in.investing.com
Currency Today: Euro Finds Footing, Dollar Whipsaws, Rupee Tanks | India
btcc.com
Gold Necklace Set with Price | Buy Gold Necklace Set Online
manubhai.in
Buy Antique Set Online | Antique Set by Manubhai.
manubhai.in
Buy Antique Set Online | Antique Set by Manubhai.
manubhai.in
Buy Gold Ring Online | Gold Ring by Manubhai.
manubhai.in
Buy Gold Set Online | Gold Set by Manubhai.
manubhai.in
Buy Real Diamond Set Online | Real Diamond Set by Manubhai.
manubhai.in
single malts Archives | Travel and Leisure Asia | India
travelandleisureasia.com
4oz 4x Mycorrhizae For Plants Mycorrhizal Inoculant Root Enhancer ...
desertcart.in
Franchise
tamilpaal.in
usd-inr: Why US dollar has consistently risen against rupee for 15 ...
economictimes.indiatimes.com
Mechanisms and Management of Thyroid Disease and Atrial Fibrillation ...
mdpi.com
Buy Gold Earrings Online | Gold Earrings by Manubhai.
manubhai.in
Buy Gold Set Online | Gold Set by Manubhai.
manubhai.in
USD/INR at Record High! Why RBI is Failing to Curb the Rupee’s Fall ...
in.investing.com
Buy 2 Pack MycoNuker - Myco Nuker Anti-Fungal Dietary Supplement 120 ...
ubuy.co.in
Buy Gold Earrings Online | Gold Earrings by Manubhai.
manubhai.in
Diamond Necklace Designs | Buy Diamond Necklace Set Online at Best ...
manubhai.in
Collections
svbventures.in
Local beers that capture the spirit of Goa | Lifestyle Asia India
lifestyleasia.com
Buy Antique Set Online | Antique Set by Manubhai.
manubhai.in
Light Weight & Daily Wear Gold Necklace Set Designs (2025) | Buy Gold ...
manubhai.in
Diamond Necklace Designs | Buy Diamond Necklace Set Online at Best ...
manubhai.in
Diamond Necklace Designs | Buy Diamond Necklace Set Online at Best ...
manubhai.in
Tatcha Indigo Overnight Repair: Benefits & Full Review - Epicfashion
epicfashion.in
Sri Lanka and Russia in talks to use the rupee in foreign trade
currentaffairs.adda247.com
MGT-6 Form Filing Process and Key Requirements
taxguru.in
Rupee likely to go to 81 82 to the US dollar, or even higher. Here’s ...
businesstoday.in
Mumbai Indians: 5 players MI can release ahead of IPL 2026 auction ...
crickettimes.com
Buy Antique Set Online | Antique Set by Manubhai.
manubhai.in
International Trade Settlement in Indian Rupee (INR)
taxguru.in
Wedding Gold & Diamond Jewellery set with Price | Buy Bridal Gold ...
manubhai.in
Call for Reservation
apps.roseatehotels.com
Buy Absolute Anticoagulant Journal: A Comprehensive logbook for ...
desertcart.in
Wen Price | WEN to USD Converter, Chart and News
binance.com
Gold Necklace Set with Price | Buy Gold Necklace Set Online
manubhai.in
New alcohol launches by Indian brands in 2025 | Lifestyle Asia India
lifestyleasia.com
Did You Know About India's Rs 10,000 Rupee Note
indiatimes.com
Manubhai Jewellers | Gold & Diamond Jewellers in Borivali, Mumbai
manubhai.in
Ayat Silver Nosepins
wizzowl.com
The Essential Vitamin K Foods Lists for Warfarin Users: With More Than ...
amazon.in
Thyrocare Founder Partners With YEA and Magnifiq Capital Trust to ...
businessoutreach.in
Buy 4 Chain Detailed Leaf Pendant Desiged Gold Necklace Set Online | 4 ...
manubhai.in
**Page Title:** "Top 10 Saree Trends Every Woman Must Know in 2024 ...
sanjarcreation.com
8 Obat Stroke yang Efektif dan Tersedia di Apotik - Alodokter
alodokter.com
International Trade Settlement in Indian Rupee (INR)
taxguru.in
Latest Car & Bike News & Reviews | BBC Topgear India Magazine
topgearmag.in
Contact – valientecaps
valientecaps.com
Buy Gold Bangles Online India with Latest Designs - Manubhai Jewellers
manubhai.in
India Tourism
traveltrendstoday.in
Did You Know About India's Rs 10,000 Rupee Note
indiatimes.com
Warfarin: View Uses, Side Effects and Medicines
truemeds.in
Contact – valientecaps
valientecaps.com
Manubhai Jewellers | Gold & Diamond Jewellers in Borivali, Mumbai
manubhai.in
Buy Antique Ring Online | Antique Ring by Manubhai.
manubhai.in
RBI’s short USD/INR forward book remains stable- analysis By Investing.com
in.investing.com
Thalapathy Vijay net worth: Movie fee, properties & other luxury assets
lifestyleasia.com
Hairstyle & Haircare for Men 2023 | Best Men's Haircuts 2023 | Hair ...
mensxp.com
Stand out navy blue corset top – Kostume County
kostumecounty.com
Back To Black: | Grazia India
grazia.co.in
logo_1200_x_628_px.jpg?v=1720118200
artrise.in
Warfarin Impurity 1 | CAS No- 2514748-07-1 | Simson Pharma Limited
simsonpharma.com
COOPERINU to INR: cooper inu Price in Indian Rupee | CoinGecko
coingecko.com
Permanent Magnets Ltd
pmlindia.com
Indonesian Rupiah - Buy IDR Currency Online in India
makemytrip.com
10-Hydroxy Warfarin | CAS No- 83219-99-2 | Simson Pharma Limited
simsonpharma.com
Hurun India 2025: 10 billionaire Indians who entered the rich list this ...
economictimes.indiatimes.com
Sell BTC for USD | BTC to USD Calculator
binance.com
Buy online Doctor Lab coats | Women Doctors Lab Coats - Uniformtailor
uniformtailor.in
Warfarin R-Isomer | CAS No- 5543-58-8 | NA
chemicea.com
myco - Live sports, TV, Films – Apps on Google Play
play.google.com
Watch Khelna Bari TV Serial 27th October 2022 Full Episode 163 Online ...
zee5.com
'The Buckingham Murders' movie ending explained | Lifestyle Asia India
lifestyleasia.com
Taxila Business School Placements 2025 | Highest & Average Package
taxila.in
All you need to know about Mukesh Ambani's sister, Nina Kothari
lifestyleasia.com
'Crazxy' ending explained: Will Abhimanyu get out of the ethical trap?
lifestyleasia.com
Jackie Shroff net worth: A look at the Apna Bhidu's cars, houses and more
lifestyleasia.com
Plus Size Suit Sets
amydus.com
Latest News and Updates for Kolkata Knight Riders | Cricket Times
crickettimes.com
Run Jump - Mocap.in
mocap.in
Related Searches
Mycobacterium Kansasii
Mycobacterium Lymphadenitis
Mycobacterium Pneumonia
Mycobacterium Gordonae
Mycobacteria Infection
Mycobacteria Gram Stain
Mycobacterium Abscess
Mycobacterium Tuberculosis Acid-Fast Stain
Mycobacterium Skin Infection
Nontuberculous Mycobacteria
Kansasii Bacteria
M. Kansasii Gram Stain
Mycobacterium Strains
Kinyoun Mycobacteria
Microbacterium Skin
Mycobacterium Necrosis
Mycobacterium Lung Infection
Mycobacterium Disseminated Infections
Mycobacterium Tuberculosis Morphology
Atypical Mycobacteria Kansasii
Mycobacterium Tuberculosis Culture
Kansasii Agar
Mycobacterium Kansai
Mycobacterium Kansasii Isolation
Mycobacterium Cat
Positive Acid-Fast Stain
Cutaneous Mycobacterium
Mycobacterium Kansasii Drawing
Mycobacterium Kansasii Endemic
Photochromogenic
Mycobacterium Kansasii Canva
Feline Mycobacteria
Kansai Wallpaper
Where Is Mycobacterium Found
Mycobacterial Infection Cat
NTM Nontuberculous Mycobacteria
Mycobacterium Kansasii Sketch
Mycobacterium Kansasii Grow
Mycobacterium Kansasii 7H11
Mycobacterium Cartoon
Mycobacterium Kansasii Structure
Mycobacterium Kansasii Hstology
Mycobacterium Kansasii Endemic Map
Mycobacterium Kansasii Legs
Mycobacterium Kansasii Middlebrook
Japan Kansai Festive
Mycobacterium Cavitary
Mycobacterium Immunogenum Treatment
Mycobacterium Avium Colony
Mycobacterium Kansasii AFB Stain
Search
×
Search
Loading...
No suggestions found