Find Your Style
Women
Men
Accessories
Search for clothing, brands, styles...
×
Women
Men
Accessories
Orif Ulna
Search
Loading...
No suggestions found
Open Reduction Internal Fixation (ORIF): Procedure, Recovery & Cost
medicoverhospitals.in
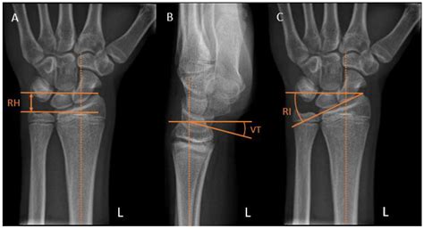
Radiographic Analysis in Extra-Articular and Intra-Articular Distal ...
mdpi.com
Arthroscopic Reduction and Fixation of Coronoid Fractures with Bending ...
mdpi.com
Indications and Timing of Guided Growth Techniques for Pediatric Upper ...
mdpi.com
Ortho - Orif (Open Revision Internal Fixation) Workbook (Compatible ...
flipkart.com
Orif Office Photos
glassdoor.co.in
Indications and Timing of Guided Growth Techniques for Pediatric Upper ...
mdpi.com
Indications and Timing of Guided Growth Techniques for Pediatric Upper ...
mdpi.com
Accuracy of 3D Corrective Osteotomy for Pediatric Malunited Both-Bone ...
mdpi.com
Accuracy of 3D Corrective Osteotomy for Pediatric Malunited Both-Bone ...
mdpi.com
Indications and Timing of Guided Growth Techniques for Pediatric Upper ...
mdpi.com
Skeleton - DIAGRAM - cranium mandible scapula rib clavicle sternum ...
studocu.com
Arthrex Internal Brace viable option for open reduction and internal ...
medicaldialogues.in
Concomitant Ulnar Styloid Fractures can be left untreated while ...
medicaldialogues.in
Braceability Posterior Long Arm Splint Elbow Immobilizer Right Or Left ...
desertcart.in
ESTINK Elbow Immobilizer,Cubital Tunnel | Ubuy India
ubuy.co.in
12238947 Nursing Care Plan for patients with fracture - NURSING CARE ...
studocu.com
Hook plate osteosynthesis allows for strong fixation in ulna head ...
medicaldialogues.in
⚡️Buy Maxbell Hi Lo Welding Gauge Precise Ulnar Internal Inspection ...
aladdinshoppers.com
Dr. G N Bandari
hyderabadhandcare.com
FLAWISH Hi Lo Welding Gauge Precise Ulnar Internal Inspection ...
amazon.in
Buy JOMECA Wrist Brace for TFCC Tears, Wrist Band with Ring Pad for ...
amazon.in
Reducing Flanges
petrovisionllc.com
To evaluate the outcome of fracture supracondylar humerus managed with ...
ijos.co.in
Buy BraceAbility Ulnar Gutter Splint - Hand Support Brace for ...
amazon.in
⚡️Buy Maxbell Hi Lo Welding Gauge Precise Ulnar Internal Inspection ...
aladdinshoppers.com
ATORSE® Hi Lo Welding Gauge Precise Ulnar Internal Inspection ...
amazon.in
Buy perfk Hi Lo Welding Gauge Precise Ulnar Internal Inspection ...
desertcart.in
Buy RIVERWELD Hi Lo Welding Gauge Gage Test Ulnar Welder Inspection ...
desertcart.in
CALANDIS® Hi Lo Welding Gauge Precise Ulnar Internal Inspection ...
amazon.in
Fillable Online Post-Operative Instructions Open Elbow Surgery, Ulnar ...
pdffiller.com
Buy SRFDD Test Ulnar Welder Inspection,Welding Gauge Gage Test Ulnar ...
desertcart.in
patient information
joshihospital.co.in
US Military To Deploy Navy Ships, USS Gerald R Ford Closer To Israel To ...
timesnownews.com
Buy Fillet Welding Inspection Gauge Set, Weld Measuring Inspection Test ...
desertcart.in
Delaying surgery after distal radius fracture increases risk of chronic ...
medicaldialogues.in
Top five best-selling cars in February 2024 - Overdrive
overdrive.in
Maruti Wagon R On Road Price in Ahmedabad, Navsari, Vadodara, Vapi ...
maruti.kataria.co.in
Gulnar Fruit Stand
goodearth.in
Maruti New WagonR Colours in India 2026 - New WagonR Color Images
autovista.in
Gulnar Fruit Stand
goodearth.in
Hero Honda Karizma R - JungleKey.in Image
junglekey.in
Gulnar Fruit Stand
goodearth.in
Related Searches
Post Ulna Orif
Orif Ulna Surgery
Ulna Fracture Orif
Orif Radius/Ulna
Distal Ulna Orif
Orif Humerus
CPT Orif Proximal Ulna
Orif Left Ulna
Ulna Orif Plate
Ulna Shaft Orif
Olecranon Orif
Distal Ulna Dislocation
Radius/Ulna Plating
Right Ankle Orif
Orif Ulna Scar
Coronoid Process Ulna Fracture
Ao Ulna Orif
Monteggia Orif
Orif Hip Fracture
Distal Radius Fracture Wrist
Orif X-rays
Glenoid Orif
Orif Rib Plating
Radial Ulna Fracture Orif
Proximal Ulnar Orif
Ulna Bone Fracture
Broken Ulna
Orif Plating Tibia
Ulna Orif Plate Placement
Radius and Ulna X-ray
Orif Hand
Orif Pinning Radius/Ulna
L Femur Orif
Ulna ORIF with Icbg
Radial Head Elbow
Ulnar Styloid Fracture Treatment
Ulnar Shortening
Orif Forearm
Orif Ulna Holes in Skin
Orif Fracture X-ray
Distal Ulna Orif Headless Screw
Galeazzi Monteggia Fracture
Orif Knee Surgery
MidShaft Radius Fracture
Both Bone Forearm Fracture
Sternal Orif
Orif Arm
Px Ulna Fracture Orif
Radius Diaphyseal Fracture
Orif Open Reduction Internal Fixation
Search
×
Search
Loading...
No suggestions found