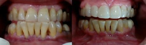
Periodontitis Infection
Comprehensive Dental Services: Root Canal Treatment, Cosmetic Dentistry ...
elitedentalclinics.co.in
Comprehensive Dental Services: Root Canal Treatment, Cosmetic Dentistry ...
elitedentalclinics.co.in