Find Your Style
Women
Men
Accessories
Search for clothing, brands, styles...
×
Women
Men
Accessories
Systemic Infection Pictures
Search
Loading...
No suggestions found
SARS-CoV-2 Systemic Effects: New Clues
mdpi.com
Role of IL-10-Producing Natural Killer Cells in the Regulatory ...
mdpi.com
Role of IL-10-Producing Natural Killer Cells in the Regulatory ...
mdpi.com
Virus Infection and Systemic Inflammation: Lessons Learnt from COVID-19 ...
mdpi.com
Role of IL-10-Producing Natural Killer Cells in the Regulatory ...
mdpi.com
Role of IL-10-Producing Natural Killer Cells in the Regulatory ...
mdpi.com
Buy Systemic Fungal Infections: Principles, Pathogenesis & Practice ...
amazon.in
Skin and Systemic Infections in Children with Atopic Dermatitis
medtalks.in
Role of IL-10-Producing Natural Killer Cells in the Regulatory ...
mdpi.com
Buy Infection and Systemic Lupus Erythematosus Book Online at Low ...
amazon.in
Increased Susceptibility for Thromboembolic Events versus High Bleeding ...
mdpi.com
Role of IL-10-Producing Natural Killer Cells in the Regulatory ...
mdpi.com
Actinobacteria as Effective Biocontrol Agents against Plant Pathogens ...
mdpi.com
Preparing for Pregnancy in Women with Systemic Lupus Erythematosus—A ...
mdpi.com
UTIs in Men: Causes, Symptoms & Treatment Guide
medicoverhospitals.in
Periodontitis and Its Inflammatory Changes Linked to Various Systemic ...
mdpi.com
Therapeutic Options for Systemic Sclerosis: Current and Future ...
mdpi.com
रोग प्रतिरोधक शक्ति, बीमारी और संक्रमण - टुगेदर by St. Jude
together.stjude.org
Global Systemic Infection Therapy Market 2019 Insights, Analysis and ...
teletype.in
Mechanisms and Management of Thyroid Disease and Atrial Fibrillation ...
mdpi.com
Raynaud’s Disease: Types, Symptoms, Diagnosis, & Treatment
artemishospitals.com
Basic Susceptibility of Patients with Psoriasis under Systemic Therapy ...
mdpi.com
Microbiology Important Topics for Blood Stream and Systemic Infections ...
studocu.com
Maladies auto-immunes : types, symptômes, causes et traitement
medicoverhospitals.in
Candida Albicans: Infections, Symptoms and Treatments
blissnatural.in
Buy Fungal Infect Set 2 – Systematic Fu: Part 2 (Slide Atlas of Fungal ...
amazon.in
Emerging Trends in the Use of Topical Antifungal-Corticosteroid ...
mdpi.com
Pediatric Mcq Quiz | Pediatric Oncall
pediatriconcall.com
Buy Oral Infections and Systemic Diseases: Scientific Evidence from an ...
amazon.in
A Systemic review of Effectiveness of Antibiotic Treatments for Sepsis ...
medtalks.in
Livestock farming is a crucible for zoonotic disease; here is how
downtoearth.org.in
Active systemic lupus erythematosus patients more susceptible to ...
medicaldialogues.in
Fungal infections are a global health risks: WHO - GS SCORE
iasscore.in
Textbook of Pediatric Infectious Diseases - Indian books and Periodicals
ibpbooks.in
Ringworm Unveiled: Diagnosis and Effective Treatment Explained | Clinikally
clinikally.com
Role Of Systemic Antibiotics in Managing Infection Related to Oro ...
medicaldialogues.in
Local Anesthetic Systemic Toxicity Following Inadvertent Intravenous ...
mdpi.com
TNAU Agritech Portal :: Crop Protection
agritech.tnau.ac.in
How to value your business during COVID times?
taxguru.in
Clonus: Causes, Diagnosis, and Treatment
jrsh.co.in
Systemic Therapy Is Associated with Improved Oncologic Outcomes in ...
mdpi.com
Buy Trebinase 320,000 FU's Per Capsule Advanced Systemic Enzyme Blend ...
ubuy.co.in
The Virus-Induced Transcription Factor SHE1 Interacts with and ...
mdpi.com
A Systemic Review of Maternal Infections and Schizophrenia : Amazon.in ...
amazon.in
Analyzing the Role of Levofloxacin in Urinary Tract Infections-A review
medicaldialogues.in
Aspergillosis Fungal Infection – GKToday
gktoday.in
MOXYTEC DRY SYRUP
jantecpharma.in
Pathogenesis and Antifungal Drug Resistance of the Human Fungal ...
mdpi.com
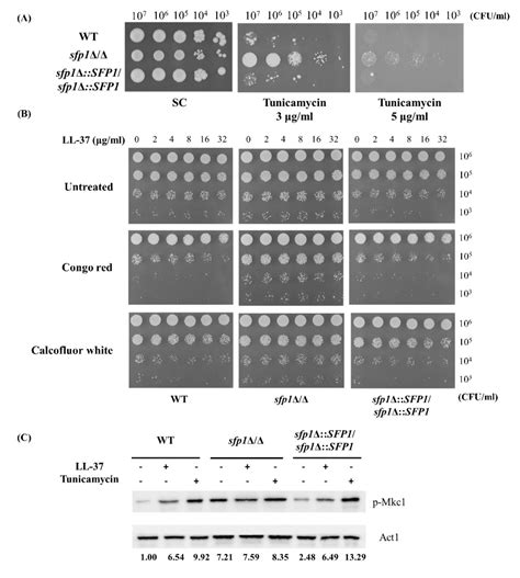
Candida albicans Sfp1 Is Involved in the Cell Wall and Endoplasmic ...
mdpi.com
Buy Systemic Sclerosis Book Online at Low Prices in India | Systemic ...
amazon.in
Diagnosis And Management Of Tinea Infections AAFP, 45% OFF
elevate.in
Thermal Imaging of Tongue Surface as a Prognostic Method in the ...
mdpi.com
Symptoms of Blastomycosis (Gilchrist\'s disease)
pharmeasy.in
Know About Blood Infections - Types, Signs, Symptoms & Treatment | MrMed
mrmed.in
Mumbai Doctors report surge in fungal infections
medicaldialogues.in
Foods To Eat And Foods To Avoid For Preventing Respiratory Infections ...
mrmed.in
Infections respiratoires : causes, symptômes et traitement
medicoverhospitals.in
Health Connect Pvt. Ltd.
connecthealth.co.in
Molecular Pathophysiological Mechanisms in Huntington’s Disease
mdpi.com
Leading Services for Severe Infection Management in Hyderabad
medicoverhospitals.in
Oral ulcers: causes and treatment
msn.com
Systemic Lupus Erythematosus (SLE) - A Quick Guide – WFP Store
store.whitefalconpublishing.com
The Key Roles of Interferon Lambda in Human Molecular Defense against ...
mdpi.com
Table 3. Antifungal drugs
archive.nptel.ac.in
Table 4. Antiviral Drugs
archive.nptel.ac.in
Sexually Transmitted Disease (STD) -Types, Symptoms, Treatment
medicoverhospitals.in
Sepsis Symptoms, Causes, Diagnosis & Treatment
medicoverhospitals.in
Buy Monographs in Contact Allergy, Volume 4: Systemic Drugs Book Online ...
amazon.in
Lupus: Symptoms, Causes, Diagnosis and Treatment
medicoverhospitals.in
Influenza Virus Infections and Cellular Kinases
mdpi.com
Buy Mast Cell Activation Syndrome Explained: The Step by Step Guide on ...
desertcart.in
Invasive Fungal Breakthrough Infections under Targeted Echinocandin ...
mdpi.com
Chronic constipation enhances urinary tract infection in children ...
pediatriconcall.com
BDIPS - Bapubhai Desaibhai Patel Institute of Paramedical Sciences
charusat.ac.in
Buy LUPUS: Systemic Lupus Erythematosus: Symptoms. Types. Causes. Diet ...
desertcart.in
sepsis cow – Goel Vet Pharma
goelvetpharma.com
Celiac Disease: Symptoms, Causes, Treatment & Diagnosis
medicoverhospitals.in
Kidney Infection Symptoms, Causes and Treatment
medicoverhospitals.in
Infant Fungal Rashes: Causes, Symptoms, and Treatment Tips
medicoverhospitals.in
Kidney Infection Symptoms, Causes and Treatment
medicoverhospitals.in
How To Treat Fungal Infections At Home | OnlyMyHealth
onlymyhealth.com
Kaposi Sarcoma and other skin infections caused if HIV is left ...
timesofindia.indiatimes.com
BDIAS - Bapubhai Desaibhai Patel Institute of Allied and Healthcare ...
charusat.ac.in
Symptoms of Mucormycosis (Black Fungus)
pharmeasy.in
Airborne Diseases: Types, Symptoms, Risk, Treatment & Prevention
godigit.com
Buy Bayer Confidor – Imidacloprid 17.8% SL Insecticide for Pest Control ...
kisanshop.in
Epigenome Analysis for Advanced Research | MedGenome Labs
diagnostics.medgenome.com
Dual Infection of Hepatitis A Virus and Hepatitis E Virus— What Is Known?
mdpi.com
Resveratrol Role in Autoimmune Disease—A Mini-Review
mdpi.com
How Does Systemic Design Facilitate the Sustainability Transition of ...
mdpi.com
Neck Infection: Symptoms, Causes and Treatment
medicoverhospitals.in
Buy ORIGINAL FungiCure Anti-fungal Nail Treatment Fungal Infection ...
ubuy.co.in
Difference between pulmonary and systemic circuit - Brainly.in
brainly.in
D-Dimer Test: Normal Range, Causes and Elevated Results
bajajfinservhealth.in
Vaginal Yeast Infection: Definition, Causes and Symptoms
bajajfinservhealth.in
Buy Crystal Dursban Chlorpyriphos 20%EC: Effective Broad-Spectrum ...
kisanshop.in
Albendazole Suspension - S V Healthcare
svhealthcare.in
DIY Cosmetic Injections: Risks and Safety Tips Before You Try | Clinikally
clinikally.com
Congress demands JPC probe into alleged Adani mega scam, claims of ...
indiatodayne.in
Common Eye Infections During The Monsoon And How To Prevent Them ...
thehealthsite.com
distinguish between infectious and non-infectious disease - Brainly.in
brainly.in
General Anatomy with Systemic Anatomy, Radiological Anatomy, Medical ...
shop.exam360.in
Buy Serra-RX 80,000 SPU Serrapeptase - Limited TIME Offer - Enteric ...
ubuy.co.in
Strep Throat Symptoms, Causes and Treatment
medicoverhospitals.in
Parkinson's Disease: Causes, Symptoms, Stages & Treatment
medicoverhospitals.in
Monsoon For Kids? 3 Tips To Prevent Monsoon Infections
adityabirlacapital.com
COPD: Symptoms, Causes, Risk, Diagnosis and Treatment
medicoverhospitals.in
Percutaneous Transhepatic Biliary Drainage (Ptbd)
interventionalradiologyindia.com
Best Home Remedies & Treatment For Fungal Infection | Femina.in
femina.in
Infections: Causes, Symptoms and Treatment
medicoverhospitals.in
Histoplasma capsulatum Isolated from Tadarida brasiliensis Bats ...
mdpi.com
India's Leading Online Shopping Store in Mumbai for Top International ...
ubuy.co.in
Identify A to E in the given diagram and choose the correct option ...
tardigrade.in
Genetic testing companies can help achieve ICMR’s call for developing ...
diagnostics.medgenome.com
Battlegrounds Mobile India brings new winter update - Virus Infection ...
techradar.com
Genetic Testing for Women: Understanding disease risks and the ...
diagnostics.medgenome.com
MedGenome Labs makes strides in Rare Disease diagnosis with launch of ...
diagnostics.medgenome.com
BDIAS - Bapubhai Desaibhai Patel Institute of Allied and Healthcare ...
charusat.ac.in
Zifi-O Tablet | Uses, Side Effects, Price | Apollo Pharmacy
apollopharmacy.in
When to consider the Carrier Screening Test and why it is important for ...
diagnostics.medgenome.com
Related Searches
Systemic Yeast Infection
Localized Infection
Bacterial Infection Treatment
Systemic Disease
Systemic Ringworm
HIV Virus Cell
Candidiasis Infection
Systemic Illness
Systemic Radiation
Focal Infection
Systemic Disease Symptoms
Fungal Infection Types
Fungal Blood Infection Symptoms
Systemic Abuse
Urinary Tract Infection Pain
Systemic Signs of Infection
Human Fungal Infections
Systemic Lupus
Upper Respiratory Infection Symptoms
Types of Infection Control
Viral Infection Rash Symptoms
Uterine Infection
Staphylococcus Infection
Severe Bacterial Infection
Systemic Conditions
Sepsis Infection
Subcutaneous Fungal Infection
Bone Infection
Local vs Systemic Infection
Chronic Viral Infection
Sepsis Organ Failure
Mass Infection
Gonorrhea Eye Infection
Chain of Infection Diagram
Systemic Infection Examples
Systemic Candida
Chronic Inflammation Symptoms
Systemic Infection in Foot
Congenital CMV Infection
Systemic Skin Fungal Infection
Wound Infection Antibiotics
Sepsis Diabetes
Systemic Surgical Wound Infection
Soft Tissue Infection
Salmonella Infection
Tuberculosis Infection
Sinus Infection and Tooth Pain
4 Stages of Sepsis
Septicemia
Histoplasma Capsulatum Fungus
Search
×
Search
Loading...
No suggestions found