Find Your Style
Women
Men
Accessories
Search for clothing, brands, styles...
×
Women
Men
Accessories
Systemic Inflammatory Response
Search
Loading...
No suggestions found
Neutrophils and the Systemic Inflammatory Response Syndrome (SIRS)
mdpi.com
Neutrophils and the Systemic Inflammatory Response Syndrome (SIRS)
mdpi.com
Neutrophils and the Systemic Inflammatory Response Syndrome (SIRS)
mdpi.com
Cells | Special Issue : The Maladaptive Immune Response in Innate and ...
mdpi.com
Neutrophils and the Systemic Inflammatory Response Syndrome (SIRS)
mdpi.com
Investigation of the Associations of Novel Inflammatory Biomarkers ...
mdpi.com
Investigation of the Associations of Novel Inflammatory Biomarkers ...
mdpi.com
Investigation of the Associations of Novel Inflammatory Biomarkers ...
mdpi.com
Investigation of the Associations of Novel Inflammatory Biomarkers ...
mdpi.com
Systemic Inflammatory Response Syndrome Treatment Market Scope, Size ...
linkedin.com
Investigation of the Associations of Novel Inflammatory Biomarkers ...
mdpi.com
Mechanisms of Transmission and Processing of Pain: A Narrative Review
mdpi.com
Performance Comparison of Systemic Inflammatory Response Syndrome with ...
mdpi.com
Gases in Sepsis: Novel Mediators and Therapeutic Targets
mdpi.com
Role of Microglia and Astrocytes in Alzheimer’s Disease: From ...
mdpi.com
Treatment of Severe Swallowing Dysfunction in Systemic Sclerosis with ...
mdpi.com
Meta-Inflammation and New Anti-Diabetic Drugs: A New Chance to Knock ...
mdpi.com
An Introduction to Antibodies: Antigens, Epitopes and Antibodies
sigmaaldrich.com
Systemic Sclerosis: From Pathophysiology to Novel Therapeutic Approaches
mdpi.com
Performance Comparison of Systemic Inflammatory Response Syndrome with ...
mdpi.com
Diabetic Foot Infection Presenting Systemic Inflammatory Response ...
mdpi.com
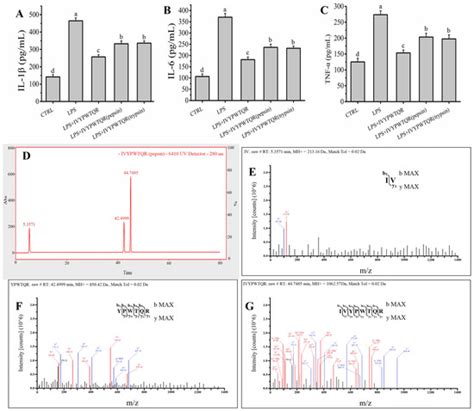
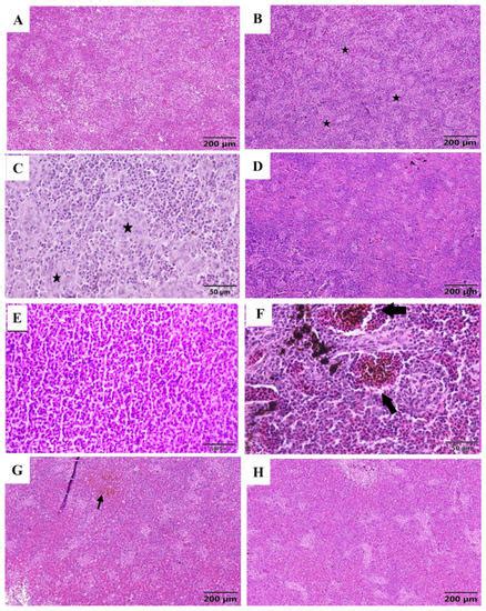
Anti-Inflammatory Effects of Idebenone Attenuate LPS-Induced Systemic ...
mdpi.com
Predictive and Diagnostic Values of Systemic Inflammatory Indices in ...
mdpi.com
Frontiers of Targeted Therapy and Predictors of Treatment Response in ...
mdpi.com
The NLRP3 Inflammasome: An Attentive Arbiter of Inflammatory Response ...
amazon.in
Sepsis Diagnosis and Management
jmsh.ac.in
Evaluation of the Hamburg-Glasgow Classification in Pancreatic Cancer ...
mdpi.com
Systemic Inflammatory Response Index new inflammatory marker of disease ...
medicaldialogues.in
Fillable Online SIRS (Systemic Inflammatory Response Syndrome): What ...
pdffiller.com
Elderly patients with terminal dentition due to stage IV periodontitis ...
medicaldialogues.in
Macrophages Orchestrate Airway Inflammation, Remodeling, and Resolution ...
mdpi.com
Resveratrol Role in Autoimmune Disease—A Mini-Review
mdpi.com
The Role of Neutrophyl-to-Lymphocyte Ratio as a Predictor of Ovarian ...
mdpi.com
Definition of systemic inflammatory response syndrome - NCI Dictionary ...
cancer.gov
SIRSの診断基準|知っておきたい臨床で使う指標[7] | 看護roo![カンゴルー]
kango-roo.com
Bacteriome Signature in SARS-CoV-2-Infected Patients Correlates with ...
mdpi.com
Effect of High-Fat Diets on Oxidative Stress, Cellular Inflammatory ...
mdpi.com
Treatment of Severe Swallowing Dysfunction in Systemic Sclerosis with ...
mdpi.com
Performance Comparison of Systemic Inflammatory Response Syndrome with ...
mdpi.com
Therapeutic Intervention with Dietary Chitosan Nanoparticles Alleviates ...
mdpi.com
Inflammatory Indices in Patients with Myocardial Infarction Complicated ...
mdpi.com
Acute Inflammation in Tissue Healing
mdpi.com
Therapeutic Intervention with Dietary Chitosan Nanoparticles Alleviates ...
mdpi.com
Bacteriome Signature in SARS-CoV-2-Infected Patients Correlates with ...
mdpi.com
BL Lifesciences | Perfusion Chronicles
bllifesciences.com
Therapeutic Intervention with Dietary Chitosan Nanoparticles Alleviates ...
mdpi.com
Dietary Milk Sphingomyelin Reduces Systemic Inflammation in Diet ...
mdpi.com
A Dynamic Approach for Early Risk Prediction of Gram-Negative ...
mdpi.com
Adult-Onset Still’s Disease—A Complex Disease, a Challenging Treatment
mdpi.com
Anti-Inflammatory Effects of Idebenone Attenuate LPS-Induced Systemic ...
mdpi.com
India တွင် အကောင်းဆုံး Systemic Inflammatory Response Syndrome ကျွမ်းက ...
medicoverhospitals.in
Systemic: An Introduction to Our Emergency Response System. eBook ...
amazon.in
An Inflammatory Response-Related Gene Signature Can Predict the ...
mdpi.com
The Inflammation Response to DEHP through PPARγ in Endometrial Cells
mdpi.com
Dietary Milk Sphingomyelin Reduces Systemic Inflammation in Diet ...
mdpi.com
Patients of autoimmune liver disease treated with immune suppressants ...
medicaldialogues.in
Synthetic Pharmacotherapy for Systemic Lupus Erythematosus: Potential ...
mdpi.com
Drag each label to the correct location on the image. When a honey bee ...
brainly.in
Inflammatory Indices in Patients with Myocardial Infarction Complicated ...
mdpi.com
Individual Behaviour Concept and Mode - Simplynotes
simplynotes.in
Systemisches inflammatorisches Response-Syndrom (SIRS) - Einleitung ...
gesundheits-lexikon.com
New research finds immune inflammatory response not the cause of long COVID
medicaldialogues.in
Systemic Therapy Is Associated with Improved Oncologic Outcomes in ...
mdpi.com
PARylation in DNA Damage Response and Repair | Encyclopedia MDPI
encyclopedia.pub
The Role of NF-κB in Physiological Bone Development and Inflammatory ...
mdpi.com
Buy Vostok Products Online at Best Prices in India | Ubuy
ubuy.co.in
The Inflammation Response to DEHP through PPARγ in Endometrial Cells
mdpi.com
The Inflammation Response to DEHP through PPARγ in Endometrial Cells
mdpi.com
Diagnostic dilemmas of pediatric osteoarticular infections and systemic ...
pediatriconcall.com
Buy Echinacea Goldenseal 1000 Mg Immune System Support Respiratory ...
ubuy.co.in
Difference between pulmonary and systemic circuit - Brainly.in
brainly.in
Intermittent Fasting and Skin Health: How it Can Affect Your Skin's ...
dietplusminus.com
The Inflammation Response to DEHP through PPARγ in Endometrial Cells
mdpi.com
Diagnostic dilemmas of pediatric osteoarticular infections and systemic ...
pediatriconcall.com
Inflammation-Driven Colorectal Cancer Associated with Colitis: From ...
mdpi.com
A Comparative Study on Phenolic Content, Antioxidant Activity and Anti ...
mdpi.com
BECares
becares.in
HCP Formulas - Fibrenza - Systemic Enzyme Complex with Fibrinolytic ...
desertcart.in
A Potential Association between Ribonuclease 1 Dynamics in the Blood ...
mdpi.com
Placental Growth Factor, Vitamin D, and Systemic Inflammatory Index may ...
medicaldialogues.in
Molecules | Special Issue : Nutrition and Health of Food Molecules
mdpi.com
Inflammatory Response Panel Test Profile at ₹4999 – healthcare nt sickcare
healthcarentsickcare.com
The Anti-Inflammatory and Antioxidant Properties of n-3 PUFAs: Their ...
mdpi.com
Systemic anatomy - Systemic anatomy We've covered regional anatomy ...
studocu.com
Buy Systemic Sclerosis Book Online at Low Prices in India | Systemic ...
amazon.in
Dental surgeon shares warning signs in your mouth that could signal ...
msn.com
Relative Response Factor (RRF) and its Calculation in HPLC Analysis
qcqa.industrialguide.co.in
HCP Formulas - Fibrenza - Systemic Enzyme Complex with Fibrinolytic ...
desertcart.in
Sub-Lexical Processing of Chinese–English Bilinguals: An ERP Analysis
mdpi.com
Pediatric Hematology : Hematological Manifestations Of Systemic Illness ...
pediatriconcall.com
Buy Bone Morphogenetic Proteins: From Local to Systemic Therapeutics ...
amazon.in
Anti inflammatory drug Colchicine may prevent atrial fibrillation after ...
medicaldialogues.in
Chronic Inflammation: Is It the Hidden Factor Accelerating Your Ageing?
decodeage.com
Frailty in Older Adults with Severe Aortic Stenosis: The Role of ...
mdpi.com
Current Molecular Combination Therapies Used for the Treatment of ...
mdpi.com
Buy SHIWISH Natural Turmeric Curcumin 240 Capsules with Ginger and ...
ubuy.co.in
HCP Formulas - Fibrenza - Systemic Enzyme Complex with Fibrinolytic ...
desertcart.in
Functional Medicine Clinical Protocols for Inflammatory Disorders: Buy ...
flipkart.com
Buy Monographs in Contact Allergy, Volume 4: Systemic Drugs Book Online ...
amazon.in
LPS-Induced Systemic Inflammation Affects the Dynamic Interactions of ...
preprints.org
What is an inflammatory bowel disease? and what causes it?
healthcheckup.co.in
Diagnostic dilemmas of pediatric osteoarticular infections and systemic ...
pediatriconcall.com
Inflammatory Diseases of Blood Vessels 2e: Buy Inflammatory Diseases of ...
flipkart.com
MULTITEC CAPSULE
jantecpharma.in
Best Medication for Pelvic Inflammatory Disease
medicoverhospitals.in
Q4Draw and label the diagram given below.1. Systematic diagram of ...
brainly.in
Post-Inflammatory Erythema: What It Is and How to Treat It - Suganda ...
suganda.co
NutraMedix 1000mg Vitamin C - Helps Support a Healthy Immune System ...
desertcart.in
Trauma Responses Healing Poster – MindSpace
mindspaceprintables.com
5 inflammatoriska livsmedel att undvika för bättre hälsa
gettested.co.in
Autoimmunity care Eczema Care | with S.Boulardii, Eczema, Skin ...
amazon.in
Inflammatory Bowel Disease (IBD)-Symptoms, Causes & Treatment
medicoverhospitals.in
mykind Organics Inflammatory ... | Groupon Goods
groupon.com
Lupus: Symptoms, Causes, Diagnosis and Treatment
medicoverhospitals.in
PRINCIPLES OF SYSTEMATIC ZOOLOGY....Mayr, E. : Mayr, E.: Amazon.in: Books
amazon.in
A Systemic Design Method to Approach Future Complex Scenarios and ...
mdpi.com
Buy SprainGo Gel, Fast Acting & Powerful Topical Pain Reliever Gel That ...
ubuy.co.in
Weird taste in your mouth? These infections are often to blame
msn.com
IL-8 Gene: Function, Role in Inflammation, Cancer & Immune Response
learn.mapmygenome.in
Weird taste in your mouth? These infections are often to blame
msn.com
Related Searches
The Inflammatory Response
Inflammatory Response Cytokines
Immune System Inflammatory Response
Inflammation Inflammatory Response
Inflammatory Response Diagram
Systemic Inflammation
Chronic Inflammatory Response
Inflammatory Response Cartoon
Systemic Inflammatory Response Syndrome PPT
Stages of Inflammatory Response
Acute Inflammatory Response
Systemic Inflammatory Response Syndrome SIRS
Inflammatory Response Pathophysiology
Systemic Inflammatory Response Syndrome Signs
Inflammatory Reaction
Systemic Inflammatory Response Syndrome Symptoms
Systemic Inflammatory Disease
Local Inflammatory Response
Inflammatory Cascade Diagram
Systemic Inflammatory Response Syndrome Clip Art
Inflammatory Response in the Body
Systemic Inflammatory Response Syndrome Mnemonic
Systemic Inflammatory Response Syndrome CDC
Systemic Inflammatory Process
Systemic Inflammatory Response Syndrome Dehydration
Immediate Inflammatory Response
Inflammatory Cells
Systemic Inflammatory Response Syndrome Real Pictures
Severe Inflammatory Response
Systemic Inflammatory Response Syndrome vs Sepsis
Systemic Inflammatory Response Syndrome Active Learning Template
Systemic Inflammatory Response After Surgery
Systemic Inflammatory Response Syndrome Nursing
What Is Systemic Inflammation
Lung Inflammatory Response
Inflammatory Bowel Disease Causes
Anti-Inflammatory Response
COPD Inflammation
Pathophysiology of Systemic Lupus
Systemic Infection Response
Schematic Diagram of Inflammatory Response
Systemic Inflammatory Response Syndrome Definitition
Acute Inflamatory Response
Systemic Inflammatory Response After Vaccine
Systemic Inflammatory Response Index
Systemic Inflammatory Response Syndrome Rash Ahnds
Immune Response to Bacteria
Systemic Inflammatory Response Syndrome Non-Infectious
Systemic Inflammatory Reposne
Systemic Inflammatory Response in Trauma
Search
×
Search
Loading...
No suggestions found