Find Your Style
Women
Men
Accessories
Search for clothing, brands, styles...
×
Women
Men
Accessories
Vestibular Sensory Icon
Search
Loading...
No suggestions found
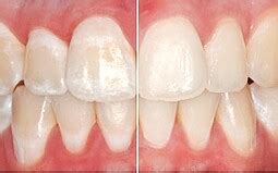
Treat white spots on incisors with Icon Vestibular
dmg-dental.com
Infiltration
dmg-dental.com
Treat white spots on incisors with Icon Vestibular
dmg-dental.com
Vestibular Stimulation May Drive Multisensory Processing: Principles ...
mdpi.com
Die Ikonenkomposition mit fünf menschlichen Sinnen umriss menschliche ...
de.freepik.com
Sensory Systems Balance: Over 303 Royalty-Free Licensable Stock ...
shutterstock.com
Vestibular Activities (teacher made) - Twinkl
twinkl.co.in
Sensory Diet Task Cards: Vestibular Activities for OT
twinkl.co.in
Upfront radiosurgery bests coservative approach for treating Vestibular ...
medicaldialogues.in
Treat white spots on incisors with Icon Vestibular
dmg-dental.com
OT: Vestibular Sensory Diet Ideas (teacher made) - Twinkl
twinkl.co.in
Regulating Sense of Proprioception Display Poster - Twinkl
twinkl.co.in
Treat white spots on incisors with Icon Vestibular
dmg-dental.com
Atidhi
atidhi.in
Identifying Sensory Needs: Senses for Sensory Integration and Stimulation:
twinkl.co.in
Identifying Sensory Needs: Vestibular Alerting and Calming Activities
twinkl.co.in
Treat white spots on incisors with Icon Vestibular
dmg-dental.com
GKids | Extra Sensory Perception (ESP)
gkids.in
Mind Map: Vestibular Physiology and Assessment of Vestibular Function ...
edurev.in
Sense of hearing ear icon logo vector design template illustration ...
freepik.com
Infiltration
dmg-america.com
Movement Break Cards | Classroom Management | Twinkl
twinkl.co.in
Slideshow: DualSense Edge – Settings and User Interface
in.ign.com
Exercise For Vertigo: Causes, Symptoms and Who Should avoid
godigit.com
Vestibular Testing: What to Expect and key questions
neuroequilibrium.in
Vestibular Rehabilitation Therapy - VRT (7 hrs) | Niel Asher Education
nielasher.com
Vestibular Rehabilitation | Best Physiotherapy Center in Ahmedabad ...
lakshyaneurophysiotherapy.in
OT: Heavy Work: Playing Inside (teacher made) - Twinkl
twinkl.co.in
Sensory Circuits Flashcards (teacher made) - Twinkl
twinkl.co.in
Buy MASPAR Sensory Bloom Ethnic Print Double Quilt from Maspar at just ...
homecentre.in
Announcement Icon
mycsg.in
👉 5 Senses Pictures for Children - Display Posters - Twinkl
twinkl.co.in
Hey Bear Sensory - App on Amazon Appstore
amazon.in
The Benefits of Sensory Bottles for Preschool - Twinkl
twinkl.co.in
Nasal Vestibulitis: Causes, Symptoms, Complications, and Treatment
jrsh.co.in
Hey Bear Sensory: Threading Cards (teacher made) - Twinkl
twinkl.co.in
All You Need To Know About Vestibular Hypofunction, Its Causes ...
indiatimes.com
CB Physiotherapy | Integrated Physio Care in India by trusted Physical ...
cbphysiotherapy.in
Identifying Sensory Needs: Movement Break Activities for Home
twinkl.co.in
Hey Bear Sensory - App on Amazon Appstore
amazon.in
Buy MASPAR Sensory Bloom Cotton 4Pcs Geometric Printed Double Bed-In-A ...
homecentre.in
Buy MASPAR Sensory Bloom Cotton 144 TC Printed 3Pcs Super King Bedsheet ...
homecentre.in
Buy MASPAR Sensory Bloom Cotton 144TC Printed 3Pcs Super King Bedsheet ...
homecentre.in
Buy MASPAR Sensory Bloom Cotton Floral Print Double Dohar from Maspar ...
homecentre.in
Sensory Table (Touch) Display Posters
twinkl.co.in
What is sensory play? - Twinkl
twinkl.co.in
Buy MASPAR Sensory Bloom Cotton 144TC Printed 3Pcs Super King Bedsheet ...
homecentre.in
Vestibular Hypofunction: Symptoms, Causes, and Treatment | Medicover
medicoverhospitals.in
Buy MASPAR Sensory Bloom Cotton 200TC Printed 2Pcs Single Bedsheet Set ...
homecentre.in
Buy MASPAR Sensory Bloom Cotton 200TC Printed 3Pcs Queen Bedsheet Set ...
homecentre.in
Buy MASPAR Sensory Bloom Cotton 200TC Printed 2Pcs Single Fitted ...
homecentre.in
Buy MASPAR Sensory Bloom Cotton 200TC Printed 2Pcs Single Fitted ...
homecentre.in
Buy MASPAR Sensory Bloom Cotton 300TC Floral Print 3Pcs King Bedsheet ...
homecentre.in
Buy MASPAR Sensory Bloom 144TC Printed 3Pcs King Bedsheet Set from ...
homecentre.in
Buy MASPAR Sensory Bloom Cotton 144TC Printed 3Pcs King Bedsheet Set ...
homecentre.in
Buy MASPAR Sensory Bloom Cotton 6Pcs Printed Double Bed-In-A-Bag Set ...
homecentre.in
Buy Original Hisense LED TV IR Sensor for 55A73F | Tested & Genuine
greatbharatspares.com
Buy MASPAR Sensory Bloom Cotton Geometric Print Double Quilt from ...
homecentre.in
Buy MASPAR Sensory Bloom Cotton 300TC Printed 3Pcs Super King Bedsheet ...
homecentre.in
Buy MASPAR Sensory Bloom Cotton Floral Print Double Dohar from Maspar ...
homecentre.in
Buy MASPAR Sensory Bloom Cotton 200TC Printed 2Pcs Single Fitted ...
homecentre.in
Buy MASPAR Sensory Bloom Cotton 200TC Printed 3Pcs Queen Bedsheet Set ...
homecentre.in
Buy MASPAR Sensory Bloom Cotton 144TC Geometric Print 3Pcs Super King ...
homecentre.in
Buy MASPAR Sensory Bloom Cotton Floral Print Double Quilt from Maspar ...
homecentre.in
write the difference between sensory and motor nervous - Brainly.in
brainly.in
Buy MASPAR Sensory Bloom Cotton Floral Print Double Quilt from Maspar ...
homecentre.in
Buy MASPAR Sensory Bloom Cotton Geometric Print Double Quilt from ...
homecentre.in
Buy MASPAR Sensory Bloom Cotton Printed Double Quilt from Maspar at ...
homecentre.in
Buy MASPAR Sensory Bloom Cotton Nature Print Single Dohar from Maspar ...
homecentre.in
Sensory Room Display Poster
twinkl.co.in
Buy MASPAR Sensory Bloom Cotton 144TC Printed 3Pcs King Bedsheet Set ...
homecentre.in
Buy MASPAR Sensory Bloom Cotton 144TC Ethnic Print 3Pcs King Bedsheet ...
homecentre.in
Buy MASPAR Sensory Bloom Cotton 144TC Geometric Print 3Pcs Super King ...
homecentre.in
Buy MASPAR Sensory Bloom Cotton 6Pcs Floral Print Double Bed-In-A-Bag ...
homecentre.in
Discover the Power of Touch with Sensory Icons
pinterest.com
Buy MASPAR Sensory Bloom Cotton 144TC Geometric Print 3Pcs King Fitted ...
homecentre.in
Buy MASPAR Sensory Bloom Cotton 300TC Floral Print 3Pcs King Bedsheet ...
homecentre.in
Buy MASPAR Sensory Bloom Cotton 200TC Floral Print 2Pcs Single Bedsheet ...
homecentre.in
Buy MASPAR Sensory Bloom Cotton 144TC Ethnic Print 3Pcs King Fitted ...
homecentre.in
Buy MASPAR Sensory Bloom Cotton 300TC Printed 3Pcs Super King Bedsheet ...
homecentre.in
Buy MASPAR Sensory Bloom Cotton 200TC Floral Print 3Pcs Queen Bedsheet ...
homecentre.in
Buy MASPAR Sensory Bloom Cotton Ethnic Print Single Quilt from Maspar ...
homecentre.in
Buy MASPAR Sensory Bloom Cotton 200TC Floral Print 3Pcs Queen Bedsheet ...
homecentre.in
Buy MASPAR Sensory Bloom Cotton 144TC Ethnic Print 2Pcs Single Fitted ...
homecentre.in
Qlik Introduces Enhanced Integrations with SAP, Databricks,
globenewswire.com
Exercise For Vertigo: Causes, Symptoms and Who Should avoid
godigit.com
Fitbit Sense 2 Health & Fitness Watch (Shadow Grey/Graphite Aluminium ...
amazon.in
Buy MASPAR Sensory Bloom Cotton 300TC Floral Print 3Pcs King Fitted ...
homecentre.in
Tata Company History: Founder and Key Companies, Impacts
cleartax.in
Buy MASPAR Sensory Bloom Cotton 200TC Floral Print 2Pcs Single Bedsheet ...
homecentre.in
Sensory Circuit Plans and Ideas | Twinkl Inclusion - Twinkl
twinkl.co.in
Sensory and Motor Neurons: Definition and Differences
careerpower.in
Buy MASPAR Sensory Bloom Cotton 200TC Floral Print 3Pcs King Fitted ...
homecentre.in
Buy COLOR SENSE Serenity Cotton 200TC Floral Print 3Pcs King Bedsheet ...
homecentre.in
Buy Sensory Compression Resistance Tunnel-Ideal for vestibular and ...
desertcart.in
Specificaties van Roccat Sense Icon - Tweakers
tweakers.net
Qlik identifies key trends to shape the AI economy that will separate
content.techgig.com
Buy Sensory Compression Resistance Tunnel-Ideal for vestibular and ...
desertcart.in
OT: Sensory Profile Assessment
twinkl.co.in
Sensory Circuits Poster (teacher made) - Twinkl
twinkl.co.in
Welcome to Studio of Computational Biology & Bioinformatics
scbb.ihbt.res.in
500 US dollars to Indian rupees Exchange Rate. Convert USD/INR - Wise
wise.com
Buy ZIMFANQI Pop-it Fidget Toy Among in Us Push-popping Bubble Fidget ...
ubuy.co.in
Our Work So Far
averytech.in
Buy Power Your Fun Pop Puzzle Popper Fidget Game - 27pc Jigsaw Puzzle ...
desertcart.in
Types of Market Capitalization | Angel One
angelone.in
Infantino Activity Triangle with Sensory Icon 2 pack : Amazon.in: Toys ...
amazon.in
Buy Sensory Path Decals for Floor & Wall | 173 Educational and ...
desertcart.in
Buy Hot Wheels Products Online at Best Prices | Ubuy India
ubuy.co.in
Buy Coag-Sense Professional Rapid Test Kit, Blood Coagulation Test ...
ubuy.co.in
Is Renting Still Smart in 2026 or Is Buying the Better Option?
1stnestrealtors.in
Fun and Function Sensory Mini Mats - Set of 6 Sensory Mats for Sensory ...
desertcart.in
Buy Sensory Bottles by Sensorium Emporium, Sensory Bottle, Sensory ...
desertcart.in
Nose clipart Images - Free Download on Freepik
freepik.com
Our Work So Far
averytech.in
Buy Bianca Black Zero Twist Satin Stitch Cotton Towel from Next India
nextdirect.com
R.E.P.O.
in.ign.com
ICON SELECT BY BHAGINI (Bengaluru) - Hotel Reviews, Photos, Rate ...
tripadvisor.in
What is R and D
investindia.gov.in
Related Searches
Sensory Therapy Toys
Vestibular Sensory Activities
Vestibular Sensory System
Types of Sensory Input
Vestibular Ataxia
Vestibular System Sensory Processing
Vestibular Activity
Vestibular Sensory Integration
Vestibular System Pathway
Vestibular System Disorders
Vestibular Nerve Anatomy
Vestibular System Brain
Vestibular Activities for Kids
Vestibular System Exercises
Vestibular Autism
Vestibular Apparatus
Vestibular System Ear
Vestibular Function
Home Vestibular Exercises
Inner Ear Vestibular
Visual Sensory Activities
Vestibular Cell
Vestibular Sense
Vestibular Organ
Diagram of Vestibular System
Sensory Disorder
Vestibular Balance Exercises
Vestibular System in Children
Peripheral Vestibular System
Central Vestibular System
Proprioception and Vestibular Sense
Vestibular Sensory Equipment
Vestibular Sensory Diet
Vestibular Swing
Vestibular Cortex
Vestibular Hair Cells
Vestibular and Proprioceptive
What Is Vestibular Sensory Input
Vestibular Sensation
Vestibular Sensory Organs
Vestibular Apparatus Structure
Sensory Movement
Tactile Vestibular
Sensory Seeker
Vestibular Cards
Sensory Vestibular Machine
Calming Vestibular Activities
Vestibular Nuclei
Vestibular System Poster
Vestibular Sensory Tools
Search
×
Search
Loading...
No suggestions found