Find Your Style
Women
Men
Accessories
Search for clothing, brands, styles...
×
Women
Men
Accessories
Intravenous Steroids Vial
Search
Loading...
No suggestions found
iQOO Z5 Launched In India; Starting At INR 23,990 - BW Businessworld
businessworld.in
MiQB Udyog Vihar Phase IV at INR 200/day - Affordable Pay per use plans.
myhq.in
Bajaj Pulsar RS200 and NS200 BS-IV launched; Priced in India at INR 1. ...
india.com
Kenacort 40 MG/ML Injection (1): Uses, Side Effects, Price & Dosage ...
pharmeasy.in
Solu Medrol 500 MG Powder For Injection (1): Uses, Side Effects, Price ...
pharmeasy.in
Search amiodarone | Bound Tree
boundtree.com
Pharma - IV drugs and fluids for medical treatment
fresenius-kabi.com
Polymyxin b injection - PHARMIKA INDIA PVT LTD.
pharmika.co.in
VAV Life Sciences | VAV Lipids
vav.in
Blood Pressure Regulator Injection - Methylprednisolone Sodium ...
divinelaboratories.in
Perioperative steroid therapy reduces complications in liver resection
medicaldialogues.in
Depopred 40 MG Injection (2): Uses, Side Effects, Price & Dosage ...
pharmeasy.in
Third Party Injections Manufacturing | Injections Manufacturer Company
pharmavends.com
Hydrocort 100mg Injection - Jindal Medical Store
jindalmedicalstore.in
Pan 40 MG Powder For Injection (1): Uses, Side Effects, Price & Dosage ...
pharmeasy.in
PANTODAC IV (DPCO) VIAL INJECTION : View Price, Combination and ...
medkart.in
Nithiodote Kit, Includes One Sodium Nitrite (30mg/mL, 10mL Vial) and ...
boundtree.com
KEPPRA 500MG INJECTION 5ML Price, Uses, Side Effects, Composition ...
apollopharmacy.in
Pre-emptive administration of fibrinogen concentrate effective in ...
medicaldialogues.in
Pnz 40 MG Powder For Injection (1): Uses, Side Effects, Price, Dosage ...
pharmeasy.in
I.V.FLUIDS - Rabeprazole 20 mg Service Provider from Chandigarh
euroexport.in
BLEOMYCIN INJECTION Price, Uses, Side Effects, Composition - Apollo ...
apollopharmacy.in
Steroid Injections - Testosterone Cypionate 250mg Injection 100% Export ...
demegaformulations.in
Lorazepam, 2mg/mL, 1mL Vial | Bound Tree
boundtree.com
NAVEH PHARMA Hypertonic Saline Nebulizer Solution - 25 India | Ubuy
ubuy.co.in
Novorapid 100 IU/ML Solution For Injection (10): Uses, Side Effects ...
pharmeasy.in
Elfabrio: FDA-Approved Treatment for Fabry Disease
sansfro.com
Anti Allergic Medicine - Budez CR 100% Export Oriented Unit from Nagpur
demegaformulations.in
SmartSite™ bag access device | BD
bd.com
Search pepcid | Bound Tree
boundtree.com
SmartSite™ VialShield closed vial access device | BD
bd.com
Steroid conversion Chart
openmed.co.in
Drugs used in Pulmonary Hypertension
openmed.co.in
Ketamine, 50mg/mL, 10mL Vial | Bound Tree
boundtree.com
Denis Sodium Chloride 3% Infusion | Uses, Side Effects, Price | Apollo ...
apollopharmacy.in
Medicinal Chemistry 4 - UNIT: IV Drugs acting on Endocrine system 4 ...
studocu.com
200 Pack 10ml Glass Vials, Clear Glass Headspace Vials with Plastic ...
amazon.in
Buy 10 Pcs 10ml Glass Bottle,Sterile Transparent Vial,Seals Empty Vials ...
desertcart.in
TOPICAL STEROIDS - MedicalVerge
medicalverge.in
Heparin 5000IU Injection 5 ml | Uses, Side Effects, Price | Apollo Pharmacy
apollopharmacy.in
Levetiracetam - Levetiracetam Injection Manufacturer from Yamuna Nagar
visionremedies.co.in
Pharmaceutical Injection - MPSTEROL Methylprednisolone Sodium Succinate ...
flagshipbiotech.in
SmartSite™ bag access device | BD
bd.com
IV methylprednisolone pulse no better than oral steroids alone for ...
medicaldialogues.in
China Custom printing folding packing paper box steroids 10ml vial ...
globalsources.com
Medical Needle Types, Sizes, Color-Coding And Uses, 60% OFF
iiitl.ac.in
The given diagram represents the mechanism of action for two categories ...
tardigrade.in
Steroid Injection - Testoboon -pp 100mg 10ml vial Exporter from Nagpur
healthmeds.in
IV Parts | IV Luer Locks, Cannulas, Connectors & More | Bound Tree
boundtree.com
Covid-19 का पता लगाने और उसके प्रबंधन पर संक्षिप्त जानकारी | Covid-19 ...
cleartax.in
Pharmaceutical Injection - 3ml Bimaton T Bimatoprost And Timolol ...
flagshipbiotech.in
Checkpoint Inhibitor-Induced Colitis: From Pathogenesis to Management
mdpi.com
INSULIN INJECTION - Human Insulatard 40IU/ml injection Exporter from Nagpur
healthmeds.in
Steroids use in RA patients linked to high blood pressure
medicaldialogues.in
Early steroid administration improves outcomes in septic shock patients
medicaldialogues.in
Topical antifungal drugs - MedicalVerge
medicalverge.in
Para Que Sirve La Crema Nystatin Ointment Usp | 7petals.in
7petals.in
Following is a diagrammatic representation of the mechanism of hormone ...
tardigrade.in
Pharmaceutical Injection - Sodium Bicarbonate Injection USP 8.4% ...
centurionhealth.in
STEROIDS TABLET - Anavar 10 Mg Exporter from Nagpur
healthmeds.in
Buy LEVRAM EDTA VIALS | SET OF 100 VIALS Online & Get Upto 60% OFF at ...
pharmeasy.in
Buy PUC F VIAL- 2 ML | PACK OF 10 VIALS Online & Get Upto 60% OFF at ...
pharmeasy.in
ANESTHESIA DRUGS - PHARMIKA INDIA PVT LTD.
pharmika.co.in
Pharmaceutical Medicines - Apetamin Syrup 200 Ml Exporter from Mumbai
veaimpex.in
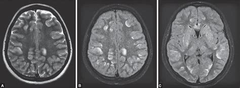
Facial Diplegia: A Misleading GBS Variant
casereports.in
Online In-Tube Solid-Phase Microextraction Coupled with Liquid ...
mdpi.com
FABIPAN40 IV - Each Vial Contains: Pantoprazole 40 mg - Qgensun Healthcare
pharmavends.com
Itraconazole 400 mg SR Capsule
mkmedicine.in
Vials - Test Tube Ria Vials 12x75mm Trader - Retailer from Hyderabad
lablinegroup.in
IV Cannula Gauge Sizes, Color Code, Flow Rate & Uses -VISUAL MNEMONIC
openmed.co.in
Dibujos de educación vial para imprimir | Twinkl - Twinkl
twinkl.co.in
Pharmaceutical Injection - MPSTEROL Methylprednisolone Sodium Succinate ...
flagshipbiotech.in
Pharmaceutical Capsules - Nervisign 300mg capsule Exporter from Nagpur
healthmeds.in
A Cross-sectional Study of Acneiform Eruptions at a Tertiary Center
jmsh.ac.in
Thermo Scientific Nalgene 5015-0002 Cryocanes, Standard Al, 6 Vials; 48 ...
coleparmer.in
Preventive Measures and Causes of Steroid Acne
clearskin.in
आगरा में अग्निवीर भर्ती : स्टेरॉयड लेने वाले 115 युवा पकड़े गए, भर्ती ...
ndtv.in
Anticonvulsant Drugs: Anticonvulsant Medications, pharmaceuticals
pharmika.co.in
ANTIBIOTIC/ ANTIBIOTIC + STEROID EYE DROPS/OINTMENTS – Glow Vision
glowvision.co.in
What’s New in ASUC?
medtalks.in
Pharmaqo Testosterone-C 200 US
ashop.in
The tiniest living twins in india | Pediatric Oncall Journal
pediatriconcall.com
ESOFAB40 IV - Each Vial Contains:Esomeprazole . 40mg - Qgensun Healthcare
pharmavends.com
Secondary Metabolites - Antibiotics II. Alkaloids III. Mycotoxins IV ...
studocu.com
Titan 1805NM01 Neo Gents IV Analog Watch - For Men - Price History
pricehistoryapp.com
Bank Auction Flat in Techzone Iv, Greater Noida - iifl home finance ...
findauction.in
Bard Power PICC Catheter WithSherlock Tip Location System 4French ...
markselectronic.com
Pharmaceutical Tablets - Nalsign 50mg Tablets 100% Export Oriented Unit ...
healthmeds.in
Pharmaceutical Products - Cenofore 200mg Tablet Exporter from Nagpur
healthmeds.in
Pharmaceutical Medicines - Chymoral Forte Tablets Exporter from Nagpur
healthmeds.in
Electril distinction - VILITRA 80mg tablet Exporter from Nagpur
healthmeds.in
Life threatening wegener`s granulomatosis - an uncommon disease masked ...
pediatriconcall.com
Life-Threatening Subglottic Stenosis of Granulomatosis with ...
mdpi.com
Injectable Steroids Manufacturer in Pune, Injectable Steroids in Pune
bizzporto.com
Pharmaceuticals Syrup - PHARMIKA INDIA PVT LTD.
pharmika.co.in
LMSPV325
ctop.in
Sylvester Stallone Officially Retires His Character Rocky Balboa
in.ign.com
PAIN KILLER - Pregalyv 75 capsule Exporter from Nagpur
healthmeds.in
These 5 tips will help you to avoid the fungal infection during the ...
starbiz.com
Ayurvedic Medicine - Megabrom Eye Drop Exporter from Nagpur
healthmeds.in
Centurion Healthcare Private Limited, Vadodara - Exporter of Anti ...
centurionhealth.in
Ex-Bengal CM Buddhadeb Bhattacharjee remains ‘critical’
newsd.in
Buy Pilestone Men's Cologne Collection Men's Designer Fragrance Sample ...
desertcart.in
COVID-19-associated Severe Multisystem Inflammatory Syndrome in ...
jaypeedigital.com
Pharmaceutical Syrup - Phenergan Promethazine Syrup Exporter from Nagpur
healthmeds.in
Buy Online Plant Tissue Culture Essentials, India | Biomall.in
biomall.in
Amoxicillin Capsule - Mormox 500mg capsule Exporter from Nagpur
healthmeds.in
STEROIDS AND HORMONES - Testoviron Depot 250 Mg Trader - Retailer from ...
mediexcel.in
Cryogenic Freezer Supplier from Pune
liquidnitrogen.co.in
Buy Online parafilms in India | Biomall
biomall.in
Related Searches
Bicitra Intravenous Vial Medication
Intravenous Steroids Vial
Intraveous Vials Clip Art
10 Amps Vial
Discoloured Medication in Vial
Dental Vials
Intravenous Gabapentin Vial Image Ong
Image of Scrub the Medication Vial
Tremfya Intravnous Vials
Search
×
Search
Loading...
No suggestions found