Find Your Style
Women
Men
Accessories
Search for clothing, brands, styles...
×
Women
Men
Accessories
Transseptale Punktion Mit Rf
Search
Loading...
No suggestions found
Causes of bleeding diathesis with normal labs (platelets, INR and aPTT)
openmed.co.in
RF - 4 STEP CORNER STAND Products at price INR 0 in Madurai | AK Furniture
akfurn.in
RF - 501 2 Door Wardrobe Mirror Products at price INR 0 in Madurai | AK ...
akfurn.in
MAHE BLRU's MIT Reports Stellar Placement Season with INR 52 LPA Top Salary
aninews.in
RF - CORNER STAND 3 STEP Products at price INR 0 in Madurai | AK Furniture
akfurn.in
RF - 4 STEP CORNER STAND Products at price INR 0 in Madurai | AK Furniture
akfurn.in
ReactorFusion Price | RF Price Index, Live Chart and INR Converter ...
binance.com
PM Modi Inaugurates INR 8,260 Crore Projects on Uttarakhand's 25th ...
rozanaspokesman.com
KGM-RF-15 Products at price INR 0 in Kishangarh | KGM Stone
kgmstone.in
RF - 4 STEP CORNER STAND Products at price INR 0 in Rajapalayam | AK ...
akfurn.in
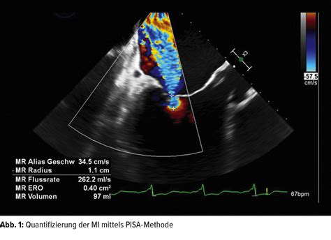
Stellenwert der Echokardiografie beim MitraClip®-Verfahren ...
universimed.com
Stellenwert der Echokardiografie beim MitraClip®-Verfahren ...
universimed.com
Stellenwert der Echokardiografie beim MitraClip®-Verfahren ...
universimed.com
Vacutainer Safety-Lok | Koczyba
koczyba.com
Vacutainer Safety-Lok | Koczyba
koczyba.com
ESC-Leitlinien 2022: Risiken nichtkardialer Operationen einschätzen un ...
universimed.com
qLabs PT/INR/APTT Hand-Held ElectroMeter Plus : Amazon.in: Industrial ...
amazon.in
Orale Antikoagulation bei VHFA: Dosierung, Pausierung, Bridging ...
universimed.com
Aktuelle Trends der diagnostischen Endosonografie bei Pankreaserkranku ...
universimed.com
Methods for the In Vitro Characterization of Nanomedicines—Biological ...
mdpi.com
Interfacing RF transmitter and receiver
flyrobo.in
RF Remote Control Switch eMylo Smart Wireless Relay Switch DC 12V One ...
amazon.in
Products
ohsungindia.co.in
What is RF | Radio frequency technologies | Rohde & Schwarz
rohde-schwarz.com
RF & Microwave - DATA PATTERNS
datapatternsindia.com
Products
ohsungindia.co.in
Interfacing RF transmitter and receiver
flyrobo.in
onelinkmore RF Connector Pigtail Cable SMA Female Bulkhead to UFL./ipx ...
amazon.in
Stimmprothese » Punktionstrokar und Pharynxprotektor nach Hilgers
stimmprothese.com
Canon EF50MM F/1.8 STM Lens for Canon DSLR Cameras : Amazon.in: Electronics
amazon.in
Why Choose MIT
mitmumbai.edu.in
Alle Canon RF & RF-S Objektive: Meine Tests, Tipps & Empfehlungen ...
reisezoom.com
Products
ohsungindia.co.in
Arduino CC1101 Transceiver
aeq-web.com
SONOFF RF BridgeR2 WiFi 433 MHz Wireless Controller eWelink APP Remote ...
b2b.itead.in
DAC (Digital to Analog Converter) using Op-amp - Performance Parameters ...
eee.poriyaan.in
Stimmprothese » Punktionstrokar und Pharynxprotektor nach Hilgers
stimmprothese.com
Buy Yustda AC/DC Adapter for Logitech Harmony 900 RF Extender Blaster ...
ubuy.co.in
Products
ohsungindia.co.in
Runflat tyres help in the event of a puncture. What are they? | MICHELIN
michelin.in
RF Connectors, Adapters & Cable Assemblies – Amphenol | DigiKey
digikey.in
LED Lights Dimmer, SMY Deck Lights Dimmer with RF Wireless Remote ...
amazon.in
Products
ohsungindia.co.in
Katabasis: New from the SUNDAY TIMES best-selling author of BABEL and ...
amazon.in
Rf Module 433mhz Interface With Avr | 7petals.in
7petals.in
Buy NINGALA ENTERPRISE 300-Watt Dry Spice Masala and Coffee Bean ...
amazon.in
ICP-MS
crf.iitd.ac.in
Buy Reinforcement Learning Book Online at Low Prices in India ...
amazon.in
XRDS -RF N Male to UHF Female Adapter N Connector to PL-259 SO-239 Coax ...
amazon.in
helpBIOTECH
helpbiotech.co.in
Amazon.in: R. F. Kuang: books, biography, latest update
amazon.in
MIT ADT University Facilities MIT ADTU Pune
mituniversity.ac.in
Samyang AF 14mm F2.8 Canon EF Auto Focus Lens - Black : Amazon.in ...
amazon.in
Oxford International High School | Best School in Khemanichak, Patna
oihs.net.in
Products
ohsungindia.co.in
Plot a graph showing variation of electric field with r for r>R and r
brainly.in
Products
ohsungindia.co.in
Panel Side Sill, RH
skhgroup.co.in
Products
ohsungindia.co.in
Manage your business: Orders, shipping, payments, analytics - Shopify India
shopify.com
Products
ohsungindia.co.in
Products
ohsungindia.co.in
Products
ohsungindia.co.in
Presentation Remotes - Upto 80% Off on Presentation Remotes Online ...
flipkart.com
Products
ohsungindia.co.in
Grade R Coding and Robotics - Coding: Step-by-step
twinkl.co.in
Products
ohsungindia.co.in
433 MHZ RF MODULES TX & RX PAIR Sensor
flyrobo.in
/l/ and /r/ Minimal Pair Dominoes - l and r Minimal Pairs
twinkl.co.in
Artzfolio AZ5008360SOF_FB_RF_R-SP_D56^80_VL Watercolor Psychedelic ...
flipkart.com
A New Phased-Array Magnetic Resonance Imaging Receive-Only Coil for ...
mdpi.com
Products
ohsungindia.co.in
PVC tubing with spiral, KF DN 25/500 mm | BRAND
shop.brand.co.in
LNA 50-4000MHz SPF5189 RF Amplifier Signal Receiver High Gain Low Noise ...
amazon.in
Products
ohsungindia.co.in
Enhanced Broadband RF Differential Rectifier Integrated with ...
mdpi.com
Products
ohsungindia.co.in
Products
ohsungindia.co.in
MIT-WPU Hostel: Wi-Fi, CCTVs, AC, Gym, Multiple Sharing options
mitwpu.edu.in
Products
ohsungindia.co.in
Products
ohsungindia.co.in
Products
ohsungindia.co.in
Superconducting Cavities Development Division, RRCAT
rrcat.gov.in
MIT-WPU Hostel: Wi-Fi, CCTVs, AC, Gym, Multiple Sharing options
mitwpu.edu.in
WBZ451PE-I Microchip Technology | RF and Wireless | DigiKey
digikey.in
Buy QIACHIPWL101 Superheterodyne Receiver and WL102 Transmitter kit ...
desertcart.in
Products
ohsungindia.co.in
Products
ohsungindia.co.in
Buy Signature Logo Design Real Handwritting Style Personalized ...
etsy.com
Enfermedad de Hashimoto: síntomas, causas, tratamiento y diagnóstico
medicoverhospitals.in
Products
ohsungindia.co.in
Products
ohsungindia.co.in
Products
ohsungindia.co.in
VBTech Electronics
vbtechelectronics.com
MIT-ADT University
amecet.in
Canon EOS R50 Mirrorless Camera RF - S 18 - 45 mm f/4.5 - 6.3 IS STM ...
flipkart.com
Artzfolio AZ5007474MGB_FR_RF_R-SP_D16^16_BL Transparent board Price in ...
flipkart.com
Products
ohsungindia.co.in
COOLIEF* Cooled Radiofrequency for Cervical Facet Joint Pain | Avanos
avanos.in
Toilet seats | Duravit
duravit.in
Artzfolio AZ5007207BLB_FR_RF_R-SP_D16_WH Cork Bulletin Board Price in ...
flipkart.com
Artzfolio AZ5008282SOF_FB_RF_R-SP_D56^80_VL Watercolor Modern Abstract ...
flipkart.com
Products
ohsungindia.co.in
Artzfolio AZ5007572SOF_FB_RF_R-SP_D56^80_VL Watercolor Drops Velvet ...
flipkart.com
Uniden BearTracker Scanner (BCT15X) with 9,000 Channels, TrunkTracker ...
desertcart.in
Products
ohsungindia.co.in
Products
ohsungindia.co.in
All type of HT/LT Panels - Balaji Engineers - Distributors of HT Panels ...
balajiengineers.in
Products
ohsungindia.co.in
Artzfolio AZ5008007SOF_FB_RF_R-SP_D56^80_VL Hand Drawn Geometric ...
flipkart.com
Products
ohsungindia.co.in
Artzfolio AZ5008133SOF_FB_RF_R-SP_D56^80_VL Abstract Marble Generated ...
flipkart.com
Products
ohsungindia.co.in
Products
ohsungindia.co.in
Uniden BearTracker Scanner (BCT15X) with 9,000 Channels, TrunkTracker ...
desertcart.in
Products
ohsungindia.co.in
Products
ohsungindia.co.in
The Role of Optical Wireless Communication Technologies in 5G/6G and ...
mdpi.com
Products
ohsungindia.co.in
Buy Extra transmitter for Girafus® Pro-track-tor Pet Safety Tracker RF ...
desertcart.in
Related Searches
Perikard Punktion
Shunt Punktion
Punktion Poster
ABGA Punktion
Punktion Sicca
Knee Punktion
Punktion Knie
Knä Joint Punktion
Vene for Punktion Hand
Stereotaktische Punktion
Lumbalpunktion
I'm Punktion Oberschenkel
Eizellentnahme
Ultraschallgerät Punktion
Punktion CT Leber
Punktion Simulator Klappbar
Punktion Der Vena Facialis
Spinale Punktion Antikoagulation
Lagerung Punktion Bursitis Olecrani
Punktion Lunge Wasser
Leiste Punktion Ligamentum
Punktion Venflon Welchen Venen
Punktion Der Vena Facialis Maus
Aszites Punktion Menge
Schmerzen Borreliose
Tuberositas Tibia E Physiotherapie
Knochenmarkpunktion
Stanzbiopsie
Borreliose Test
Schulter Punktion
Schulter Arthro Punktion
Dialyseshunt Punktion
Transseptale Punktion
Knochenmark
Pleuraerguss Punktion
Chorionzottenbiopsie
CT Gestützte Punktion
Ultarschall Gesteuerte Punktion Art Fermoralis
Transseptale Punktion MIT BRK Nadel Bild
Transkutane Punktion Und Drainage Leberabszesse
Transseptale Punktion MIT RF
Punktimi Lumbal
Chorionzotten
Arteria Pulmonalis Punktion
Knochenmark Punktion
Punktion Der Schilddrüse
Ferse Punktion Site Für Säugling
Aszites
Fruchtwasser Punktiona
Drainage Medizin
Search
×
Search
Loading...
No suggestions found